患风湿病10年后,肺竟出了问题,这种病例你肯定没见过
转自:医学界网站
一个疾病能解释朱阿姨的所有症状吗?
撰文丨金迪 王玉伟
今天要跟大家分享的这个病例,既往诊断风湿免疫病明确。患者在诊断混合性结缔组织病(MCTD)的十余年后,渐渐开始对活动不耐受,甚至在日常活动中就会出现呼吸困难,完善胸部CT、胸腔镜及肺活检等检查后,诊断为一种少见的肺部病变。类似的病例,你遇到过吗?
案例简介
患者为46岁女性,于1998年被诊断为MCTD,临床表现包括肌炎、雷诺现象、肢端硬化等表现,且抗U1RNP抗体阳性。个人史及家族史无特殊,否认吸烟史。
2005年底,患者开始出现干燥症状,Schirmer试验呈阳性,诊断为继发性干燥综合征。
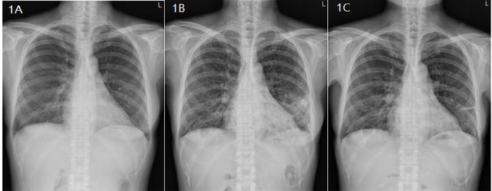
2008年,胸部X线片未见明显异常(图1A)。
图1 A、B、C分别为2008、2015及2016年胸部X线对比
接下来的数年内,患者逐渐开始对活动不耐受,在平地快走或者爬坡时就会出现乏力、呼吸困难的症状。起初,患者并未在意,但是这些症状在进行性加重。
2015年12月,患者因“发热和咳嗽”入院治疗。
胸片示:除了左下叶实变外,双侧弥漫性线状和网状浸润影,散在细小的囊性病变(图1B)。
痰微生物培养提示金黄杆菌感染。主管医师考虑左下肺肺炎,予以氨苄青霉素和舒巴坦联合治疗后,患者发热和咳嗽症状很快缓解。然而,劳力性呼吸困难仍无明显改善。
2016年1月,复查胸片显示左肺下叶实变明显消退,但双侧肺实质内持续存在囊性病变和网状浸润(图1C)。
完善实验室检测等指标(见表1)进行综合评估,未发现贫血、甲状腺功能减退或其他自身免疫性疾病等证据。
表1.实验室检测指标
胸部CT示:小叶间隔增厚、多发小叶中心结节和散在薄壁囊肿,尤其以双侧中下肺野为著(图2A-D)。
图2A-D、E-H 2015年12月和2016年7月患者胸部CT影像对比
肺功能检查示:中度阻塞性通气功能障碍和严重的弥散功能障碍。
患者进一步完善胸腔镜检查,术者于右中叶肺进行活检,取一块体积大小约6cm×4cm×0.8cm的肺组织。术中,胸腔镜下可见右肺表面多发囊性结节状病变(图3)。
图3 胸腔镜下可见右肺表面多发囊性结节状病变
肺活检标本最显著的组织学表现为多个病灶密集浸润,多个中小型淋巴样细胞混杂着浆细胞和组织细胞。CD5、CD10和bcl-2免疫组化染色均为阴性。它们在靠近和远离细支气管的间质中形成滤泡,滤泡主要由形成生发中心的CD20阳性的B细胞和外周的CD3阳性的T细胞组成。
多重聚合酶链反应(PCR)联合异源双链分析显示这些淋巴样细胞的多克隆性。肺活检标本的微生物培养没有发现任何细菌、分枝杆菌或真菌的生长。未发现非特异性间质性肺炎的特征。可见局灶性纤维素样血管炎,但仅在一个小病灶。
结合患者临床、肺部影像学和组织病理表现,主管医师做出“淋巴细胞性间质性肺炎(LIP)”的诊断。患者既往有明确的MCTD病史,故考虑LIP为自身免疫病MCTD继发。治疗上予以应用糖皮质激素,从甲泼尼龙40mg/天的剂量开始,逐渐减少至10mg/天的维持量。
后续随访情况:患者定期检查肺功能,起初提示肺活量参数较前均都有所改善,随后呈现相对稳定的趋势(表2)。7个月后随访胸部CT示,网状和囊性病变没有明显进展(图2E-H)。
案例小结
患者为中年女性,在诊断MCTD 10余年后,患者出现进行性劳力性呼吸困难,经完善胸部CT、肺活检等检查后考虑继发LIP,糖皮质激素治疗有效。此病例发表于Respiratory Medicine Case Reports杂志,是LIP作为MCTD主要肺部表现的首次报道,为我们临床工作提供重要参考价值。
接下来,我们趁热打铁,学习一下MCTD与LIP的相关知识~
LIP最早是由Liebow和Carrington于1969年描述的。与淋巴瘤不同的是,它通常被认为是一种良性的肺淋巴增生性疾病,间质中有密集的多克隆B和T细胞浸润。典型症状包括进行性呼吸困难、咳嗽和乏力。LIP的早期临床和X线表现缺乏特异性,高分辨率CT可发现双侧弥漫性磨玻璃样阴影、小叶中心结节、间隔增厚和散在的囊性病变,肺动脉高压和蜂窝征是晚期表现。
原发性LIP罕见,一旦确定LIP诊断,需要进一步寻找引起LIP的原因。常见原因有自身免疫性疾病、人类免疫缺陷病感染、EB病毒感染、结节病、黏膜相关性淋巴瘤等。以LIP起病的患者常因进行性咳嗽和呼吸困难就诊于呼吸科,继而发现干燥综合征等疾病。LIP与干燥综合征、系统性红斑狼疮、类风湿关节炎、桥本氏甲状腺炎、原发性胆汁性肝硬化、恶性贫血和慢性活动性肝炎之间的关系已被反复报道。
MCTD是一种全身性自身免疫性疾病,临床表现复杂,包括雷诺现象、关节炎、肢端硬化、食管动力障碍、肾脏疾病和炎症性肌炎等。抗U1 RNP抗体与MCTD高度相关,此例患者的临床特征符合Alarcón-Segovia和Kahn的分类标准,MCTD诊断可靠。MCTD肺部受累的常见CT表现包括磨玻璃样影、胸膜下小结节、小叶间隔增厚和纤维化。最常见的MCTD相关间质性肺病是非特异性间质性肺炎。
断案心得
肺是自身免疫性疾病常见的受累器官,多表现为肺间质、气道受累。对于既往诊断自身免疫性疾病的患者,也不能忽视继发这种少见肺部病变的情况。此例为MCTD相关性LIP,目前仍需要深入研究其实际患病率,阐明其发病机制并规范治疗策略。
结语
今天的案子就为大家讲解到这里了,风湿免疫病的诊疗之路仍是任重而道远,希望我们能在不断学习的过程中积攒经验,以便能从容应对一个又一个新的挑战。
参考文献:
[1]Chin-Wei,Kuo,Kung-Chao,et al.Lymphocytic interstitial pneumonia in a patient with mixed connective tissue disease-A case report.[J].Respiratory medicine case reports,2018.
[2]何权瀛.弥漫性肺间质纤维化临床诊断思路[J].临床肺科杂志,2018,023(001):1-4.
[3]于国华,苏春芳,张勇,等.薄壁囊腔为影像学特点的继发性淋巴细胞性间质性肺炎2例并文献复习[J].国际呼吸杂志,2015,035(024):1860-1863.
责编:芋子