新浪财经

精准找到病源,这项技术让咳嗽不再“顽固”

扬眼

关注

转自:紫牛新闻

对于一般咳嗽而言,三五天即能自行恢复。但面对有些顽固咳嗽,则需要找准病因,对症下药,才能“一网打尽”。近日,扬州市江都人民医院呼吸与危重症医学科开展了多例肺泡灌洗术联合高通量基因检测(NGS)技术,通过给肺“洗澡”,对灌洗液进行NGS检测,清除痰液、找到潜伏的“敌人”,实现复杂性肺部感染疾病诊治精准化。

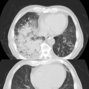
入院时,王老肺部有明显白肺。出院时间,白肺已经消失。

肺部白化严重,痰液咳嗽不出

今年81岁的王老因咳嗽、气喘、高烧,被送至江都人民医院急诊,经查,患者指脉氧仅80%,胸部CT提示两肺有明显白肺,被收治在呼吸与危重症医学科RICU(呼吸重症监护病房)。

由于年龄较大,且痰液始终无法咳出,王老情况进一步加重,还引发了气喘。呼吸与危重症医学科主任吴鹏经综合评估后,制定了“床旁电子支气管检查并吸痰+肺泡灌洗液NGS检测”诊疗方案。

通过对灌洗液的检测,精准识别病因

吴鹏介绍,这是一种无创操作技术,通过向肺泡内注入足量的灌洗液并充分吸引、回收,在清除痰液的同时,提取灌洗液进行检测,准确找到致病 “真凶”,这样才能更好地对症治疗。

在医护人员的密切配合下,王老肺部的大量痰液被吸出,并成功取得所需肺泡灌洗液行NGS检测。结果显示为“肺炎链球菌及甲型流感病毒H3N2”混合感染,对症治疗后王老告别了咳嗽、气喘,影像结果显示白肺也已消失,王老于上周顺利出院。

在床边进行肺部灌洗的医生和护士

常年咳嗽,竟感染人兽共患性病菌

60多岁的沈大妈持续咳嗽了近一年,吃了各种消炎药以及止咳药,始终不见好转,人却日渐消瘦。随着病情的加重,她来到江都人民医院求医。

结合该患者的临床特征以及影像学检查,吴鹏团队认为患者有“非结核分枝杆菌感染可能”,需要进一步精准检查与化验,才能摸准咳嗽的病因。随即,吴鹏给患者安排了支气管镜下诊断性支气管肺泡灌洗术,并行肺泡灌洗液下一代测序技术基因检测(NGS)。

肺泡灌洗液NGS结果提示,沈大妈所患疾病为鸟分支杆菌感染。“鸟分支杆菌病是由鸟-胞内分枝杆菌负荷体感染引起的人兽共患性传染病,感染后可侵害多种组织器官包括肺、骨髓和淋巴结等。多发生在免疫功能低下患者,表现为发热、盗汗、咳嗽、痰血、消瘦、腹痛、腹泻和贫血等。”吴鹏告诉记者。

了解到具体感染源后,吴鹏团队立刻对症用药。目前,该患者的症状已得到明显缓解。

据了解,支气管镜肺泡灌洗液NGS检查实现了精准抗感染治疗的新突破,可对难以培养、难以化验的特殊病原菌进行有效地综合诊断,从而为医生提供针对性的治疗方案,降低了抗生素的使用率及强度,为患者最大程度上减轻痛苦的同时,预后效果也更佳。

通讯员 马兆敏 于备备 扬子晚报/紫牛新闻记者 成沫

校对 盛媛媛

加载中...