新浪财经

实例鉴证,携爱而行|局部晚期胃癌患者呋喹替尼联合紫杉醇转化治疗后获得手术契机!

市场资讯 2023.11.29 19:03

转自:医学界

呋喹替尼联合白蛋白紫杉醇为局部晚期胃癌患者带来用药新思路

胃癌作为全球范围内常见的恶性肿瘤之一,其发病率在东西方存在显著差异,尤其是东亚地区的发病率明显高于欧美地区。中国作为全球胃癌患病例数最多的国家之一,占据全球胃癌患者总数的43.9%[1]。由于早期胃癌常缺乏典型的临床表现,且胃镜检查的普及程度存在差异,多数患者在确诊时已经进入进展期甚至是晚期。中国胃肠肿瘤外科联盟数据显示,局部进展期胃癌的比例高达70.8%[2]。目前,手术治疗仍然是局部进展期胃癌的首选治疗方案。然而,对于病情处于局部晚期阶段的患者,手术切除的难度较大且复发率较高。对于不适宜手术切除的局部进展期胃癌患者,转化治疗为其提供全新的治疗思路。本例局部晚期胃癌患者应用呋喹替尼联合白蛋白紫杉醇转化治疗后成功降期并进行了手术,或将为真实世界诊疗方案带来临床借鉴与思考。

(以下病例仅系相关主治医生在执业过程中的病情回顾与评述,个体病例通常具有差异性,具体治疗方案及用药应当结合个体情况并严格遵循医嘱。)

病例回顾

■ 病史信息

基本信息:女,67岁。

主诉:上腹疼痛1年,加重伴黑便一周。

查体:身体质量指数(BMI)19.92kg/m2,卡式功能状态(KPS)评分:80分,癌症疼痛(NRS)评分:3分。

辅助检查:

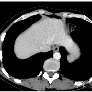
  • 2023年2月5日行腹部CT检查(图1),提示胃壁增厚僵硬,以胃体为著,考虑胃癌(T4N3)。

  • 2023年2月6日行纤维胃镜检查(图2),提示胃体小弯低回声浸润性病变(T4N3)侵及胃窦和幽门。

  • 病理活检:提示低分化腺癌。

  • 免疫组化:HER2(0),MSS, PD-L1(SP263)(CPS≤1)。

初步诊断:胃低分化腺癌(cT4N3M0 Ⅲ期)

■ 治疗经过

转化治疗:奥沙利铂+替吉奥(SOX)(2023年2月至2023年4月)

患者经多学科会诊(MDT)讨论后,自2023年2月开始使用奥沙利铂(130mg/m2 d1)+替吉奥(60mg Bid D1-14)治疗,21天为1周期,共用药2周期。同时给予营养心肌、抑酸、保肝、止吐等对症支持治疗。

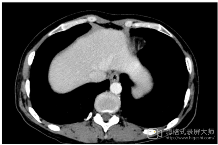
用药2周期后,于2023年4月8日复查腹部CT检查(图3),提示胃壁增厚僵硬,以胃体为著,较前好转,考虑胃癌(T4N+);于2023年4月15日复查纤维胃镜检查(图4),提示胃体小弯低回声浸润性病变(T4N3)侵及胃窦,镜下见病灶较前改善,超声表现无明显变化。

疗效评价(RECIST):疾病稳定(SD)。

肿瘤退缩分级(TRG)评估:TRG3。

化疗后分期:ycT4N3M0。

第二次转化治疗:呋喹替尼+白蛋白紫杉醇(2023年4月至2023年6月)

患者再次经过MDT讨论后,接受呋喹替尼(4mg 服用3周停1周)+白蛋白紫杉醇(200mg/m2 D1)治疗,28天为1周期,共用药2周期。同时接受营养心肌、抑酸、保肝、止吐等对症支持治疗。

用药2周期后,于2023年6月17日复查腹部CT检查(图5),提示胃壁增厚僵硬,以胃体为著,较前略减轻,考虑胃癌(T3N1);于2023年6月24日复查纤维胃镜检查(图6),提示胃体小弯低回声浸润性病变(T3N1)侵及胃窦。

