新浪财经

地坛这“医”刻|上新!小球囊巧破冠脉钙化“硬石头”

北京日报

关注

“天不怕、地不怕,就怕血管有钙化”,在心内科介入医生中曾经流行过这么一句话。这是因为血管内钙化像石头一样坚硬,常规支架植入无法达到良好效果,且并发症发生率高,一直是介入治疗的难点和痛点。最近,地坛医院心内科上新的Shockwave冲击波球囊碎石术,就能够解决这项难题,为冠状动脉钙化病变患者带来切实福音。

刚柔并济 解决冠脉钙化的利器

陈大爷今年60岁了,高血压好多年了没怎么重视,抽烟喝酒的习惯也一直没改掉。几天前他和朋友小聚喝了4两酒之后突然晕倒了,一测血压只有60/30mmHg,这可吓坏了他和家人,赶紧送到医院检查,结果心电图和超声心动图都有问题,进一步冠脉造影检查结果显示,冠状动脉多支血管弥漫狭窄伴重度钙化。

血管钙化是指钙盐在冠状动脉管壁或粥样硬化斑块内沉积。在治疗上,传统介入器械通过难度较大,容易引发导丝断裂、支架脱落,导致支架膨胀不良、支架内血栓、支架再狭窄等严重并发症,影响治疗效果。遇到弥漫钙化病变常常让介入医师感到头痛,冠脉旋磨技术的应用、切割球囊的诞生都是解决弥漫钙化病变的有力武器,但不仅延长手术时间,同时也容易引起冠脉穿孔,手术风险极高。

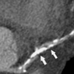
白色部分为钙化的“硬石头”

陈大爷冠脉造影后进一步完善了OCT检查结果提示:右冠脉中段开始弥漫性纤维钙化斑块形成,局部呈环形钙化,最小管腔面积仅2.6mm²,导丝无法到达血管远端,更换导丝后到达血管远端,但不能充分预扩张,应用传统的切割球囊处理后仍无法达到满意的预处理效果。心内科管浩副主任带领冠脉介入小组经过对患者冠脉情况的充分评估讨论,最终决定使用Shockwave冲击波球囊对患者进行治疗。

“Shockwave冲击波球囊就位,工作压力4atm,释放脉冲!6atm,释放脉冲!”按照预定方案,管浩副主任对病变血管进行治疗,扩张6次后撤出冲击波球囊。复查OCT显示病变预处理充分,随后在右冠脉病变处植入两枚支架,经OCT再次评估支架贴壁良好,冠脉造影示支架展开良好,效果满意。术后,经过医护团队的精心治疗,陈大爷恢复健康,顺利出院。它对管浩副主任医师带领心内科团队的精湛医术和“新武器”——Shockwave冲击波球囊表示认可。

技术上新!

Shockwave冲击波球囊

经皮冠状动脉腔内冲击波球囊导管成形术,或称血管内碎石术(intravascular lithotripsy,IVL),源自泌尿系结石治疗的碎石原理(还不了解泌尿系结石碎石的家人们,可以点击这里),结合球囊成形技术的创新发展,诞生了Shockwave冲击波球囊,它利用声压冲击波的方式处理血管内钙化,通过球囊低压扩张,向病变发射非聚集、低能量、脉冲式冲击波,碎裂血管内钙化病变,改善血管顺应性,以便后续的支架植入和释放,对环状钙化、偏心钙化等有独特的治疗效果,成为了一项治疗钙化病变的新技术。该项技术于2018年在欧洲上市,2022年在国内获批使用。Shockwave冲击波球囊的诞生给冠脉弥漫钙化的患者带来了福音,成为解决冠脉钙化的又一利器。

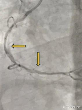
治疗前

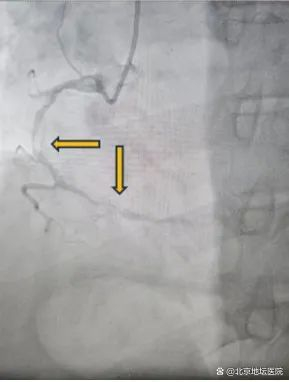
治疗后

这样严重的钙化斑块仅仅依靠Shockwave冲击波球囊就得到了顺利解决,Shockwave冲击波球囊可有效断裂钙化、微创血管内膜、恢复血管顺应性,解决冠脉钙化病变,实现了冠脉钙化病变治疗的安全性、有效性同时兼顾,和其它方法相比具有损伤小、并发症少、疗效好的特点,大大降低了患者的手术风险。

击碎心脏“拦路石”,Shockwave冲击波球囊刚柔并济,大显身手,为复杂钙化病变治疗提供了有效的利器,为患者带来福音。

/ 作者介绍 /

徐文晶,北京地坛医院心内科副主任医师,从事心血管内科临床工作十余年,对于高血压、冠心病、心力衰竭、心律失常等疾病的诊疗有丰富的临床经验。

/ 专家介绍 /

管浩,北京地坛医院心内科副主任(主持工作),医学博士、副主任医师。毕业于北京协和医院,于中国医学科学院阜外医院工作10余年,期间于日本仓敷中央医院交流学习。擅长微创治疗冠心病、心律失常、心脏瓣膜病,已完成冠脉手术3000余例,尤其擅长左主干病变、CTO病变、分叉病变等复杂病变的介入治疗,使患者免于开刀治疗。其在国内领先应用准分子激光销蚀术治疗支架内再狭窄病变,桥血管血栓闭塞病变,以及冲击波球囊、旋磨技术处理中重度钙化病变,具有丰富的处理疑难杂症经验。在国内外期刊发表学术论文10余篇,曾于TCT做学术交流,参与国家重点研发计划、首发专项等多项基础及临床研究。

加载中...