新浪财经

健身太拼遇“腰突”? 医生提醒:这些运动很伤腰……

环球网

关注

随着人们对健康和身材的重视

越来越多人开始“卷”起来

扎进健身房

期待自己能练出

“穿衣显瘦,脱衣有肉”的好身材

但是

健身太猛

很可能还没练就突出的身材

有一样东西就先突出了

——那就是腰椎间盘

三十多岁的上班族小阳(化名)是一个健身达人,坚持健身多年的他身材不错,朋友都夸他是健身达人。但是最近小阳总觉得腰部有些疼痛感,渐渐地这种疼痛感越发加剧,甚至一躺下就像被电击了一样,彻夜难眠。

经广医三院脊柱外科检查,小阳这是典型的腰椎间盘突出症状 ,需要手术治疗。

医生提醒:健身动作不当,小心伤腰!

医学指导:

王簕 广州医科大学附属第三医院脊柱外科副主任医师

健身小伙腰“突”腿麻,彻夜难眠

“医生,我已经一个礼拜没睡好觉了,吃安眠药也没用,这该怎么办啊”,在广医三院脊柱外科门诊,小阳顶着大大的黑眼圈,显得很疲惫。

今年36岁的小阳身材健硕,据他讲述,他已坚持健身多年,从一开始由教练带着练的健身“小白”到现在已经能卧推100kg的健身达人,健身已成为小阳生活中必不可少的爱好,卧推、硬拉、深蹲对他来说已是家常便饭,他还很喜欢挑战自己,不断上难度。

可是最近半年,小阳渐渐出现了腰痛的情况。虽然症状反反复复、时好时坏,但他没有在意,仍继续坚持健身。

直到最近,小阳开始出现了右侧腿痛的情况,尤其是躺下来后,腿就像被电击一样刺痛。

这种腿麻的疼痛让小阳每晚无法入睡,吃安眠药、止痛药都没有效果,只能整夜地起来溜达放松腿部,再躺下去眯一下。每晚的“仰卧起坐”让小阳非常痛苦,扛了一周实在扛不住后,他来到医院就医。

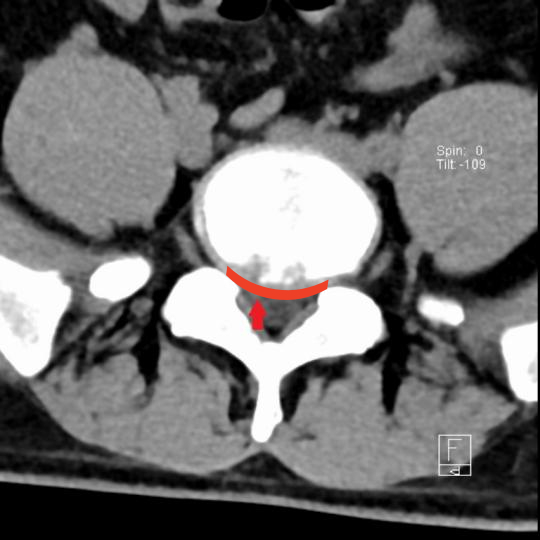
广医三院脊柱外科副主任医师王簕为小阳做了详细的检查,经CT、MRI检查后发现,小阳的腰5/骶1椎间盘膨出并偏右后方突出,右侧侧隐窝变窄,右侧神经根受压。

腰椎间盘突出症,出现以下情况需进行手术

王簕主任介绍,腰椎间盘突出症是一种比较常见的腰椎疾患。随着年龄的增长,腰椎间盘的结构会出现不同程度退变,在外力的作用下,椎间盘纤维环破裂,髓核组织就可能从破裂处突出,压迫相邻的脊神经根,产生腰部疼痛、下肢麻木疼痛的症状严重者可大小便失控甚至双下肢不完全性瘫痪。

通常情况下,大多数腰椎间盘突出症患者可首选非手术治疗。即通过消炎、减轻水肿、营养神经、改善血运的药物以及中医针灸、理疗按摩、牵引等物理方式进行康复治疗。

但是,非手术治疗并不一定能将退变突出的椎间盘组织复位,而是通过减少对消除神经根的炎症,放松肌肉,从而缓解症状。

当腰椎间盘突出症患者出现以下情况时,应考虑手术治疗:

1

合并马尾综合征。突出的髓核或脱垂、游离椎间盘组织压迫马尾神经,其主要表现为大、小便障碍,会阴和肛周感觉异常;

2

出现单根神经麻痹,伴有肌肉萎缩,下肢肌力下降;

3

规范保守治疗4-6周,但治疗无效或效果差,仍经常复发且疼痛较重者;

4

处于强迫体位者,疼痛剧烈,难以行动和入眠。

由于小阳的腰椎间盘突出已经严重影响到他的日常生活,考虑到病情与患者意愿,王簕主任为小阳实施了椎间孔镜下髓核摘除术。该手术为微创手术,仅有不到1cm的小切口,创伤较小。术后第二天,小阳便可下床活动,一周后出院。

医生提醒:运动应注意强度与方式

在日常生活中,我们的腰椎间盘在脊柱的负荷和运动中承受了比较大的压力。

搬重物是发生椎间盘突出常见原因,因此体力劳动者、长期进行体育锻炼的人是腰椎间盘突出症的高危人群。同时,由于久坐会使腰椎间盘处于高张力状态,长期坐办公室和开车的人也比较容易发生腰椎间盘突出。

王簕提醒:为了避免腰椎间盘突出症,在运动时应注意强度和方式。健身的时候应该选择正规的场所,遵循专业健身教练的建议,不要为了挑战自己而盲目地“上强度”。已患有腰椎间盘突出的患者运动时更应量力而行,出现腰痛的症状要及时调整运动方式。

除了搬重物外,以下运动也不适合腰椎间盘突出的患者:

01

爬山、快跑等弓背向前倾的姿势会导致椎间盘受力明显增加;

02

高尔夫、网球等需要扭腰挥杆、挥拍的运动会扭转和挤压椎间盘;

03

一些过度牵拉和拉伸的瑜伽姿势也可能会造成症状的反复和加重。

在众多的体育运动项目中,蛙泳是较为适合腰椎间盘突出症患者的运动。蛙泳的时候,在浮力作用下,人体可以处于“半漂浮”状态,脊柱处在规律的伸展位,对腰部的负担较小,能充分锻炼肩背部的肌肉。

加载中...