新浪财经

BRAF突变肺癌合并重度抑郁,达拉非尼+曲美替尼一线治疗让患者重获生命之光

市场资讯 2023.09.16 19:54

转自:医学界

*仅供医学专业人士阅读参考

达拉非尼+曲美替尼,开启BRAF突变肺癌诊疗新篇章。

BRAF突变在非小细胞肺癌(NSCLC)中的发生率为1.5%~3.5%,而BRAF V600约占所有BRAF突变的50%。BRAF V600突变NSCLC患者的预后差,总生存期(OS)较短。在此类患者的药物治疗方面,目前化疗和免疫治疗的临床获益并不理想,而近年来靶向治疗的应用,为BRAF突变肺癌患者带来了新的希望[1]。本期“少靶实战荟”分享一例BRAF V600E突变肺癌伴多发转移患者的全程诊疗经过。

该例患者初诊为原发性肺癌伴多发转移,并且罹患重度抑郁症,入院时ECOG PS 2分,肝功能异常。经保肝等对症治疗后,肝功能明显改善。接受达拉非尼+曲美替尼一线治疗后,ECOG PS评分降至0分,腹部病灶疗效评估为部分缓解(PR),肺部病灶疗效评估为完全缓解(CR),至最后一次随访无进展生存期(PFS)约8个月,仍在持续获益中。该病例由内蒙古自治区人民医院果然教授提供,并邀请包头市肿瘤医院王丽萍教授进行点评。

病例简介

1

基本情况

基本信息:患者女性,70岁。

主诉:查体发现肺肿物及肝多发占位2周。

现病史:体检行胸部CT显示,右肺占位性病变伴双肺转移瘤,左侧胸膜、右侧第2肋骨转移瘤可能性大,肝内多发转移瘤。腹部彩超显示,肝内多发实性结节,肝囊肿,胆总管、胰、脾、双肾未见异常。为进一步诊治,2022年7月就诊于本院,入院时患者ECOG PS 2分。

既往史:患者曾因长期夜间无法入睡就诊于省级精神卫生中心,诊断为抑郁症。

入院辅助检查:

  • CT检查:肝内多发转移瘤;肝S2段低密度结节;右侧心隔角、肠系膜区、腹膜后多发肿大淋巴结,考虑转移;回盲部肠系膜区不规则查软组织结节。

  • 头颅增强MRI+DWI检查:脑白质病变Fazekas1级,脑实质增强MRI未见明显异常强化。

  • 血液肿瘤标志物:癌胚抗原(CEA) 11.47ng/ml,糖类抗原125(CA125)137.50U/mL,糖类抗原153(CA153)24.08U/mL,细胞角蛋白19片段(Cyf-211)261.90ng/ml,神经元特异性烯醇化醇(NSE)73.71ng/ml。

  • 实验室检查:白蛋白33.35g/L,谷氨酰基转移酶514.11U/L,直接胆红素11.2μmol/L,碱性磷酸酶359.7U/L,乳酸脱氢酶1177U/L,胆碱酯酶4.28KU/L,总胆汁酸18.36μmol/L。

  • 基因检测:因严重的精神症状及体质虚弱,无法配合及耐受进一步的有创检查(包括肠镜及气管镜肺穿刺),只能行外周血的血液二代测序(NGS)检测。检测提示:BRAF V600突变。

  • 临床诊断:原发性肺癌伴多发转移(肝多发转移瘤),抑郁症,肝功能异常。

2

治疗经过

1.对症治疗后,症状改善

患者入院后体质差,伴有周身疼痛,予以对症止疼治疗。患者白细胞高伴有发热,予以对症抗感染、对症支持治疗后好转。

2.达拉非尼+曲美替尼一线治疗,肺部病灶CR,腹部病灶PR

患者重度抑郁,无法耐受进一步有创诊断,与家属协商后给予口服靶向药物达拉非尼(150mg每日两次)+曲美替尼(2mg每日一次),定期随诊。

2023年4月,因老人患有流感导致食欲差,当地治疗效果不佳遂来本院进一步诊疗。达拉非尼+曲美替尼治疗前后的实验室检查结果、肿瘤标志物变化如图1、图2所示。

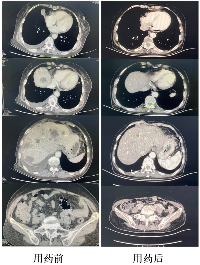
2023年4月,腹部增强CT复查结果显示:考虑肝内多发转移瘤,与本院2022年8月19日CT对比较前减少、部分减少,部分增大。肝S4段低密度结节,较前无明显变化。右侧心隔角、肠系膜区、腹膜后多发肿大淋巴结,考虑转移。回盲部肠系膜区不规侧软组织结节,考虑转移,较前减少。疗效评估为PR。

