新浪财经

肺癌?肺纤维化?诊断、治疗傻傻分不清

市场资讯 2023.11.02 19:16

转自:医学界

答案

由于存在活动性肿瘤疾病是排除参与吡非尼酮药物项目的标准,病人停止抗纤维化治疗,并开始SCLC的全身治疗。

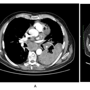
患者符合接受卡铂-依托泊苷方案的条件,早期治疗耐受性良好。经过两个周期的细胞毒性处理后,CT示存在部分好转(图2B),四个周期后持续好转(图2C)。治疗耐受性良好,达到了4个月PFS。

由于肿瘤出现消退不再有出血的风险,因此继续实施抗纤维化和抗血管生成药尼达尼布治疗。

“类肿瘤疾病”——特发性肺纤维化

特发性肺纤维化(IPF)是一种病因未明慢性进行性致纤维化性间质性肺炎。患病率低,约为每10万人10-60例。它会导致呼吸困难的进行性恶化和肺功能的不可逆转的下降,预后较差,平均生存期为3-5年。目前有两种抗纤维化药物吡非尼酮尼达尼布可降低生理进展,并可能提高无进展生存期[3]

IPF伴发肺癌的预后比单纯IPF更差,非小细胞肺癌(NSCLC)占IPF伴发肺癌的绝大多数,SCLC发生率较低(在IPF患者中占肺癌的20.48%),但其病程发展快,预期寿命更短[4,5]

普通人群的肺癌治疗指南是明确的,但对于罕见的IPF伴发肺癌治疗方案仍未达成共识。肺癌的各种治疗方法,包括手术干预、化疗和放疗,都有导致IPF急性加重的风险[1]。因此,寻找一种安全有效的治疗这些患者的方法是具有挑战性的。

现有的IPF伴发肺癌有哪些治疗方式?

尼达尼布

尼达尼布是一种多靶点络氨酸激酶抑制剂,可以抑制肿瘤血管生成,抑制肿瘤生成和转移[6],同时也是IPF的常规治疗药物,常与多西他赛联合治疗IPF-NSCLC。

然而,对于IPF-NSCLC患者,单药尼达尼布治疗的有效性研究数据有限。文献有报道单独使用尼达尼布同时阻止IPF和NSCLC进展;在单独使用尼达尼布治疗7个月后,原发肿瘤、胸膜播散和纵隔淋巴结转移均有所消退,同时IPF未发生进展;尼达尼布单药治疗可能是无法耐受化疗的IPF-NSCLC患者的治疗选择[2]

在本案例中治疗SCLC的同时未使用尼达尼布,因为其肿瘤有侵袭大动脉的风险。随着肿瘤缩小,后续开始使用尼达尼布治疗。尼达尼布是否能降低IPF伴发肺癌发生率、延长IPF伴发肺癌患者生存期或减轻化疗相关IPF急性加重仍不确定。

吡非尼酮联合以卡铂

近期研究表明,吡非尼酮联合以卡铂为基础的方案或免疫检查点抑制剂可能是IPF-NSCLC患者的一种安全的一线化疗方案[7]

依托泊苷联合铂类药物作为广泛期SCLC一线标准治疗方案已有30余年。现已有多项依托泊苷联合铂类对于包括IPF在内的间质性肺病(ILD)的SCLC的疗效和安全性的研究报道。Yoshida等报道,在该治疗过程中,52例患者中只有1例(2%)发生ILD急性加重,总缓解率为69%,中位无进展生存期为4.5个月,中位生存期为9.4个月[2]

在这少数病例中,有2例SCLC和IPF患者肺功能较差。他们接受了基于铂和依托泊苷衍生物的化疗,同时继续抗纤维化治疗。经治疗,患者临床情况及肺功能均有改善。

伊立替康-卡铂

在我们能够发现的极少数IPF-SCLC病例中,该患者在进行伊立替康-卡铂化疗治疗3个月后因IPF急性加重导致呼吸衰竭而死亡[2]