疗效评价(RECIST):部分缓解(PR)。

TRG评估:TRG2。

化疗后分期:ycT3N1M0。

手术治疗:拟行腹腔镜辅助全胃切除(LATG)术

根据AJCC第八版疾病分期,患者目前诊断为胃低分化腺癌(ycT3N1M0 ⅡB期)。胃肠外科讨论后,患者于2023年6月29日行LATG术。

术后病理示:胃小弯侧弥漫型低分化腺癌,侵至深肌层达浆膜;肿瘤间质可见促纤维反应及淋巴浆细胞浸润;脉管侵犯(+),神经侵犯(+);两切缘(-);Lauren分型:弥漫型。

胃癌新辅助化疗后病理学评估(NCCN指南标准):2级,残留癌灶伴纤维增生。

(大网膜)网膜组织可见癌浸润,淋巴结癌转移(3/4),(6a、8a、11p)淋巴结癌转移(4/8、3/3、2/3);(4d、7)淋巴结未见癌转移,周围脂肪组织内可见癌浸润;(4sb、10、12p)淋巴结未见癌转移(0/1、0/2、0/3);(8a、12a)脂肪组织内癌浸润;(6v)送检为纤维脂肪组织。

免疫组化结果:AE1/AE3(+),CD34(-),Ki67(30%),HER2(-),MLH1(+),MSH2(+),MSH6(+),PMS2(+),P53(部分表达),PD-L1(SP263)(CPS<1)。

术后诊断(AJCC 第八版):胃低分化腺癌 [分期1(TD):pT4aN3aM0 ⅢB期;分期2:pT3N3aM1 Ⅳ期)]

患者术后继续行4周期呋喹替尼+白蛋白紫杉醇维持治疗,期间复查肿瘤标志物及常规检验,提示:血红蛋白明显升高至正常值,抗原242(CA242)平稳下降,甲胎蛋白(AFP)显著下降。

病例总结

该病例为一位老年女性,因上腹疼痛1年,加重伴黑便一周就诊于胃肠外科,初步诊断为胃低分化腺癌(cT4N3M0 Ⅲ期)。经过MDT讨论,患者接受SOX方案转化治疗2周期,疗效评估为SD。由于治疗效果不佳(TRG评估提示TRG3,肿瘤无退缩),患者再次经过MDT讨论后更改转化治疗方案为呋喹替尼+白蛋白紫杉醇,治疗2周期后疗效评估为PR,TRG评估提示TRG2。转化治疗后患者诊断为胃低分化腺癌(ycT3N1M0 ⅡB期),经过胃肠外科评估后,行LATG术。患者术前经过转化治疗后获得5个月的无进展生存期(PFS),术后患者继续接受4周期呋喹替尼+白蛋白紫杉醇维持治疗(图7)。

专家点评

胃癌患者中,局部进展期胃癌占比高。对于此类患者,单纯行手术治疗疗效较差,并且术后复发风险较高。随着治疗模式的不断发展,出现了各类临床试验和新的治疗理念,局部进展期胃癌的治疗模式也由单一化疗方案逐渐转变为靶向联合化疗等新的治疗方案,以改善患者疗效并延长其生存时间。

《美国国家综合癌症网络(NCCN)胃癌临床实践指南》中推荐全身状况良好、潜在可切除病灶且临床分期为cT2~4N0~3期的患者首选新辅助化疗或新辅助放化疗,将术前辅助化疗联合术后辅助治疗模式作为临床分期≥cT2N0期胃癌的首选治疗方式[3]。我国的RESOLVE研究证实了SOX方案在新辅助化疗和术后辅助化疗中的作用[4]。本例患者在SOX方案转化治疗2周期后疗效评估虽为SD,但并未观察到肿瘤退缩。不同机制、不同靶点的抗肿瘤药物或许是提升疗效的和克服耐药的重要手段。

呋喹替尼是一种小分子酪氨酸激酶抑制剂(TKl),主要作用靶点是血管内皮生长因子受体(VEGFR)-1/2/3,抑制血管生成,从而发挥肿瘤生长抑制效应,在晚期实体瘤患者的治疗中显示疗效与安全性的平衡。

在2017年的美国临床肿瘤学会胃肠道肿瘤研讨会(ASCO GI)上,一项单臂、Ⅰb/Ⅱ期研究显示,呋喹替尼联合紫杉醇治疗具有一定的协同增强抗肿瘤作用[5]。研究显示,呋喹替尼与紫杉醇联用时,紫杉醇药物暴露量增加超过30%,从而提高抗肿瘤作用;呋喹替尼联合紫杉醇方案治疗的患者中,中位总生存期(mOS)为8.5个月、中位无进展生存期(mPFS)为4.0个月,客观缓解率(ORR)为25.9%、疾病控制率(DCR)为66.7%[5-6]

