新浪财经

广西一女子患乳腺癌,后转移到脑、肝……绝望之际,转机出现了!

南国早报

关注

对于癌症患者来说,抗癌的过程本就万分艰辛,无奈,还要面临复发、转移等风险。很多患者提心吊胆、担心焦虑,好不容易松一口气的时候,又遭遇当头一棒。

PART1

刚对付完乳腺癌,又战脑干转移瘤

2018年2月,46岁的莫女士被诊断为乳腺癌。两年间,她积极治疗,经历了化疗、手术、靶向治疗、放疗等治疗后,病情得到了很好的控制。正当她认为自己的生活即将回到正轨时,命运又和她开了一个巨大的玩笑。

今年年初,莫女士发现自己的左侧肢体“不太对劲”,左侧手脚不听使唤了。到医院一查,发现肿瘤细胞转移到脑干,直径达3cm,像个小鸡蛋一样。

脑干掌管着人的呼吸、心跳等生命体征,是生命的中枢,也被称为“医学禁区”。莫女士脑干上的转移瘤,像一个颅内的“炸弹”,时刻威胁着她的生命。她和家人辗转区内外多家医院,得到的答复都是无能为力,不敢对“医学禁区”里的病灶动手。更有人劝莫女士回家“吃好的、喝好的,说不定这病就随风而去了”。

 “随风”是不可能的,莫女士的病情变得越来越严重,甚至出现了视物模糊的症状。绝望之际,有人告诉她广西中医药大学附属瑞康医院(以下简称瑞康医院)有一台治疗恶性肿瘤的先进仪器——射波刀,不用手术和化疗就能治肿瘤抱着一线希望,莫女士住进瑞康医院肿瘤科一区。

PART2

长在“医学禁区”的肿瘤也能治?

入院后,瑞康医院肿瘤科一区练祖平主任根据莫女士近期检查结果,全面评估了她的病情,建议使用射波刀治疗脑干的转移瘤。

当时,莫女士与家人对此将信将疑:其他医院的专家说过,放疗的风险很大,怎么能做射波刀放疗呢?

练祖平向他们详细介绍了射波刀的工作原理和优势——

射波刀立体定向放疗是一种高精度放疗方式,能保护周围正常组织器官的同时聚焦杀灭肿瘤病灶。

鉴于莫女士的病情危急,医疗团队快速制定了射波刀放疗计划并开始治疗。

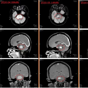
2020年4月13日,莫女士第1次射波刀治疗结束后,左手力量有了改善;完成了5次射波刀治疗后,左手已经能持物,能自己借助拐杖行走,症状较前已大为缓解。

治疗1个月后,返院复查头颅MRI时,莫女士的脑干病灶已经缩小了一大半,症状已基本消失,能够生活自理了。

2020年7月,莫女士第2次复查时,脑干的病灶几乎完全消失

从确诊到如今已过去了5年,其间,莫女士还出现过肝转移,也在经过射波刀治疗后病情得到缓解。目前的莫女士状态良好,生活正常。

练祖平介绍:

癌症发现得越早,治疗效果就越好,一旦发展到晚期很难治愈。因此,对癌症要做到“早发现、早诊断、早治疗”。癌症的早期症状往往都不明显,而是与诸多疾病有相同之处,如何从“蛛丝马迹”中捉住癌症,还需要大家留心,尽早检查及时诊断。

加载中...