新浪财经

更深、更快、更长缓解!“D+T”双靶一线为BRAF V600E突变晚期肺癌患者带来39个月PFS获益

市场资讯 2024.02.26 19:22

转自:医学界网站

分享BRAF V600E突变晚期NSCLC临床病例,见证达拉非尼+曲美替尼一线治疗方案优势!

BRAF V600突变作为非小细胞肺癌(NSCLC)的少见靶点,往往与不良生存预后相关。而庞大的患者基数决定了在临床中,潜存大量BRAF V600突变晚期NSCLC患者的治疗需求亟待满足。2022年3月达拉非尼+曲美替尼(D+T)方案在国内获批用于BRAF V600突变阳性转移性NSCLC,2023年1月该适应证成功进入新版国家医保目录,为更多患者点燃了生命曙光!

本期“少靶实战荟”将分享一例BRAF V600E突变晚期NSCLC患者,基因检测明确BRAF V600E突变,接受达拉非尼+曲美替尼治疗后获得深度缓解,并获长达39个月的无进展生存期(PFS)。该病例由浙江大学医学院附属第一医院呼吸与危重症医学科提供并由沈茜主任整理,同时邀请浙江大学医学院附属第一医院周建英教授进行点评。

病例简介

一、基本情况

基本信息:女性,73岁。

主诉:胸闷半年余,发现肺占位1月。

个人史与既往史:有腔隙性脑梗塞病史,有房颤史,CHA2DS2-VASC评分大于4分,40年前当地医院行胆囊切除术,15年前因肝内胆管结石行肝部分切除术。

辅助检查:

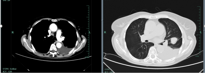
2020年7月12日,(胸腔积液)病理检查找到癌细胞(考虑腺癌)。

2020年7月9日,荧光PCR法(ARMS)基因检测结果示BRAF V600E突变。

二、诊疗经过

一线治疗:2020年8月21日,患者自愿入组“一项评价达拉非尼与曲美替尼联合治疗在中国BRAF V600E突变阳性转移性非小细胞肺癌患者中的安全性和有效性的开放、单臂研究”。

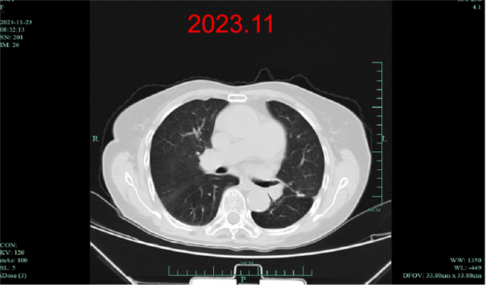
疗效评估:复查时原发灶较基线时明显缩小,达到深度缓解,并在随后治疗中持续缓解长达39个月。

专家点评

周建英教授:达拉非尼+曲美替尼双靶一线治疗BRAF V600E突变晚期NSCLC获39个月PFS

随着精准诊疗时代的到来,晚期肺癌患者的治疗手段也从单纯化疗逐步迈入精准靶向治疗时代。尤其是分子生物学和基因检测技术的飞速发展,使得BRAF等越来越多的罕见靶点被检测发现并最终获得精准治疗。

BRAF是有丝分裂原活化蛋白激酶(MAPK)途径的一部分,对调节细胞的生长、增殖和存活至关重要,研究最多的激活BRAF突变发生在V600位置(V600E、V600K),导致BRAF的组成性激活以及MEK和ERK的下游激活[1]。在NSCLC中,BRAF突变率为1.5%-5.5%[2,3],其中以BRAF V600突变最为常见,占所有BRAF突变类型的30%-50%[4,5]。BRAF突变NSCLC患者预后较差,且以化疗为主的治疗疗效不佳。2022年3月,随着达拉非尼+曲美替尼的双靶治疗方案在国内获批上市,为BRAF V600突变的晚期NSCLC带来更好的治疗选择和长期生存的希望。