免疫检查点抑制剂

近些年免疫检查点抑制剂(ICI)的发展改善了SCLC患者的生存。CASPIAN和IMpower133证明在一线化疗(基于铂和依托泊苷)中加入阻断PD-L1分子的抗体比单独化疗对患者的生存有更有利的影响。这两种免疫检查点抑制剂被证明是在过去几十年里第一个确定改善广泛期SCLC患者预后的药物[8]

Ide等人首次报道了一例IPF-NSCLC患者,该患者使用ICI持续缓解1年,IPF没有加重。也有报道称免疫治疗在1例鳞状细胞肺癌和IPF患者中诱导了肺炎[2]

多项研究表明,基线肺部疾病的存在会增加肺炎的风险。对于肺功能较差的患者,可能会导致预后较差。本案例考虑到免疫相关肺炎发生呼吸衰竭的高风险,我们未进行免疫治疗。

值得注意的是,在SCLC患者化疗中加入ICI对生存率的改善并不像NSCLC那样显著。目前尚无IPF-SCLC患者使用免疫治疗的报道。因此,需要继续研究免疫治疗在不同组SCLC患者中的作用和安全性,寻找最优的化疗和免疫治疗方案。

专家点评

1、IPF临床特征

IPF是一种病因不明的慢性纤维化性间质性肺疾病(ILD),放射学和组织病理学以普通型间质性肺炎(UIP)为特征。主要发生在老年人,以呼吸困难和肺功能进行性恶化为特征,容易发生气胸和纵隔气肿,IPF是所有间质性肺病中预后最差的类型之一,诊断后的生存时间为3至5年。

目前IPF最大的问题是漏诊和误诊。绝大多数患者在早期没有任何症状,随着疾病的进展,肺功能逐渐恶化,表现出呼吸困难、呼吸急促样的“窒息感”。一些老年患者经常会忽视呼吸困难的症状,认为是年龄增大造成的身体不适。当患者出现气促、呼吸困难等症状时已经属于疾病的中晚期,肺通气功能已经被损害至少50%。因此,对于中年及老年人群,特别是抽烟、反复咳嗽、气短、长期接触粉尘者、有家族史的人更要警惕,应该定期到医院进行肺功能检查。

2、IPF伴发肺癌治疗方案的选择

IPF患者中,肺癌患病率为2.7%~48%,与普通人群相比风险增加了5倍,超越慢阻肺患者。IPF合并肺癌的病理类型鳞癌最多见,其次为腺癌,病灶多位于下叶或外周。需要注意的是,当纤维化病灶较严重时,即使出现肺癌的典型征象也容易被掩盖导致漏诊。因此,当患者明确诊断IPF时应进行动态随访,当出现新发结节或结节变化时,应密切关注,必要时可采取病理检查以明确诊断。

IPF合并肺癌治疗选择中,最大的矛盾是无论手术、化疗还是放疗都会导致IPF急性加重,患者可能因急性呼吸衰竭而死亡。然而,IPF合并肺癌患者被排除在大多数晚期NSCLC的临床试验之外。日本Masatoshi Kanayama团队于2021年的一项研究发现,在围手术期服用吡非尼酮可以显著降低IPF合并肺癌患者在接受肺癌根治术后发生急性加重的风险。

日本的另外一项研究,大坪孝平博士的J-SONIC试验是世界上第一个关于IPF合并肺癌的III期随机对照试验,旨在评价尼达尼布联合化疗与单纯化疗治疗IPF合并晚期NSCLC的疗效。主要终点中位EPF:尼达尼布组14.6个月,单独化疗组11.8个月,HR=0.89(90%CI:0.67~1.17),次要终点中位OS:尼达尼布组16.1个月,单独化疗组13.1个月,HR=0.61(95%CI:0.40~0.93),副反应方面:联用尼达尼布治疗引起的发热性中性粒细胞减少症、腹泻和蛋白尿的病例较多,但两组的生活质量并无差异。因此尼达尼布联合化疗的组合方案可能成为IPF合并晚期NSCLC(尤其是非鳞癌)的一种治疗选择。

法国、日本因此在IPF指南中提出了IPF合并肺癌的处理意见:

