新浪财经

牙齿也有黄金分割比例?教你几个护牙绝招

媒体滚动 2023.08.02 23:31

转自:上观新闻

微笑是世界各地情感沟通的手段

眼睛和唇部

是表达微笑的媒介工具

而口腔内的牙齿

是微笑表达的重要组成部分

闵行区牙病防治所 口腔修复科

副主任医师 田芝娟

什么是理想的微笑?

理想的微笑:牙齿色浅,形态、分布、排列协调;在笑线上完美对称,且上颌龈线、切缘线、上下唇线相协调;合适的龈齿暴露和微笑宽度等。

呈现理想的微笑,需要牙和牙槽骨支撑起唇颊部,来维持面部的自然形态和美观;需要和谐的面部比例,对称整齐和色泽明亮的牙列。

什么是和谐的比例美?

和谐的比例美包括面部比例和牙齿比例。

面部比列:面部以眉间线、鼻翼线为界可以分为大致相等三部分,而面下部1/3对整体美观表现起着显著的决定性作用,嘴唇和牙齿是突出的重点。理想情况下鼻底到上唇下缘的距离应接近下唇到下颌下缘距离的一半。

牙齿形态比列:前牙形态(牙型)可分为卵圆形、方圆形和尖圆形,与面型、性别、年龄等协调。

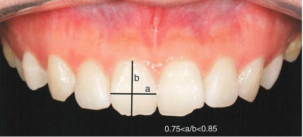
牙型与面型协调:面型以两颊线走向分为三类:即椭圆型、方圆型和尖圆型。当牙型和面型协调性较好者,能产生一种视觉愉悦感。上中切牙中线与面部中线相一致,宽度与长度比在75-85%比较理想和有魅力。

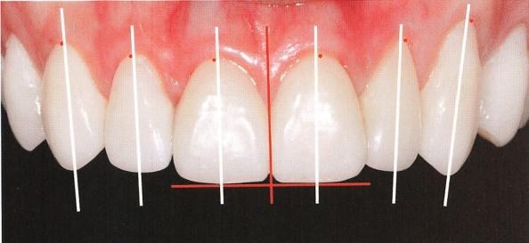
前牙形态比列:从正面观察上颌牙齿之间的比例基本符合黄金分割比例时,能达到最佳的美学效果,中切牙宽度:侧切牙宽度:尖牙宽度=1.618:1:0.618。

牙型与年龄相协调:天然牙表面有多个小的不规则凹凸构成宏观和微观纹理,儿童和青少年牙齿表面纹理明显,成年人尤其是老年牙齿由于口周肌肉运动和刷牙等使表面纹理减少甚至消失。

牙型与性别相协调:男性的牙普通较为宽大、丰隆,轮廓线较直,切角较锐,呈“线直角锐”的视觉形态;女性的牙一般比较小巧、玲珑,线条曲缓,外形圆润,呈“线曲角钝”的视觉形态。

下颌休息位时,正面观可见上前牙暴露2-4mm,女性多余男性,年轻者暴露量多于年长者。下唇随着年龄增长逐渐松弛,下前牙随着年龄增加逐渐在微笑时暴露出来。

对称整齐的排列美

前后有序,大小有别的牙齿连续排列呈抛物线的弓形即是一种自然的排列美。与中线相比,上前牙的长轴通常表现为切端向近中而根尖向远中的倾斜,这种冠部向中线集中而根部背离的量,中切牙最小,尖牙最明显。两侧牙的牙长轴呈镜面对称关系。

微笑时切缘连线的曲线从正面观通常向下凸,与下唇的自然凹陷形态相一致,切缘位于下唇干湿交界之内。理想的凸度和牙齿比例能产生一种辐射状的对称性,这种对称性越明显,中切牙相对于侧切牙越突出,能令微笑更加动人;牙齿过于唇倾,就会显得很长,上下唇闭合困难,微笑亲和力下降。

牙齿的色泽美

天然牙是透明中带着淡黄色,其颜色由牙釉质、牙本质、牙髓和牙龈之间的关系以及光的折射和反射过程决定。牙釉质和牙本质为主要影响因素,牙髓和牙龈为次要影响因素。牙齿的颜色取决于牙釉质的厚度和牙本质的彩度水平。天然牙切缘是釉质最厚实的部位,具有一定的透明性,中部带有浅黄色,颈部稍深一些,微黄色的牙色与黄种人肤色相协调。

天然牙的颜色从中切牙到尖牙颜色彩度逐渐加深即颜色渐深,前磨牙呈现出与侧切牙相近的颜色。如果两颗牙齿的色调一样,位置更偏唇侧的牙齿更明亮,表面积更大的牙齿会显得更明亮,比如上颌中切牙和侧切牙,同样色调中切牙显得更明亮。

日常生活中如何保护牙齿?

●提倡早晚刷牙、饭后漱口和随身携带漱口水

每天至少要早晚两次刷牙,刷牙能去除牙菌斑、软垢和食物残渣,保持口腔卫生;饭后漱口可去除口腔内的食物残渣,保持口腔清洁;选一款适合自己的漱口水,做到随身携带,经常漱口能有效的保持口腔卫生,预防大部分口腔疾病。

●提倡使用牙线或牙间刷辅助清洁牙间隙

牙间隙最容易滞留菌斑和软垢,刷牙时牙刷刷毛不能完全伸及牙间隙,如果在每天刷牙的同时,能够配合使用牙线或牙间刷等帮助清洁牙间隙,可以达到彻底清洁牙齿的目的。

●养成良好的饮食习惯预防口腔疾病

拒绝长期食用生冷、甜腻、辛辣的食物。减少这些食物对牙齿和口腔粘膜的刺激,减少龋齿、牙齿敏感和口腔溃疡等疾病。饮食上最好是清淡为主,不要嗜甜如命,少喝碳酸饮料。

●养成定期口腔检查及早发现口腔疾病

定期进行口腔健康检查,每年至少一次,能及时发现口腔疾病,早期治疗。同时提倡每年洁牙(洗牙)一次,定期洁牙能够保持牙齿坚固和牙周健康。

记者:魏天浩

编辑:姚怡莹

加载中...