新浪财经

2个差点误诊的病例,别再和强直混淆了!

市场资讯 2023.09.26 18:52

转自:医学界

别总把腰背痛和强直性脊柱炎划等号

强直性脊柱炎(AS)是一种慢性炎症性的,以腰背痛、骶髂关节炎为特征,同时有外周关节、肌腱附着点受累为特点的自身免疫性疾病,是脊柱关节炎(SpA)这类疾病中的经典代表。AS有明显的家族聚集现象,并与HLA-B27密切相关。AS最终导致关节畸形、功能丧失,严重影响患者的生活和工作能力。

该病具有患病率高、病程长、致残率高等特点,不仅侵犯骶髂关节、脊柱等中轴关节及外周关节,而且可累及多种组织和器官。因其发病机制迄今未明,尚无根治办法。疾病与残疾不仅给患者本人带来身心痛苦,也给其家庭和社会带来沉重的经济和社会负担。早期诊断对于AS患者而言非常重要,今天,就让我们走进两则AS临床误诊病例,更深入地了解AS~

牢记诊断标准,助力你练就“火眼金睛”

想要在众多疾病中清楚地辨别AS,首先需要了解AS是如何诊断的。目前临床上应用较多的仍然是1984年纽约标准,即:

  • 下腰痛:至少持续3个月,活动后减轻,休息后不缓解;

  • 腰椎活动受限;

  • 扩胸度减少;

  • 双侧骶髂关节炎2~4级,单侧3~4级(X线)

肯定AS:骶髂关节炎加上3项临床标准中的一项。

但该标准特异性强而敏感性差(AS患者在疾病早期可能只出现腰背痛的症状,并没有放射学的改变),因此,没有出现放射学改变的患者可能无法得到及时的诊治,导致患者从出现症状到确诊会延误5~10年的时间。此后又陆续有新的诊断标准,但由于其灵敏性和特异性不够,并没有在临床上得到广泛的应用。

2009年ASAS提出新的中轴型脊柱关节炎分类标准,重视对SpA的早期分类诊断,包含AS在内的中轴型SpA是一类疾病的归类,并不是某种单一疾病的确定诊断。该标准适用于45岁以下,腰背痛≥3个月的患者。

其中,AS最有特征的表现为炎性腰背痛、骶髂关节炎、脊柱强直。其他表现还有以下这些:

  • 附着点炎;

  • 眼部受累:结膜炎、葡萄膜炎;

  • 外周关节炎;

  • 前胸壁炎症:胸骨柄关节、胸锁关节、肋胸关节炎;

  • 晨僵:晨起醒后腰背部僵硬不适,活动后可缓解,持续时间与病情轻重相关,轻者数分钟可缓解,重者长达数小时或全天;

  • 交替性臀区疼痛;

  • 足跟痛。

误诊病例1——炎性背痛就是AS?

病例简介

青年女性,31岁,因“腰骶部疼痛7月”入院。

主要表现为骶髂部疼痛,无晨僵,活动后无减轻,曾就诊于当地多家医院,行按摩等治疗,上述症状无好转。自服非甾体抗炎药,症状稍减轻。既往反复盆腔炎、盆腔积液病史。

查体:神清语利,全身无皮疹及浅表淋巴结肿大,律齐,各瓣膜听诊区未闻及杂音,双肺呼吸音清,未闻及干湿啰音,右下腹轻压痛及反跳痛。腰1骶1椎骨压痛明显,双侧“4”字试验阳性指地距3cm,枕墙距0cm,schober试验阴性

实验室检查:血沉27mm/h,C反应蛋白20.7mg/L,HLA-B27阴性。免疫球蛋白IgG、IgA、IgM、补体C3、补体C4,类风湿因子,抗链“O”,自身抗体检验、抗核抗体(ANA)2项,抗角蛋白抗体,抗磷脂抗体均阴性。 

尿常规:尿比重(SG)1.012,尿细菌培养阳性。血常规、大便常规、血生化未见明显异常。

超声:脂肪肝,胆、胰、脾、双肾未见明显异常;子宫、卵巢及双附件未见明显异常。

髋关节MRI平扫未见明显异常,腰椎MRI示:腰5骶1椎间盘膨出

全身骨扫描:

1、锥体、四肢关节区骨盐代谢欠均匀,轻度增浓,建议结合临床并随访;2、全身余诸骨盐代谢未见明显异常。 

骶髂关节CT示:骶髂关节近关节区域硬化,关节边缘清晰,无关节间隙变窄。 

患者的炎性指标升高,并且有持续的腰骶部疼痛,确实很有迷惑性,让人禁不住和AS联系起来。但CT结果一出来,瞬间就可以把AS排除了。这是为啥?这就得来了解AS患者骶髂关节的CT表现了!

表1:AS患者骶髂关节CT表现分级

这样一看,该名患者的CT关节边缘清晰,无关节间隙变窄,显然并不符合AS特征性的骶髂关节改变。最终,患者被诊断为致密性骨炎,在接受塞来昔布、局部理疗等治疗后得到明显缓解。

小贴士:

致密性骨炎是一种原因不明,妊娠生产后女性易患的良性下腰痛。有学者考虑与妊娠子宫压迫腹主动脉引起髂骨下部缺血相关。

特点:放射学主要表现靠近骶髂关节面的髂骨耳状部骨质密度增高,呈均匀、浓白、边缘清晰三角形的骨质致密带,骶髂关节间隙清晰整齐,无骨质破坏。血沉等炎性指标多数情况下不升高,骨显像正常。多数学者认为致密性骨炎是非炎症性改变。

误诊病例2——这种“老年病”也来碰瓷AS?

病例简介

男,62岁,主因“腰背部疼痛1月”就诊。

1月前患者无明显诱因出现腰背部疼痛,晨起明显,活动后减轻,外院行腰椎X线检查示腰2-3锥体右侧肥大骨桥形成,考虑AS,建议风湿科就诊。

实验室检查:血常规、肝肾功能、血沉、C反应蛋白正常。尿常规正常。

骶髂关节CT检查未见明显异常。

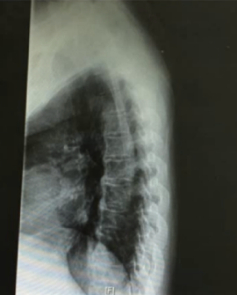
胸椎X线检查:多个胸椎只有右侧缘肥大骨赘骨桥形成

相对而言,这个病例倒是比前者“实诚”很多,虽然患者有腰背部疼痛的症状,但是检查结果既没有炎性指标的升骶髂关节也无明显异常,唯一特别的是患者胸椎的X线改变。

练一练

但诊断其实也没那么难,从患者的侧位X线可以看出其并不是AS特征性的骨桥形成(即接近垂直状态),正位X线中也可以看出其并非是对称性的竹节样改变,该名患者的多个胸椎只有右侧缘肥大骨赘骨桥形成。

小伙伴们,你们能判断出该位患者究竟是何种诊断吗?

加载中...