一种会让牙齿掉光的病,很多人年轻时不重视
昆明信息港
关于牙齿健康,世界卫生组织曾提出过一个“8020”概念,指 80 岁的老年人至少应该存留 20 个健康可以使用的天然牙。这样才能拥有牙齿本该有的咀嚼功能,而良好的咀嚼又带来良好的营养吸收,让身体更健康。
然而很多年轻人,缺失的牙齿已经超过了 3~4 颗,剩下的不少牙齿也摇摇欲坠(很可能不得不拔除)。
我们知道正常人总共 28~32 个牙齿,要是不算上智齿,满打满算 28 个牙齿。可预计的是,这样的口腔状况,如果再不好好保护,8020 计划将很难达成。
而牙周炎,正是让我们的牙齿容易脱落的罪魁祸首!根据一项流行病学调查,35 岁~44 岁的成年人中,牙周炎的发病超过 3 成,55 岁~64 岁的成年人中这个比例接近 8 成!
这种病很多人年轻的时候不重视,等到掉牙了再开始重视,却为时已晚。今天,我们来详细聊聊牙周炎。
图源:unsplash.com 摄影师:polekhina
牙周和牙周炎是什么?
“牙周”,顾名思义就是牙齿周围的意思。牙齿长在我们的上下颌的牙槽骨中,但是仅仅如此还不够,在牙齿和骨头中间还有一层连接装置,它就像一根根「缆绳」连接着牙齿和骨头——我们称之为牙周膜,或者牙周韧带。
在牙齿周围,牙龈、牙周膜、牙槽骨和牙骨质,合称为牙周支持组织,它们的健康存在,才让我们的牙齿牢牢附着。
图源:UTD
但这些牙槽骨、牙周膜、牙龈被感染发生炎症的时候,就可能导致牙周炎。
那么,牙周炎是怎么发生的呢?
跟蛀牙、牙髓炎这些病情发展会很快导致牙齿疼痛的病不一样,更多的时候,牙周炎的发展开始的时候非常缓慢,就像温水煮青蛙,没有特别明显的急性症状,这也是很多年轻人在疾病刚刚开始的时候并不在意的原因。
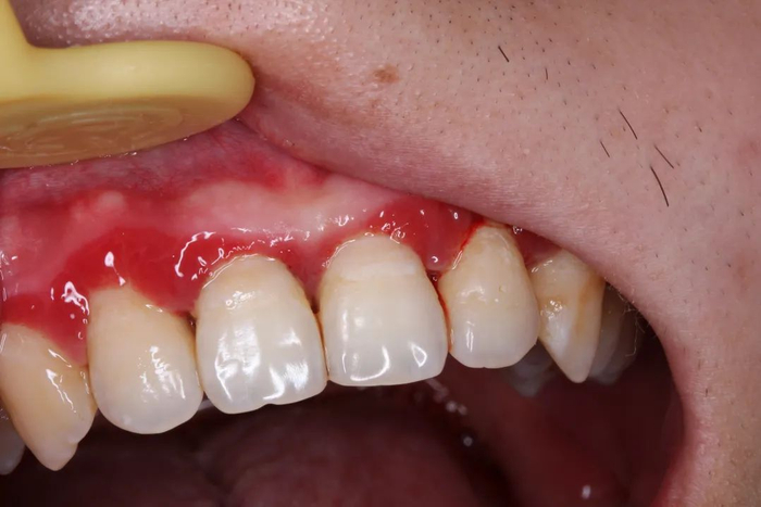
一开始出现的症状大概率是:牙龈有点发红、刷牙的时候有点出血,或者啃一口苹果后发现留下了一圈血印子。
刚开始,仅仅是出现牙龈红肿及出血,并不一定导致疼痛,图源:作者提供
慢慢地,你不在意,牙龈只是有点退缩,然后牙齿缝慢慢显露出来,露出难看的「黑三角」。
由于牙龈退缩,牙齿之间形成了「黑三角」,此时要治疗和改善已经非常困难,
再后来(可能又过了好多年、数十年),你可能突然会觉得有几个牙齿有点松动、嚼东西已经没那么有力了,时不时还有咸咸涩涩的脓液流出来。
——这时候,有的人可能会出现疼痛,但也有的不会。
大量牙结石,导致牙齿松动移位,
再再后来,牙齿不仅仅松动了,它们可能还开始移动位置了——牙齿和牙齿之间的缝隙越来越大。而之前松动的牙齿开始摇摇晃晃,有的还会出现牙齿的疼痛!
这时候再不看牙,光想着吃点药止一下痛,其实已经开始无济于事了。牙根开始暴露出来,牙齿的松动越来越严重。
直到某一天,这个摇摇欲坠的牙齿寿终正寝,正式离开口腔,光荣殉职。
随着牙周炎的进展,病变越来越深入牙龈深处,图源:CARRANZA’S CLINICAL PERIODONTOLOGY, 12TH EDITION
牙周炎该怎么治?
