新浪财经

一家3口全部感染 有人肺部现大片炎症 紧急提醒!

市场资讯 2023.10.23 00:09

来源:中国基金报

随着儿童支原体肺炎的高发,成人支原体肺炎患者也多了起来。

据宁波晚报消息,近日,宁波市中医院感染肺病科收治了一位32岁的支原体肺炎患者。他住院的同时,家里的孩子也在住院,一家3人相继中招。

该院感染肺病科主治中医师孙鸣欢提醒,肺炎支原体具有一定的传染性,当家里有人出现发热、咳嗽等症状时,要尽早就诊,并且家人要做好防护,避免传染。

一家3人全部中招

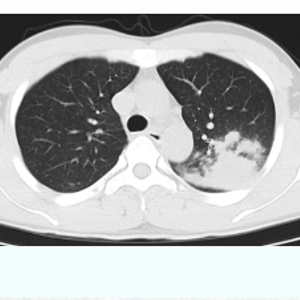
据介绍,患者是位32岁的年轻男子,发热咳嗽3天后来到宁波市中医院感染肺病科就诊。当时他的体温达到39℃,肺部CT显示左肺有大片炎症。

该患者自述,3天前出现发热,体温最高时超过了39℃,同时还有畏寒、寒战等症状。当天他就到当地卫生院就诊,做了登革热病毒等相关检测,均为阴性,只是C反应蛋白轻度升高。医生给予青霉素抗感染治疗了2天,体温下降并不明显,而且还出现了阵发性干咳,咳起来很厉害,同时还有少量黄痰。

考虑到患者肺部感染相当严重,患者当天被宁波市中医院感染肺病科收治入院进一步诊治。医生询问病史发现,几天前,该患者家里正在上小学的孩子已确诊支原体肺炎,目前还在医院住院治疗。这期间,他妻子也出现过反复发热咳嗽,但症状相对较轻,在家自行服药。

结合近期支原体肺炎多发的流行病学特点,医生考虑患者也是支原体肺炎。经相关检查,患者的血常规、降钙素原等指标提示感染严重,但他的血清支原体及衣原体抗体,以及痰培养检测,均未明确病原菌。最后做了支气管镜检查,提取肺部深部标本送检,通过病原宏基因检测,最终明确感染的是肺炎支原体。

经过中西医结合对症治疗10天后,肺部CT等检查提示,患者的肺炎较之前明显吸收,目前已好转出院。

成人患者较以往增多

据介绍,支原体肺炎是肺炎支原体感染引起的肺部炎症,可累及支气管、细支气管、肺泡和肺间质等。肺炎支原体既不是病毒也不是细菌,临床上常被归为“非典型病原体”。

孙鸣欢医生介绍说,支原体肺炎的易感人群是儿童和青少年,但最近这段时间,他们收治的成人支原体肺炎患者较以往也有明显增加。与儿童支原体肺炎一样,成人支原体肺炎也以发热、咳嗽为主要的临床表现,可伴有头痛、流涕、咽痛、耳痛等症状。咳嗽较为剧烈,阵发性干咳较为常见。

孙医生提醒说,肺炎支原体也有一定的传染性,通过近距离接触呼吸道飞沫而实现人际传播,暴露后的潜伏期约为2周到3周。感染后,虽可以长期有支原体抗体,但免疫力不会长期存在,潜伏期内至症状缓解数周均有传染性,容易在幼儿园、学校等人员密集的环境中发生传染。因此,当家里有人出现发热、咳嗽等症状时,要尽早就诊,照顾患者的家人要做好自我防护,最好戴上口罩,在家要勤通风,勤洗手。

北京疾控此前发布提醒

这两种药对支原体肺炎完全无效

北京每年8月到12月,是肺炎支原体感染的高发期,一般在每年11月左右达到高峰。北京市疾控中心近日已发布用药提醒:青霉素和头孢对肺炎支原体完全无效,首选药物为大环内酯类抗菌药物,如阿奇霉素、罗红霉素。

由于肺炎支原体没有细胞壁,大家所熟悉的青霉素和头孢,这类抗生素都是以细胞壁作为靶点,因此对肺炎支原体完全无效。大环内酯类抗菌药物,如罗红霉素、阿奇霉素,目前为肺炎支原体感染的首选治疗药物。因此,市民如果出现发热伴有剧烈咳嗽,应及时就诊,尽快查明病因,规范治疗,切忌自行盲目用药。

目前还没有预防肺炎支原体感染的疫苗。预防肺炎支原体感染,最重要的是养成良好的个人卫生习惯。

权威解答

目前已知,青霉素和头孢对肺炎支原体完全无效,那治疗肺炎支原体感染,首选药物是什么?是否会产生耐药性?什么情况下需要住院治疗?北京市卫生健康委进行了解答。

一、治疗肺炎支原体感染,首选药物是什么?

大环内酯类药物是治疗肺炎支原体感染的首选药物。常用的大环内酯类药物包括阿奇霉素、红霉素、克拉霉素等。近年来,随着大环内酯类药物在儿童呼吸道感染中的广泛应用,儿童耐药肺炎支原体感染呈上升趋势。

二、一旦出现耐药,有无替代药物?

肺炎支原体感染患者如果对大环内酯类药物出现耐药,那么有两类替代性药物。

一类是新型四环素类抗菌药物,主要包括多西环素和米诺环素。对耐药肺炎支原体肺炎有确切疗效。由于可能导致牙齿发黄和牙釉质发育不良,仅适用于8岁以上儿童。8岁以下儿童属于超说明书用药。米诺环素的作用相对较强,多西环素的安全性较高,在推荐剂量和疗程内,尚无持久牙齿黄染的报道。

另一类替代药物为喹诺酮类药物,常用的为左氧氟沙星、环丙沙星、莫西沙星等,由于存在骨骼肌腱方面的潜在风险,我国18岁以下儿童使用属超说明书用药。临床上,大环内酯类药物仍作为一线药物推荐使用,但存在耐药时,亦可根据病情选用四环素及喹诺酮类药物。

三、支原体肺炎如何治疗?是否需要住院?

首先看支原体肺炎是轻症还是重症。轻症经过大环内酯类药物如阿奇霉素、克拉霉素、红霉素治疗,一般均能控制病情,但体温正常后,咳嗽可能还会持续2周左右,胸片肺炎阴影基本均可吸收,可不复查胸片。

重症患者需要住院,通过大环内酯类药物静脉输液治疗。因我国耐药率高,之前若用过大环内酯类药物3天无效可更换为新型四环素类药物如米诺环素等,更严重的应用左氧氟沙星等药物。重者可能有混合病毒或者细菌感染,也需要加用相应的药物联合治疗

四、国产、进口阿奇霉素效果有差别吗?

目前治疗的药物基本国产化,尤其阿奇霉素,效果和国外进口基本一致。

加载中...