1)在确诊IPF的患者人群,注意监测肺癌的发生;

2)建议吸烟患者戒烟,并告知戒烟相关辅助措施;

3)建议每年进行CT扫描,CT检查可同时检出肺癌,这尤其对肿瘤局限且肺功能允许手术的患者意义重大;

4)在既确诊IPF又确诊肺癌的患者,推荐将IPF纳入治疗决策之中;

5)关于手术治疗,由于手术有基础肺功能要求,也可能诱发AE-IPF,因此,需要进行个体化精细评估,权衡利弊后决策,目前也不清楚术前试用抗纤维化预防是否有用;

6)关于化疗,化疗可能诱发AE-IPF、呼吸衰竭,需要充分评估,遵循肺癌治疗指南,采取个体化治疗;

7)关于放疗,由于可以引起放射性肺炎、纤维化和AE-IPF发生,原则上尽量避免放疗;

8)靶向治疗和免疫治疗,络氨酸酶抑制剂和免疫治疗均可诱发ILD,应权衡利弊,以精准医学指导个体化治疗,避免不适当的药物暴露。

进行肺癌确诊与治疗时,因为有引起IPF急性加重的风险,应该掌握个体化、综合处理原则。就目前研究来看,治疗方法以早期手术切除效果较好,关于IPF合并肺癌,还有许多问题,需要进一步开展临床和基础研究。 

参考文献

[1].金;Nathan,S.D.特发性肺纤维化:合并症的影响和最佳管理。柳叶刀呼吸医学.2017,5,72–84.http://doi.org/10.1016/S2213-2600(16)30222-3

[2].格罗德凯维奇 M,科齐尔 P,奇米莱夫斯卡 I,科贝尔马,米兰诺夫斯基 J.特发性肺纤维化过程中的小细胞肺癌-病例报告和文献综述.Curr Oncol.2022 18 月 29;7(5077):5083-10.doi:3390.29070401/curroncol35877261.密码:9318736;PMCID:PMC35877261.https://pubmed.ncbi.nlm.nih.gov/<>/

[3].拉古;羽衣甘蓝;伊根;马丁内斯;贝洱;布朗;科尔比;科迪尔;弗莱厄蒂;拉斯基;等。ATS/ERS/JRS/ALAT 官方声明:特发性肺纤维化:循证诊断和管理指南。Am.J.Respir.Crit.CareMed.2011,183,788–824.https://www.atsjournals.org/doi/10.1164/rccm.2009-040GL

[4].宫崎骏;佐藤;栗岛;中村,R.;I志川;鹿儿桥;Hizawa,N.小细胞肺癌患者的间质性肺病。Med.Oncol.2010,27,763–767.https://link.springer.com/article/10.1007/s12032-009-9283-z

[5].贾法里·内扎德;YektaKooshali,M.H.特发性肺纤维化中的肺癌:系统评价和荟萃分析。PLoS ONE 2018,13,e0202360.https://journals.plos.org/plosone/article?id=10.1371/journal.pone.0202360

[6].Dhillon,S.Nintedanib:其作为成人腺癌组织学晚期非小细胞肺癌二线治疗的综述.T arget Oncol.2015,10,303–310.http://www.ncbi.nlm.nih.gov/pubmed/25894578

[7].山本;矢野;库格,T.;O卡贝,F.;I志岛,M.;上波;金津;赤泽;山口;吡非尼酮联合卡铂类化疗治疗特发性肺纤维化和非小细胞肺癌患者的安全性和有效性:回顾性队列研究.Thorac.Cancer 2020,11,3317–3325.http://doi.org/10.1111/1759-7714.13675

[8].马蒂厄;沙阿;派-谢尔夫;拉金斯;瓦列霍;李,X.;罗德里格斯;米什拉-卡利亚尼;戈德堡;克鲁茨;等。FDA批准摘要:阿替利珠单抗和度伐利尤单抗联合铂类化疗治疗广泛期小细胞肺癌.肿瘤学家2021,26,433–438.http://doi.org/10.1002/onco.13752

MCC码 TML0011286-35445,项目失效日 2024-10-23

加载中...