新浪财经

拥挤≠拔牙|贤医健康说

媒体滚动 2023.12.13 18:30

转自:上观新闻

拥挤≠拔牙

正畸科普

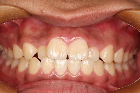
在我们的正畸治疗中的确存在需要拔牙来解除拥挤的情况,但是拥挤并不等于拔牙。拔牙与否除了拥挤度,我们还需考虑患者的生长潜力,面型,牙弓情况等等。首先我们要仔细分析拥挤产生的根源,然后针对性解决问题,这样才能正本清源。

扩弓排牙

对于牙弓比较窄小而引起的拥挤,经过X光片的检查和模型的分析,可以通过扩弓来增加空间,从而不拔牙排齐牙齿。

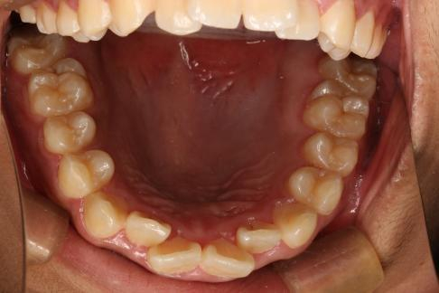
微种植钉远移磨牙

远移磨牙后排齐效果

对于面型尚可的轻中度拥挤患者可以通过微种植钉远移磨牙排齐牙列。

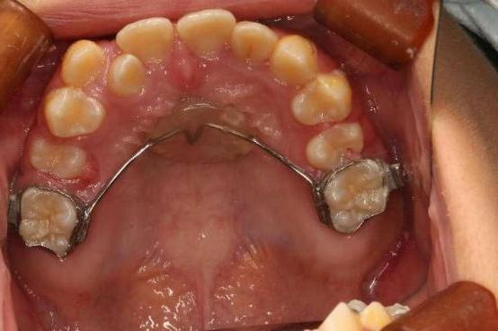
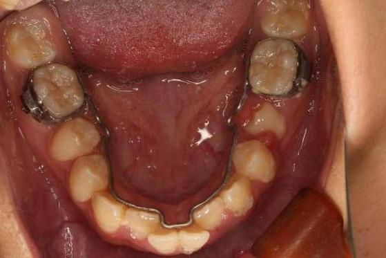
利用替牙间隙排齐牙齿

舌弓保持替牙间隙并隐形矫正排齐牙齿。

防患于未然,我们既要能多手段解决拥挤,更要在生长发育初期阶段减少减轻拥挤的产生。比如口呼吸等不良习惯引起的牙弓狭窄,监控气道辅以肌肉训练,必要时功能性早期矫正,促进颌骨正常发育,为牙齿排列创造更多空间。对于乳牙早失的患者一定要用舌弓等间隙保持,减少后期拔牙的概率。总之,经过医生仔细地临床检查、分析、判断,一定会让每位拥挤患者都能得到最适宜的治疗方案。

报送:沈群(奉贤区卫健委)

编辑:戴君文

加载中...