2023年4月,肺部CT复查结果显示:双肺多发微小结节,部分磨玻璃密度,细支气管炎,支气管炎性改变。疗效评估为CR。

患者经保肝等对症治疗后,肝功能明显改善,食欲恢复,一般状态良好,ECOG PS 0分。靶向治疗后整体治疗效果评估为PR。患者无不适症状,医嘱继续口服达拉非尼+曲美替尼及保肝药,出院定期复查。

专家点评

王丽萍教授:联用BRAF和MEK抑制剂已成BRAF V600突变NSCLC患者标准治疗方案

随着精准医疗和基因检测技术的发展,越来越多的基因被发现与NSCLC相关,其中BRAF是NSCLC的一个重要驱动基因。BRAF突变是晚期NSCLC患者的不良预后因子之一,且BRAF突变NSCLC患者接受常规化疗或免疫治疗的临床获益有限。为推动BRAF突变NSCLC的规范化管理和诊疗,近日中国抗癌协会肺癌专业委员会发布了《中国晚期非小细胞肺癌BRAF突变诊疗专家共识》,针对BRAF突变NSCLC的临床评估、诊疗流程、合理用药、不良反应管理等给出了详细建议[1]

精准检查是精准治疗的前提。目前,国内外权威指南和共识均推荐优先选择组织标本用于检测BRAF基因突变。肺癌肿瘤组织检测标本通常来源于手术、CT引导下肺穿刺、胸腔镜、纤维支气管镜、超声支气管镜和淋巴结穿刺活检等。当组织检测无法实现时,可考虑采用液体活检对BRAF基因突变进行检测。其中血液检测是临床上最常见的液体活检。血液或脑脊液的液体活检对比组织标本往往灵敏度较低,但液体活检能够克服肿瘤组织瘤内异质性,有利于肿瘤治疗过程中基因状态的动态监测[1]本例患者因严重的精神症状及体质虚弱,无法行组织检查,因此进行了血液NGS检测,并检测出BRAF突变。

达拉非尼和曲美替尼的联合可通过增加caspase3/7活性导致癌细胞生长抑制。而且,与单一疗法相比,组合疗法增强了ERK抑制。这些结果表明,BRAF抑制剂联合MEK抑制剂双靶治疗可能是克服BRAF突变NSCLC治疗耐药性的有效途径。

达拉非尼联合曲美替尼治疗的优异疗效也在多个临床试验中得到了进一步验证。全球注册研究BRF113928结果[2]显示,达拉非尼+曲美替尼一线治疗BRAF V600突变晚期NSCLC患者的客观缓解率(ORR)为64%,中位PFS为14.6个月,中位总生存期(OS)达24.6个月;后线治疗的ORR为63.2%,中位PFS为10.2个月,中位OS为18.2个月。另一项达拉非尼联合曲美替尼的中国注册临床研究提示研究结果[3]显示,不论初治还是经治的BRAF V600突变中国NSCLC患者,达拉非尼+曲美替尼均显示出显著的临床疗效,独立评审委员会(IRC)评估的ORR高达75%,疾病控制率(DCR)达到95%。

一项来自Flatiron数据库的大样本真实世界回顾分析也验证了达拉非尼联合曲美替尼治疗BRAF突变NSCLC患者的长生存获益。该研究显示,接受达拉非尼联合曲美替尼双靶治疗 后患者OS达到29.3个月,相比免疫检查点抑制剂(ICI)联合含铂双药化疗(OS为17.7个月)、ICI单药治疗(OS为10.9个月)或含铂双药化疗(OS为9.7个月)均有显著延长[4]

上述病例的治疗过程也印证了达拉非尼+曲美替尼在初治BRAF V600突变NSCLC患者中的疗效和安全性。该例患者罹患严重的精神疾病,体质虚弱,初诊时存在周身疼痛、发热,在止疼、抗感染等对症治疗后症状改善。经达拉非尼+曲美替尼一线治疗后,肿瘤标志物水平下降,ECOG PS评分下降,腹部病灶疗效评估为PR,肺部病灶疗效评估为CR,患者无不适症状,至今PFS约8个月,并且继续口服达拉非尼+曲美替尼。期待在后续的随访过程中,该例患者能从双靶治疗方案中持续获益,实现长期生存。

