精准施术!助力耄耋老人重迈人生路
转自:上观新闻
近日,同济大学附属同济医院骨科完成高难度髋关节融合畸形后关节置换手术,成功让一位80多岁的老人家重获行走自由。
患者为82岁的老年男性,40多年前右髋关节疼痛后于当地诊所多次行关节腔激素注射治疗。由于没有得到规范的诊治,患者右髋关节逐渐发生关节软骨退化变性和继发软骨增生、骨化,髋臼大量骨赘增生导致髋关节无法活动,慢慢地股骨头和髋臼的骨头长到一起,最终形成两者的骨性融合,使髋关节失去了原有的功能。平时活动只能靠腰椎,膝关节来代偿勉强完成日常的活动和劳作。右髋关节长时间无法运动,右大腿肌肉明显萎缩,也给日常生活带来极大不便。在遭受长期疾病的折磨后,患者下定决心要重新恢复正常的行走能力,多方咨询后来到了同济大学附属同济医院骨科。
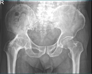
术前X光可见右髋关节骨性融合
有效解决髋关节僵硬这一难题的最好办法就是进行全髋关节置换术,然而长期丧失运动能力引起的骨质疏松及关节解剖结构的变异、关节长期强直软组织变性等一系列问题,致使手术难度大大增加。
针对上述手术难点,结合患者病情,手术最终由同济医院骨科关节外科副主任饶志涛主刀,祝晓忠主任医师、张英琪副主任医师协作一起为患者行后外侧入路人工全髋关节置换术。术中完整地显露了髋臼及股骨近端,确保完全松解挛缩组织以纠正骨性融合髋的固定畸形,且较少损害固有的脆弱外展肌。该手术方式创伤小、恢复快,使患者后续有更好的康复体验。
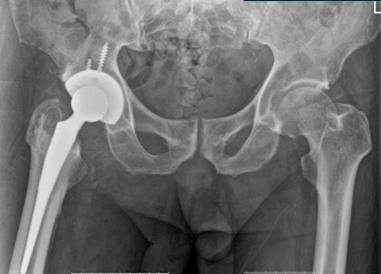
术后X光可以看到右髋关节恢复了正常的解剖位置及功能
由于充分的术前准备工作,术中配合良好,手术创伤及出血非常小。在骨科护理及康复团队快速康复规范化流程的指导下,患者至出院前已经能下床站立及行走,髋关节活动功能明显改善,对于手术效果非常满意。
术后患者照片可见患者能正常站坐,右髋关节活动功能显著改善
髋关节融合畸形(简称融合髋)为髋关节的活动度完全丧失,会继发髋臼发育不良、骨性关节炎、髋关节高脱位、脊柱侧弯、膝关节内外翻及骨质疏松等改变。其原因包括:感染性关节炎、结核性关节炎、创伤性关节炎、炎性关节炎,如类风湿性关节炎或强直性脊柱炎、终末期股骨头缺血性坏死,以及髋关节发育不良继发骨关节炎等。
髋关节融合畸形以后行髋关节置换属于高难度手术。髋关节发生融合后,不仅会带来髋关节局部的功能障碍和畸形,而且还会引发临近关节,比如对侧髋关节、膝关节、脊柱的疼痛和功能受损,这些都为手术及后续的康复带来极大的挑战。
随着科技的发展,全髋关节置换的兴起为很多髋关节疾患患者带去了行走的新希望。同济大学附属同济医院骨科作为国家临床重点专科建设项目科室、上海市重中之重临床重点学科,力争以最小的创伤解决患者最大问题,尽最大的努力为百姓健康保驾护航。
\ 专 家 名 片 /
饶志涛
骨科_关节外科副主任
副主任医师
硕士研究生导师
专家门诊:周二上午、周五上午
特需门诊:周三上午
专病门诊:周六上午(
擅长:关节运动创伤、关节退行性疾病、关节畸形及各类复杂关节疾病的诊治;开展关节镜微创修复重建手术、人工关节置换(成形)术以及多模式保关节治疗措施。如以下疾病:股骨头坏死、髋关节骨关节炎、臀肌挛缩、弹响髋等髋部疾病;膝关节骨关节炎、类风湿性关节炎、半月板损伤、交叉韧带损伤、先天性或后天性髌骨脱位等膝关节疾病;及关节痛、冻结。
专注于骨科关节常见疾病(损伤、退化、畸形等)及运动损伤的诊治工作。长期开展膝、肩关节镜微创修复重建手术、人工髋膝关节置换(成形)术以及多模式保关节治疗。在微创入路髋膝关节置换、多关节同期置换、关节运动损伤微创关节镜修复重建等具有丰富的临床经验,术后疗效佳,患者满意度高。
网上预约挂号
\ 专 家 名 片 /
祝晓忠
骨科主任医师
专家门诊:周一下午、周二上午、周三上午
特需门诊:周一上午
临床特长为四肢恶性肿瘤的保肢治疗,骨转移癌的综合治疗,髋、膝、肩关节置换术及关节镜微创手术。骨质疏松骨折、骨关节炎、骨与软组织肿瘤,复杂的骨关节创伤等临床诊断和治疗方面积累丰富的临床经验。参与多项国家自然科学基金、国家863课题。获上海市科技进步三等奖,在国内外核心期刊上发表论文10余篇。参与同济大学的研究生与本科生教学工作。
张英琪
骨科副主任医师
硕士研究生导师
专病门诊:周四下午、周五上午
擅长:肩关节疼痛、膝关节疼痛、髋关节疼痛、各类髋膝关节置换手术;擅长微创肩关节镜下的肩峰撞击、肩周炎、肩袖撕裂和习惯性肩关节脱位;关节镜下前后交叉韧带重建、半月板修补等疾病的诊断与治疗。
常规开展微创肩关节镜下的肩峰撞击、肩周炎、肩袖撕裂和习惯性肩关节脱位;关节镜下前后交叉韧带重建、半月板修补等疾病的诊断与治疗。擅长数字化骨科、精准治疗、3D打印等技术在关节外科应用。在国际上首次提出股骨颈螺钉安全区概念,对股骨颈骨折内固定起到指导作用。
转自|上海普陀