全球注册临床研究BRF113928提供了首个关于BRAF突变NSCLC患者的长生存数据。该研究结果显示,达拉非尼+曲美替尼一线治疗BRAF V600突变晚期NSCLC患者的客观缓解率(ORR)为64%,中位缓解持续时间(DoR)为15.2个月,中位PFS为14.6个月,中位总生存期(OS)达24.6个月,超过1/5患者实现了5年长生存;同时,达拉非尼+曲美替尼安全性良好,3级不良反应发生率低[6-8]。中国肺癌注册临床研究也显示,初治或经治BRAF突变NSCLC患者均从达拉非尼+曲美替尼治疗中一致获益,独立评审委员会(IRC)评估的ORR高达75%,疾病控制率(DCR)达到95%[9]。同时,达拉非尼+曲美替尼双靶治疗的优异疗效也在真实世界研究中得到了印证[10,11]

上述病例为初诊转移性NSCLC患者,在基因检测明确BRAF V600E突变后,接受达拉非尼+曲美替尼一线治疗。在服药1月余后复查肺部CT,原发灶较基线时明显缩小,疗效评价达到深度缓解。截至2023年11月最后一次随访,该患者已获得长达39个月的PFS。该病例的治疗过程再次印证了达拉非尼+曲美替尼一线治疗的长生存获益。

目前,达拉非尼+曲美替尼用于BRAF V600突变转移性NSCLC的治疗获得国内外权威指南一致的推荐。在近日更新的《2023 CSCO非小细胞肺癌诊疗指南》[12]中,达拉非尼+曲美替尼一线治疗BRAF V600突变晚期NSCLC获得Ⅰ级推荐,且BRAF V600突变检测由Ⅱ级推荐上调至Ⅰ级推荐。这再次凸显了对所有晚期NSCLC患者在用药前进行基因检测的重要性,特别是随着达拉非尼+曲美替尼进入医保,用药可及性提升,在临床实践中,更要贯彻“有靶打靶”的理念,让更多患者从精准靶向治疗中获益。

病例点评专家简介

周建英 教授

  • 浙江大学博士生导师,二级教授

  • 浙江大学附属一院呼吸与危重症医学科名誉主任

  • 中华医学会呼吸病分会全国常委

  • 中国医师协会呼吸医师分会常委

  • 中华医学会呼吸病分会胸膜学组(筹)副组长

  • 中国医促会胸部肿瘤分会副主委

  • 浙江省医师协会呼吸医师分会会长

  • 浙江省医学会呼吸系病学分会名誉主任委员

病例提供专家简介

沈茜 教授

  • 浙江大学医学院附属第一医院

  • 呼吸与危重症医学科主任医师

  • 中国中西医结合学会变态反应常委

  • 浙江省医学会营养与代谢分会委员

  • 浙江省呼吸介入学组委员

  • 浙江省呼吸内镜联盟常委

  • 浙江呼吸感染诊治联盟常委

  • 海医会呼吸专委会肺癌学组委员

  • 第三届“浙江有温度的好医生”

参考文献

[1]Trends in Cancer, September 2020, Vol. 6, No. 9.

[2]Jordan EJ, et al. Cancer Discov, 2017, 7(6):596-609. 

[3]Frampton GM, et al. Cancer Discov, 2015, 5(8):850-859. 

[4]Mazieres J, et al. Ann Oncol, 2020, 31(2):289-294.

[5]Lin Q, et al. J Transl Med,2019, 17(1):298. 

[6]Planchard D,et al. J Thorac Oncol.2022 Jan;17(1):103-115.

[7]Planchard D.et al. Lancet Oncol 2017;18:1307–16.

[8]Planchard D, et al. Lancet Oncol. 2016;17:984-993.

[9]Fan Yun, et al. EP08.02-052. WCLC 2022.

[10]CSCO非小细胞肺癌诊疗指南(2023)

MCC码:TML0017846-47035;

素材生效日:2024.02.20;素材失效日:2025.02.19

加载中...