新辅助治疗可使肿瘤降期、提高R0切除率。2023年ASCO年会上公布了呋喹替尼联合奥沙利铂与替吉奥(SOX)新辅助治疗局部晚期胃腺癌的FRUTINEOGA研究结果[7]。结果显示,病理学缓解率(pRR)为81.8%,病理学完全缓解率为27.3%,R0切除率为90.9%;安全性方面,最常见的≥3级治疗期间不良事件包括食欲下降(21.1%)、高血压(21.1%)、恶心(15.8%)、呕吐(10.5%)、口腔黏膜炎(10.5%)、疲乏(5.3%)、腹泻(5.3%)和呼吸道感染(5.3%),未发现新的安全性信号或导致死亡的治疗相关不良事件[7]。FRUTINEOGA研究结果提示呋喹替尼联合化疗新辅助治疗局部晚期胃腺癌显示出良好的安全性和抗肿瘤作用。

本例患者使用呋喹替尼+白蛋白紫杉醇2周期取得了PR,并且成功降期,经评估后获得手术机会,再次验证了呋喹替尼联合紫杉醇可为局部晚期胃癌患者带来生存获益。

胃癌作为异质性较高的恶性肿瘤,一种药物往往难以控制胃癌的进展,呋喹替尼联合白蛋白紫杉醇不仅为患者带来了生存获益,也为临床提供了崭新的治疗思路。胃癌的精准治疗目前仍在探索中,继续寻找优势通路和靶点,优化靶向与化疗/免疫联合方案,期待呋喹替尼联合紫杉醇治疗方案能够为更多局部晚期的胃癌患者带来全新的选择。

病例提供者简介

郭灿

青海大学附属医院 胃肠外科

  • 主治医师,研究生

  • 青海省医学会胃肠外科分会委员

点评专家简介

符洋 教授

  • 郑州大学第一附属医院胃结直肠外科医学部主任,疝和腹壁外科主任,外科教研室副主任,主任医师,教授,博士研究生导师

  • 中国医师协会外科分会胃肠间质瘤/胃食管反流/疝和腹壁外科专家工作组委员

  • 中国抗癌协会胃肠间质瘤专委会委员

  • 中华疝和腹壁外科杂志副总编

  • 河南省医学会普外分会常委兼疝和腹壁外科学组组长

  • 河南省医师协会胃肠分会副主任委员

  • 河南省医学会肠外肠内营养分会青委会主任委员

  • 主持国家自然科学基金2项,发表SCI论文40余篇

参考文献:

[1]FERLAY J, COLOMBET M, SOERJOMATARAM I, et al. Cancer statistics for the year 2020: An overview [J]. International journal of cancer, 2021.

[2]苗儒林,李子禹,武爱文.中国胃肠肿瘤外科联盟数据报告(2014-2016)[J].中国实用外科杂志, 2018, v.38(01):95-98.

[3]刘凤林,蔡天翼,顾杨阳.局部进展期胃癌新辅助化疗和转化治疗的现状与进展[J]. 中华消化外科杂志, 2023,22(10):1166-1172.

[4]Xiaotian ZHANG, Han LIANG, Ziyu LI, Yingwei XUE, et al. Lancet Oncol. 2021 Aug;22(8): 1081-1092.

[5]Xu RH, Zhang DS, Shen L,ea al.A Phase I/II trial of fruquintinib in combination with paclitaxel for second-line treatment in patients with advanced gastric cancer. 2017 ASCO, Abstr 128.

[6]Zhang Y, Wang ZX, Shen L, et al. A phase Ib/II study of fruquintinib in combination with paclitaxel as the second-line therapy for advanced gastric cancer.Cancer Communications.2023 Jan;150-153.

[7]Wu L, Qin Y, Huang M, et al.Fruquintinib plus oxaliplatin combined with S-1 (SOX) as neoadjuvant therapy for locally advanced gastric adenocarcinoma (FRUTINEOGA): A multicenter, phase II study.2023 ASCO, Abstr e16063.

* 本资料由和黄医药提供支持

* 本资料旨在促进医药信息的沟通和交流,而非广告宣传。

*“医学界”力求所发表内容专业、可靠,但不对内容的准确性做出承诺;请相关各方在采用或以此作为决策依据时另行核查。

加载中...