新浪财经

患儿进行性呼吸困难,治疗后病情好转却突然死亡!死因扑朔迷离……

市场资讯 2023.10.15 19:41

转自:医学界

警惕IgG4相关疾病受累罕见部位。

病例呈现

▌ 初次发病

患者为13岁女孩,因出现渐进性劳力性呼吸困难2月余入院。伴有咳嗽、痰中带血、夜间发烧、食欲下降和体重减轻。

CT显示明显的心包积液,心包轻度增厚,左侧胸膜基底增厚,无心包填塞。此外还有双侧肺间质增厚(实变)斑片状区域和磨玻璃样覆盖[1]。立即行治疗性心包穿刺术显示纤维蛋白性渗出液,伴白细胞增多、主要是多形核淋巴细胞和丰富的淋巴浆细胞,其细菌培养和药敏实验均为阴性。

实验室检查:全血细胞计数(CBC)正常,红细胞沉降率(ESR)和C反应蛋白(CRP)升高,除低蛋白血症表现外,余肝功能正常,肾功能正常,结核菌素测试(-),血培养(-),敏感性、抗核抗体、类风湿因子和病毒学(-)、补体3、4正常、甲状腺谱正常、呼吸道病毒和细菌检查结果呈(-)。经过经验性抗生素和短期类固醇治疗,并出院回家。

▌ 2个月后再次发病

患者因呼吸短促、咯血、发烧和体重减轻再次入院。出现端坐呼吸、呼吸急促、发热(体温;38.5-39°C)和心动过速,无奇脉。颈部静脉充血且无搏动。心脏检查显示心脏裸露区域浊度增加,心音遥远,无杂音或心包摩擦音。胸部听诊双侧可见散在的爆裂音和哮鸣音。无下肢水肿、肝肿大或淋巴结肿大。除正细胞性贫血外,包括诊断性心包穿刺术和胸部 CT(图 1)在内的检查与初次入院时相似,伴有心包积液,心包粘连等。

此外,三份清晨痰样本的 Ziehl-Neelsen(ZN)染色、干扰素-伽玛释放测定(IGRA)测试和痰培养结果均为阴性。该患者再次接受经验性万古霉素和头孢曲松治疗,病情有所好转。

鉴别诊断与诊断流程

为何患者会反复出现呼吸困难、端坐呼吸、心包积液等症状和体征表现?可从累及器官角度考虑:

肺部疾病[2]

肺腺癌:主要临床表现与体征为咳嗽、咯血、胸痛、局部喘鸣等。一般CT可见肿物病灶阴影。患者虽然出现了咳嗽、咯血症状,但CT结果并未发现肿物病灶,仅可见支气管征表现。故排除该恶性肿瘤诊断。

炎性肌成纤维细胞瘤:临床症状多由肿块本身及其压迫周围脏器引起,故经验性抗生素治疗不能缓解症状,并且该患者影像学检查并未发现肿物,故排除诊断。

特发性间质性肺炎:为一组疾病总称,CT表现呈渐进性加重,最终诊断依赖于病理。该患者两次发作入院肺部CT并未有明显差异,且未作病理,故诊断存疑,需进一步诊断。

心脏疾病

心力衰竭:左心衰竭以劳力性呼吸困难、端坐呼吸、咯粉红色泡沫痰为主,可有发绀表现。因第一次抗生素治疗后明显好转,且未见发绀等常见缺氧表现,表明目前考虑心衰欠妥。

心包积液:是由心脏本身或其他原因导致的心包分泌液体过多,积聚形成的临床表现。应具体查明病因来源进一步诊断和治疗。

综上,暂不能排除肺部相关炎症性疾病以及心包积液引起的原因,需进一步查找临床诊断依据。由于患者心包广泛粘连,主管医生建议进行心包切开术,吸出包封的心包液体,有利于缓解症状同时辅助诊断(活检)。

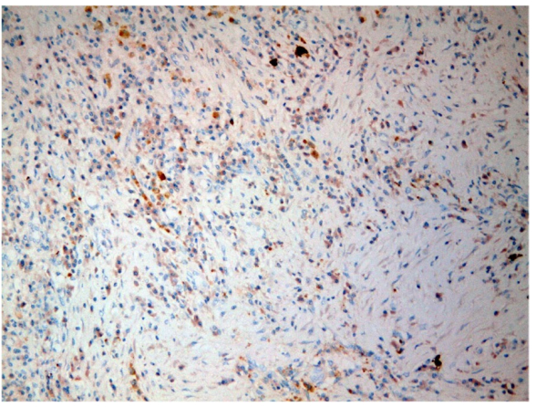
心包病理学(图2和图3)显示明显的席纹状纤维化和过量的淋巴浆细胞浸润,且免疫组织化学显示IgG4阳性浆细胞数量增加。

血清结果

血清 IgG:2600mg/dl(700-1600)。

血清 IgG4:168mg/dl(40-120),(value for IgG4-RD>135mg/dl)。

血清 IgG4/total IgG:0.064(cut of value for IgG4-RD>0.08)。

最终该患者被诊断为患有IgG4相关疾病(IgG4-RD),且影响心包和肺部。开始服用0.6mg/kg泼尼松+2.5mg/kg硫唑嘌呤。两周后,患者明显恢复,可完成日常的体力活动。三个月后,心包/胸腔积液未复发,血红蛋白、ESR和CRP恢复正常。然而肺部病变持续存在,改用吗替麦考酚酯(MMF),并讨论了使用利妥昔单抗治疗的方案。

可疾病的发展往往出人意料,患者两年后症状再度加重、急转直下直至死亡。经过治疗明明病情已经缓解,究竟又为何夺走了花季少女的生命?

参考文献:

[1]. Saad MA, Ahmed H, Elgohary R, El Gendy HI: IgG4 related pericardium and lung disease in pediatric patient complicated with fatal massive hemoptysis: a case report and review of literature. Pediatric Rheumatology 2023, 21(1).

[2]. Kamisawa T, Zen Y, Pillai S, Stone JH: IgG4-related disease. The Lancet 2015, 385(9976):1460-1471.

加载中...