新浪财经

扳手腕输了,“折”的不只是面子,还有可能是肱骨!

北京日报

关注

扳手腕是一项在青少年人群中十分盛行的运动,世界各国均有专业的赛事组织者定期举办竞技扳手腕比赛。比赛中,两个对手面对着面,屈肘放在比赛台上,双手互相紧握,然后试图将对手的手腕压到桌面。

可你是否知道,扳手腕输了可不止是丢面子。随着 “咔嚓”一声脆响和一阵剧烈的疼痛,失败者的胳膊可能会被扳成一个奇怪的角度,这便是扳手腕中常见的并发症——

肱骨干骨折

扳手腕可以导致多种骨关节损伤,包括肱骨干骨折、肱骨内上髁撕脱骨折等,但其中最常见的还是肱骨干骨折。

北京积水潭医院创伤骨科每月可收治约15例扳手腕导致的肱骨干骨折,他们大多是青少年男性,多在与朋友娱乐比试中意外受伤。

扳个手腕怎么会骨折?

扳手腕导致肱骨干骨折的机制与肱骨本身的解剖特点和比赛过程中各肌肉群力量的不平衡有关。肱骨中段为圆柱体,向远端逐渐延伸为扁平的三角形,肱骨由圆柱体转变为三角形处较为薄弱,对肱骨施加扭转应力时最大的应力负荷也集中在此处。

扳手腕的过程中,对手会通过比赛者的前臂施加给肱骨远端一个外旋应力,比赛者本人在对抗过程中通过自身的内旋肌群向肱骨近端施加强大的内旋应力,巨大的扭转应力在肱骨最薄弱处释放,造成肱骨干骨折。

造成扳手腕骨折的危险因素有哪些?

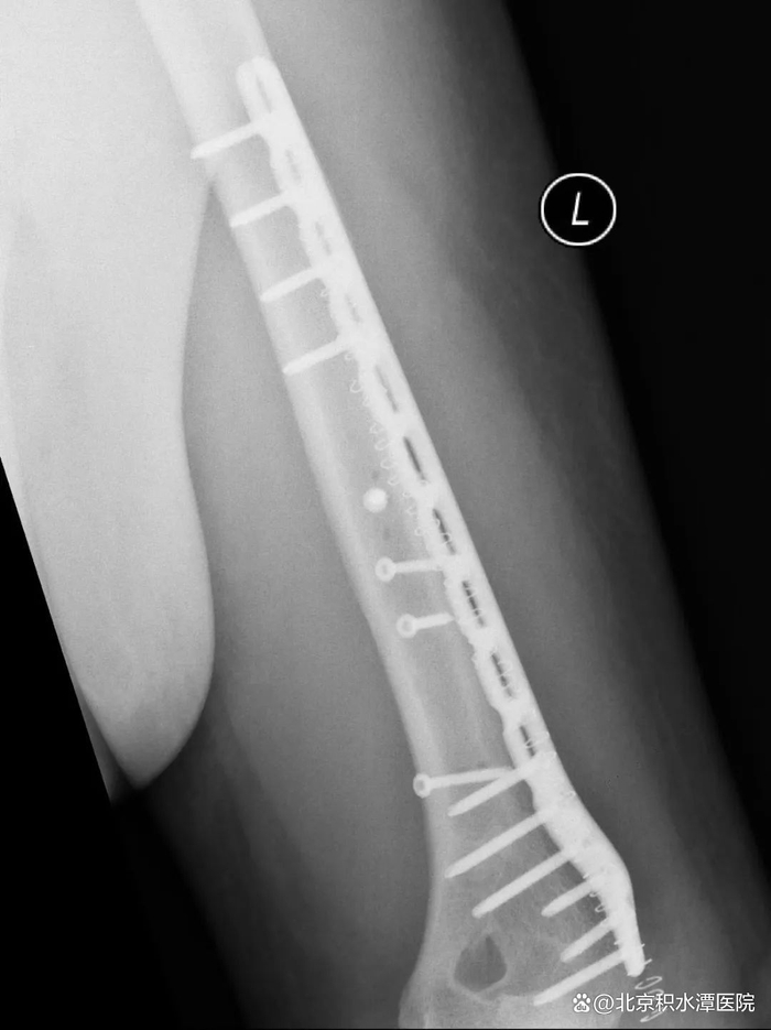
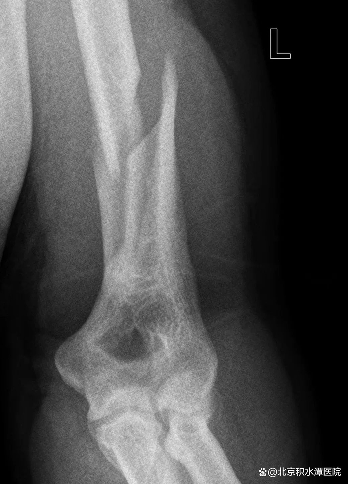
由于存在共同的受伤机制,扳手腕导致的肱骨干骨折表现极为相似。这类骨折几乎都是肱骨远端三分之一螺旋形骨折,半数伴有蝶形骨折片,在AO/OTA分型中分别为12-A1型和12-B1型,可伴有桡神经损伤。

扳手腕导致肱骨干骨折的危险因素包括

反复扳手腕运动史(大于2年)、饮酒和赛前缺乏热身。

与我们认知不相符的是,长期扳手腕的人群可能更容易发生肱骨干骨折,这可能与他们在长期的比赛和训练过程中上肢肌肉过度发达和不均衡发展有关。此外,扳手腕是否容易发生肱骨干骨折与对手的强弱无关,与比你强大、弱小或水平相似的人扳手腕发生骨折的风险是相似的。

肱骨干骨折怎么治疗?

肱骨干骨折的治疗方法包括非手术治疗、闭合复位髓内钉内固定术和切开复位钢板螺钉内固定术等多种方式。采用非手术治疗时,可对患肢进行悬垂石膏固定或行闭合复位后使用上臂U型石膏固定,2-3周后解放肘关节,使用功能支具固定10-12周。由于扳手腕导致的肱骨干骨折几乎均为肱骨远端三分之一螺旋形骨折,闭合复位髓内钉内固定术不适合这类骨折,切开复位钢板螺钉内固定术是这类骨折的最佳的手术治疗方式

肱骨干骨折的治疗方式需要考虑患者的骨折类型、损伤程度、功能需求等多种因素,因此,患者应咨询专业骨科医生后决定具体治疗方式。

创伤骨科医生孙伟桐建议,对于专业的扳手腕运动员来说,尽管该运动风险较高,但避免该运动是不现实的,因此,规范正规的训练是至关重要的。但对于普通人来说,建议尽可能避免该运动。

如果仍想尝试,应做到以下4点:

1. 赛前应充分热身。

2. 斜向发力,减少肱骨所受的扭转应力。

3. 肘部紧贴身体,身体随手臂一同转动,这在专业比赛中也是被允许的。

4. 加强锻炼,增加骨骼强度。

供稿丨创伤骨科 孙伟桐

加载中...