新浪财经

瑞金医术丨这项技术帮忙找到了“隐藏的”肿瘤

媒体滚动 2023.07.31 21:01

转自:上观新闻

68Ga-DOTATATE PET/CT和PET/MR用于神经内分泌肿瘤的精准诊断

第一完成人:核医学科 张一帆

第二完成人:核医学科 潘昱;核医学科 周金鑫

第三完成人:胰腺外科 金佳斌;内分泌科 苏颋为

编者按

瑞金医院内科奠基人邝安堃教授曾教导学生:“做学问,不要只做人家做过的事情。”是的,一切科学的进步与发展都离不开创新,医学更如是。百十年来,“勇于创新”成为了所有瑞金人的精神内核,他们坚持完善科研体系,坚持把创新成果写在病人的健康本上。今天起,我们将推出2022年度“瑞金医术”系列报道,揭秘这些前沿技术……

范阿姨3年前发现自己血压升高、脸变圆、嘴唇周围毳毛增多、脸部及下肢水肿,伴全身乏力,来我院内分泌科就诊,发现血皮质醇和ACTH激素水平升高,诊断库欣综合征。

当时进行了详细的内科学检查,最终诊断是外周异常分泌ACTH激素的肿瘤导致的,但是做了很多影像检查,包括CT、MR以及18F-FDG PET/CT都没有找到肿瘤。因此很长一段时间内,范阿姨只能口服可的松控制症状,但是症状还在进一步加重,日常生活常常受到很大的影响。

范阿姨近期回来复查调药的时候,听医生介绍瑞金医院新开展了针对神经内分泌肿瘤的特异性显像方法---68Ga-DOTATATE PET/CT和PET/MR检查,可以大大提高神经内分泌肿瘤的诊断效能,因此便想试一试。相比以前传统的18F-FDG PET/CT和PET/MR,新的显像方式不需要空腹,且图像质量不受血糖的干扰,对糖尿病长期血糖控制不佳的范阿姨来说这次的体验感明显提升

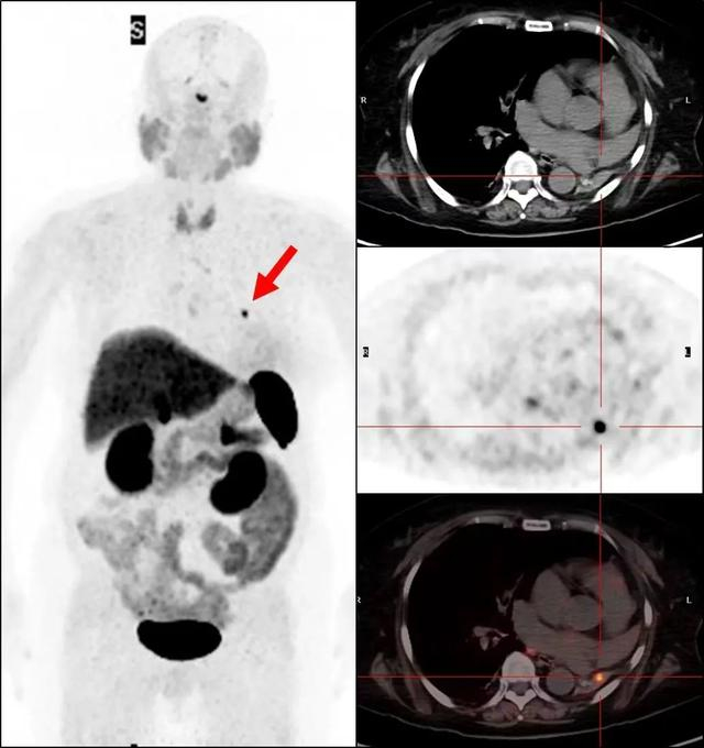
检查完的第二天,主管医生告诉范阿姨病灶找到了!范阿姨原本左肺先天性发育不良,就在她萎缩的左肺里找到了一枚微小结节,直径约1cm,在68Ga-DOTATATE PET/CT显像中有明显的放射性浓聚,SUVmax达14.8。随后范阿姨被转到了胸外科手术,李鹤成主任进行了“胸腔镜辅助左肺切除术”,手术病理证实确实为分泌ACTH激素的支气管类癌。手术之后范阿姨的皮质醇水平明显下降,半年后回医院复查病情得到了痊愈。

神经内分泌肿瘤(neuroendocrine neoplasms, NENs)可以累及全身各个系统,异质性较强、发病隐匿,常规的影像学手段难以准确诊断,给临床诊治带来了极大困难。大多数神经内分泌肿瘤细胞表面表达生长抑素受体(somatostatin receptor, SSTR),其配体奥曲肽可以与SSTR特异性结合且具有很高的亲和性,因此可以通过放射性核素标记的奥曲肽探针(68Ga-DOTATATE)进行NENs特异性PET/CT或PET/MR显像,对胃肠胰神经内分泌肿瘤、嗜铬细胞瘤/副神经节瘤(PPGLs)以及ACTH依赖的库欣综合征的定位和定性诊断具有重要价值,目前已成为NENs诊治如虎添翼的重要方法。

瑞金医院核医学科成立于 1960 年,是国家及上海临床重点专科、国家临床药理基地、上海市教育委员会重点学科和上海交通大学医学院重点学科。国家卫健委首批批准配置 PET/MR 的五家医疗机构之一。近4年来连续获评复旦大学医院管理研究所发布的“中国医院专科综合排行榜”核医学专业前十。2017 年成立瑞金医院分子影像临床研究中心,拥有5 位“广慈引智”双聘教授,负责人工智能医学影像、实验分子影像、多模态分子探针、PET 及MR 图像处理及分析。科室发表SCI论文 110 篇,获奖项4 项,获批专利 2 项。

门诊信息

核医学科 张一帆

专家门诊:周二、周三、周五上午

特需门诊:周四上午

胰腺外科 金佳斌

专家门诊:周四全天

内分泌科苏颋为

专家门诊:周二上午

核医学科-多模态肿瘤评估专病

周四上午

(向上滑动查看)

加载中...