牙周炎的治疗大致分以下 5 种:
1
洗牙
洗牙是一种很通俗的说法,其中最主要的步骤即所谓的“龈上洁治”。现在普遍使用“超声波”洁治工具来清洁牙齿周围的牙结石——这些牙结石和它周围的牙菌斑从某种意义上说正是导致牙周炎的病因。
洗牙是牙周治疗最基础的操作,图源:孟焕新. 牙周病学(第5版). 北京: 人民卫生出版社. 2020
此外,牙结石无时无刻不在形成,它是人类无论使用什么清洁方法都无法阻止的。但是好在牙结石的形成没有那么快,也不会一形成就给我们造成不可逆转的伤害,所以我们只要及时清除越来越多的牙结石,就可以起到预防牙周炎的作用。洗牙的频率要根据牙结石的形成速度,通常一年左右洗一次。
2
刮治
牙周刮治,或者也称作龈下刮治、根面平整,这项治疗主要针对的还是牙结石。只不过这些牙结石存在的位置比较隐蔽,它们大量聚集在牙龈深处,仅仅通过前面所说的“洗牙”很难彻底清洁。
这就需要更加小巧的工具来对它们做清洁,这项治疗也会相对更“疼”,一般会在局部麻醉下进行。不过,放心,只是看着疼痛,完善地麻醉后,在克服“心理上”的恐惧之后,大多数人还是可以接受的。
龈下刮治的目的是清除潜藏在牙龈深处的牙结石,
3
牙周手术
当局部刺激物处在更深处,单靠洗牙、刮治等基础治疗都无法解决全部问题,那我们还有办法,这就是手术。
牙周手术有很多类型,包括切除、重建、再生、成形及美学修复。通俗点说,就是把覆盖在牙齿周围的牙龈剥离下来,在直视下彻底清除牙齿周围的牙结石,最后才把牙龈缝合回去。但是又不是简单地缝合回去,因为我们要保证未来这个位置可以更容易被清洁,不利于新的牙结石过多堆积,并且也要有美观的意识。
4
药物
其实药物治疗牙周炎并不是首要的治疗方案,诸如甲硝唑、奥硝唑一类的抗菌药物在急性期炎症的治疗中起到辅助作用,但是仅仅只是对抗缓解一下急性炎症。然而许多缺乏口腔卫生知识的人,往往把吃药当作首选项。
另外,药物在牙周炎治疗中的作用,经常不是吃的——漱口是常见的药物使用方法,另外一种则是把药物塞在牙齿周围的沟里,局部发挥抗菌作用。
5
调磨、固定和拔牙
牙周炎经常伴随着牙齿的松动、移位,而移位的牙齿也会造成咬合关系的紊乱,更容易加重牙周炎的症状。因此,医生也会对于移位的牙齿进行调磨,最后,对于那些因为牙周炎而松动的牙齿,可以考虑牙周夹板进行固定;但也有一些实在留不住的牙齿(看上去一碰就掉的那种),就拔掉吧——没错,拔牙也是一种“治疗”!
拔掉之后还可以通过镶假牙(活动的或者固定的)、种植牙等方式来补齐缺失的位置;而勉强留着不拔,反而会让旁边的牙齿受伤,长痛不如短痛。
保护牙周和保护牙齿一样重要!
老生常谈:刷牙和牙线的使用永远都比医生的“治疗”管用!
为了预防牙周炎的发生,也为了挽救松动的牙齿,最好的预防就是做好平时的口腔卫生工作,其中最重要的就只有两件事:刷牙和使用牙线。
每天两次正确规范地刷牙(使用巴氏刷牙法,每次至少刷 2 分钟以上)、至少一次使用牙线清洁每一个牙缝。看上去简简单单两个动作,做起来其实很“费时”,所以真正能够完美完成任务的却少之又少,这也就是我们依然有着大量的牙周炎病人的原因。
图源:unsplash.com 摄影师:Diana Polekhina
如果很不幸,你已经是牙周炎的患者了,或者已经因为牙周炎已经出现了比较宽大的牙缝,这时候光用牙线清理牙齿缝隙可能效率比较低,这时候动用牙邻间刷,或者也叫牙缝刷、冲牙器都可以大大增加清洁效率。
如果说一年来自己还没有去洗过牙,那作为牙医现在就给你一个建议,不如现在就出发,找到最近的口腔医院或者牙科诊所,给自己来一次彻底的口腔检查吧!
策划制作
作者丨何剑亮 浙江大学医学院附属第二医院 综合牙科 主治医师
审核丨唐芹 中华医学会科学普及部主任 研究员
策划丨林林
责编丨林林