患者咳嗽、咯血,发现“肺结节”为什么却不需要治疗?
转自:医学界网站
“肺癌”疑云
今天呼吸科的诊室来了个满面愁容的大爷。
大爷姓王,我们就叫他王大爷吧。
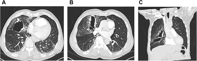
王大爷65岁,前两天单位组织退休职工体检,王大爷的肺右上叶和右中叶发现两处模糊的阴影,提示肺结节。报告一出来,体检中心的医生就让王大爷来排查肺部肿瘤。
这可把王大爷吓坏了。
王大爷以前有过焦虑抑郁的病史,跟平常人相比本身就更容易陷入不好的情绪。这一看到阴影,回想起他最近老是咳嗽,甚至有时候咳出带血丝的痰液,他心想:不会真得肺癌了吧……
带着忐忑的心情王大爷马上就让女儿帮他挂号了,但是号排得很满,只能预约两天之后的号了。在等待的这两天,王大爷是吃也吃不好,睡也睡不好。
终于等到就诊的这天,王大爷带着体检的片子早早地就来医院排队。一进诊室大爷就嘀咕着说,这大医院人真多啊,等了老半天终于排到他了。
接诊王大爷的是呼吸科的李主任,旁边一边听一边认真记录着病历的是在门诊跟着李主任学习的小刘医生。
李主任看了片子,问了王大爷的症状和生活习惯。
王大爷说,咳嗽咳痰其实也就是一个月左右的事儿,但是半个月之前出现一点血丝。之前没在意,直到体检。
一边说着症状,王大爷一边把体检拍的胸片拿出来放到桌上。
“平时抽烟吗?”李主任示意小刘医生把片子夹上灯箱,一边观察着王大爷的精神面貌。
王大爷岁虽然65了,但是看起来精神矍铄并无老态,从他走进来的步伐也感觉王大爷很健康。
“那抽了得有二三十年了。”
王大爷顿了一下,又接着说:“不过我没什么烟瘾,一天两三根的,甚至有时候一整天也不抽。只是以前上班的时候压力大或者困了的时候来两根缓解一下。现在年纪大了退休了也不太抽了。一个月也抽不了一包烟。”
李主任指了指灯箱上的胸片,问小刘医生:“你说说可能有哪些诊断?”
小刘看着胸片,除了王大爷说的那两团阴影,其他部分肺纹理清晰分布也符合生理,也没有肺门肿大或者气管支气管增粗,看起来比一般老年人居然还要健康些——毕竟好多老年人有慢性气道疾病多少看着会有点小毛病。
“嗯……患者虽然抽烟抽得不‘凶’,但是并不意味着没有肺CA的发病可能,还是得排查。另外咳嗽、咯血的病程并不长,感染因素也要考虑。”
小刘医生说着卡住了,因为王大爷的胸片看着实在太健康了,并不像有感染的样子。
李主任笑了笑,说:“你先给病人查体吧!”
查体结果:体温 36.8 °C,血压 132/71 mm Hg,心率 69 次/分钟,室内空气下氧饱和度(SPO2)99%。瞳孔对光反射正常且对称。心率和心律正常,无任何杂音。胸部检查无任何结构异常或捻发音,双侧听诊肺部清晰。腹部柔软无压痛。肌肉骨骼、神经系统检查等等,都是正常的。
小刘医生犯了嘀咕,到底是什么病呢?
外伤史给了提示
正在小刘医生疑惑不解的时候,李主任翻看了王大爷的电子病历,开口问了王大爷:“大爷,您有三个月前在我们医院急诊的就诊记录,您方便说一下是为啥就诊不?”