在最近更新的2023版中国临床肿瘤学会(CSCO)NSCLC诊疗指南中,达拉非尼+曲美替尼一线治疗BRAF V600突变NSCLC由Ⅱ级推荐上调至Ⅰ级推荐[5]。而且,随着达拉非尼+曲美替尼纳入医保,可及性进一步提高,有望为国内更多BRAF V600突变晚期NSCLC带来更长生存的机会。

病例点评专家简介

王丽萍 教授

  • 包头市肿瘤医院  肿瘤内科(姑息病区) 主任

  • CSCO黑色素瘤专家委员会委员

  • CSCO尿路上皮癌专家委员会委员

  • CSCO罕见肿瘤专家委员会委员

  • 北京癌症防治学会肺癌免疫治疗专业委员会常委

  • 北京癌症防治学会免疫治疗不良事件管理专业委员会委员

  • 北京医学奖励基金会肺癌青委会委员

  • 中国老年学和老年医学学会精准医疗分会委员

  • PMOC青委会委员

  • 中国医药教育协会肺部肿瘤专业委员会委员、化疗专业委员会委员

  • 内蒙古医学会化疗专业委员会常委

  • 内蒙古医学会肿瘤内科分会常委

  • 内蒙古医师协会肿瘤内科分会常委

  • 内蒙古医师协会胸部肿瘤专业委员会常委

  • 内蒙古抗癌协会化疗专业委员会常委

  • 内蒙古抗癌协会肿瘤姑息治疗委员会常委

  • 内蒙古抗癌协会肿瘤生物免疫治疗专委会常委

病例提供专家简介

果然 教授

  • 内蒙古自治区人民医院胸部肿瘤外科 主任医师 肿瘤学博士

  • 内蒙古医师协会肿瘤外科分会青委会主任委员

  • 内蒙古抗癌协会理事

  • 中国研究型医院学会精准医学与肿瘤MDT专业委员会肺癌学组委员

  • 北京医学奖励基金会肺癌医学青年专家委员会委员

  • 内蒙古抗癌协会精准医学与肿瘤MDT专业委员会委员

    发表文章:

  • 电视胸腔镜手术清扫纵隔淋巴结与相应原发灶EGFR突变的相关性研究及其临床意义

  • 138例非小细胞肺癌电视胸腔镜术后患者淋巴结转移规律分析   

  • SDF-1/CX4在非小细胞肺癌的表达即其临床意义

  • 运用双向电泳技术探索恶性胸膜间皮瘤潜在的肿瘤标志物研究

  • 电视胸腔镜手术对非小细胞肺癌患者治疗的临床效果分析

  • 186例非小细胞肺癌临床特点分析

参考文献:

[1] 中国抗癌协会肺癌专业委员会. 中国晚期非小细胞肺癌BRAF突变诊疗专家共识[J]. 中华肿瘤杂志, 2023, 45(4):279-290.

[2] Planchard D, Besse B, Groen HJM, et al. Phase 2 Study of Dabrafenib Plus Trametinib in Patients With BRAF V600E-Mutant Metastatic NSCLC: Updated 5-Year Survival Rates and Genomic Analysis. J Thorac Oncol. 2022;17(1):103-115.

[3] Fan Y, Zhou JY, Zhao YY, et al. Safety and Efficacy of Dabrafenib Plus Trametinib in Chinese Patients With BRAF V600E Mutation-Positive Metastatic NSCLC. EP08.02-052. WCLC 2022.

[4] Melosky B, Knoll S, Souef I, et al. 1260P Clinical outcomes of patients with BRAFv⁶⁰⁰-mutated metastatic NSCLC (mNSCLC) receiving first-line (1L) dabrafenib-trametinib vs other standard of care in real-world practice. Ann Oncol, 2021, 32(Suppl 5): S988.

中国临床肿瘤学会(CSCO)非小细胞肺癌诊疗指南(2023).

项目码:TML0008861;项目失效日 2024-08-26

* 此文仅用于向医学人士提供科学信息,不代表本平台观点

加载中...