新浪财经

高泌乳素血症,垂体MRI却正常,主任提问:应该怎么治?

市场资讯 2023.09.30 18:54

转自:医学界

高PRL患者垂体MRI正常该怎么办?

撰文丨徐乃佳

各种原因引起的外周血泌乳素(prolactin,PRL)水平持续增高的状态称为高PRL血症。临床上,对于确诊为病理性的高PRL血症患者,都会想到去做垂体MRI。但是,如果这个患者的垂体MRI正常,你会怎么办?

这期的主任查房,我们来聊一聊这个病例……

病例速递

基本资:患者女,28岁,职员,已婚。

主诉:因“发现血泌乳素升高3天”入院。

现病史:患者3天前在外院常规体检,发现血泌乳素升高,高达147 ng/ml (正常范围2.5-15 ng/ml;免疫荧光法)。患者12岁月经初潮,月经周期规律,至今无月经紊乱,无泌乳、头痛、视力改变,性欲正常,备孕中

既往史:既往体健。未服用任何特殊药物

体格检查:精神可,神志清楚,营养良好,体型肥胖,体重74kg,身高165cm,BMI 27.18kg/㎡,毛发分布正常,心肺腹未及异常,双下肢不肿,神经系统未见异常。

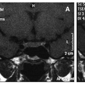
辅助检查:外院血常规、粪常规未见异常,肝肾功能、血糖正常,性激素全套血泌乳素147ng/ml (正常范围2.5-15ng/ml;免疫荧光法),余正常。腹部超声示轻度脂肪肝,子宫附件超声未见异常。垂体MRI平扫/增强未见异常(图1)

主任查房

Q1

该患者应考虑什么初步诊断?

A1:患者初步诊断考虑高PRL血症、脂肪肝。

Q2

能否简单概述一下PRL的生理学特征?

A2:清PRL由垂体前叶PRL分泌细胞合成及分泌。中枢神经系统下丘脑通过PRL抑制因子(PIF)和PRL释放因子(PRF)对PRL起双向调节作用,以PIF占优势。下丘脑弓状核结节漏斗多巴胺系统合成分泌多巴胺,经轴突达正中隆起,由垂体门脉系统输送到垂体前叶PRL细胞,结合D2受体,是最主要的生理性PIF。促甲状腺激素释放激素(TRH)、促性腺激素释放激素(GnRH)等属于PRF。有PRL在雌激素、孕激素、皮质醇、胎盘催乳素等激素的协同作用下促进乳腺腺泡小叶生长发育、乳汁生成及产后乳汁分泌。

Q3

作为激素,PRL的分泌受到哪些因素影响?

A3:垂体PRL分泌有脉冲波动,频率约90分钟1次,受睡眠、进餐、应激等生理因素影响。入睡后60~90分钟血PRL水平开始上升,早晨醒前达峰值,醒后1小时内迅速下降,上午9~11时进入低谷;进餐30分钟内PRL分泌增加 50%~100%,尤其是进餐高蛋白高脂饮食;应激状态如情绪紧张、寒冷、麻醉、手术、低血糖、性生活、运动时PRL分泌有即时短暂性升高。月经周期中期、黄体期及妊娠期血PRL水平也明显升高。

参考文献:

[1]中华医学会妇产科学分会内分泌学组. 女性高催乳素血症诊治共识[J]. 中华妇产科杂志, 2016, 51(003):161-168.

[2]中国垂体腺瘤协作组. 中国垂体催乳素腺瘤诊治共识(2014版)[J]. 中华医学杂志, 2014, 000(031):2406-2411.

[3]Andrea G , Bronstein M D. Approach to the patient with persistent hyperprolactinemia and negative sellar imaging.[J]. The Journal of Clinical Endocrinology and Metabolism, 2012, 97(7):2211-2216.

[4]Clémence Delcour, Robin G , Young J , et al. PCOS and Hyperprolactinemia: what do we know in 2019?[J]. Clinical Medicine Insights: Reproductive Health, 2019, 13:117955811987192.

[5]王霞, 刘金玲, 高硕. 巨泌乳素干扰高泌乳素血症诊断的临床研究[J]. 天津医科大学学报, 2009(04):639-641.

责任编辑|孔敏航

加载中...