王大爷思忖了一会儿,说:
“哦,那次啊!开车送我外孙上学呢,在路上有个没素质的老爷们儿非得插队。我也有脾气啊,我就不让,结果他一脚油门别过来,就追尾了。当时那孙子车速还挺快,一撞上来力道不小。我车气囊弹出来了给我胸口都撞青了。”
王大爷说的时候神情还忿忿的,仿佛心里对被别车的事儿还有气。
“倒也没啥大事儿。不过我这好歹也是受伤了,怎么着也得好好检查吧。这不就到医院来啦。当时还做了CT呢,医生说没啥事回家好好休息就行了。让那人赔了我医药费,做完检查,我也就回家了。”
李主任刷新了一下系统,却发现并没有CT影像资料。
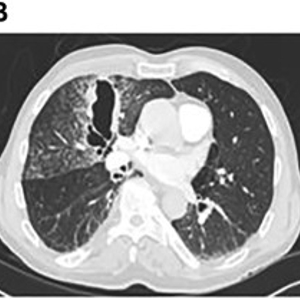
王大爷说那天医院CT太多人排队了没做上,去外院做的。今天带来了(图1)。
图1 三个月前王大爷的外院CT检查图像
李主任脸上马上就展开了笑意,说:“王大爷啊,你这阴影不用担心!过段时间它自己就没了,回去吧。您可以过几个月再来复查一下CT,保管您这阴影消退得一干二净。”
“肺结节”自行消退
诊断原来是它
李主任对小刘医生说:“你看这个病人啊,就是典型的创伤性肺假性囊肿(TPP)。这个在临床可不算多见,你仔细看看王大爷的片子多学学吧!”
果然几个月后,王大爷来复查CT,肺部阴影消退得一干二净。
了解创伤性肺假性囊肿
TPP的成因:
创伤性肺假性囊肿是医学领域中罕见的疾病。虽然预估的TPP发生率很低,但随着目前包括 CT 扫描在内的成像工具的快速普及,TPP 的检出率已从5%增加到10%。关于这些假性囊肿的成因,目前有各种假说,有一种理论是:突然、严重的压迫(如外部撞击)导致部分肺实质减压,使得肺组织的撕裂和压缩,从而形成空气和/或充满液体/血液的假性囊肿。然后这些囊肿会发生体积变化,直到囊性区域和周围肺组织之间达到压力平衡。[1]
TPP的诊断及鉴别诊断:
同时符合以下特征,即可初步诊断 TPP:①胸部高速钝性损伤史或穿透性胸外伤。②胸部CT或胸部X线片检查肺部气性空洞或液气性空洞。③伤前无特殊病史,近期影像检查无阳性发现,排除其他空洞性病变。[2]
在胸部X线检查中,TPP有高达50%的漏诊概率。胸部CT扫描是TPP的最佳检查方式,可以清晰地显示气/液平并更好地估计假性囊肿的数量、大小和位置。[1]
临床症状改善及影像学检查空洞演变符合TPP演变规律,并最终消失,可进一步证实初步诊断。[2]
TPP患者通常无症状,但可表现为咳嗽、咯血(在原始创伤后实质和/或附近血管损伤的情况下)和胸痛。
对于创伤后肺部出现囊性病变的患者,必须评估其他重要病因,包括感染(结核病、肺脓肿、真菌病)、恶性肿瘤和炎症后气囊膨出,特别是如果患者的病史不明确或无法获得既往影像检查资料。尽管TPP在临床治疗中很少见,但当发现患者在急性胸部创伤的情况下肺部有囊性病变时,急诊科和ICU的医生应将TPP作为最重要的鉴别诊断之一。[1]
TPP的治疗:
TPP的治疗主要为支持性治疗,包括连续影像学检查以评估囊肿消退或并发症(包括气胸/血胸)的形成。如果患者出现发热或咳嗽加重,应怀疑感染性并发症,包括肺脓肿形成,并应开始对患者进行革兰氏阳性球菌、革兰氏阴性杆菌和厌氧菌抗生素覆盖。如果抗生素不能改善发热,应考虑外科治疗。
在需要机械通气的 TPP 患者中,假性囊肿可能会进展并导致血流动力学不稳定和/或压力增加引起的囊肿破裂引起的继发性气胸。在这种情况下,可能需要放置胸导管,使用胸腔镜手术或外科手术切除病变。降低呼气量和呼气末正压通气可能有助于预防气胸,但是还需要进一步的研究来为TPP患者建立最合适的机械通气治疗方案。TPP病变大多会随着时间的推移而缩小,通常在2-4个月内消退。[1]
参考文献:
[1]Usman S, Haseeb S, Khan M J, et al. A 65-Year-Old Man With Concerns of Hemoptysis After Recent Motor Vehicle Accident and Blunt Trauma to Chest[J]. Chest, 2023, 164(6): e173-e176.
[2]朱中权.创伤性肺假性囊肿的诊断和治疗进展[J].创伤外科杂志, 2012, 14(2):3.DOI:10.3969/j.issn.1009-4237.2012.02.029.
来源:医学界呼吸频道
责编:徐李燕
编辑:赵 静