科普|AI神眼让“会呼吸的痛”无处遁形
东方网
王阿姨,年过5旬,已然退休在家多时,平扫也很少运动。这天,王阿姨像往常一样,早晨在阳台上晾晒衣物。当王阿姨尽力去挑挂较远较高的衣物时,突然她感觉右侧胸部“咯噔”了一下,渐渐地就出现了酸痛感。一开始,王阿姨觉得可能只是肌肉拉伤了,休息一两天可能就好了,但是直到第三天,这种酸痛感不仅没有消退,好像还原来越严重了,一呼吸就痛,这种会呼吸的痛,让王阿姨寝食难安。
哪里来的“会呼吸的痛”?
来到华东医院就诊后,医生建议王阿姨做个普通X线平片检查(图1),看看是否肋骨骨折。
图1王阿姨的胸片
拍过平片后,医生没有发现明显的肋骨骨折,于是开了些药膏,让她回去静养随访。
回家后两天,王阿姨始终觉得这会呼吸的痛,得不到有效地缓解,手臂不能上抬,反而越来越难受了,于是她再次去了华东医院。由于之前已经拍了胸片,所以这次医生建议王阿姨拍个CT,以便看得更清楚些。
肋骨CT三维重建+AI人工智能找出胸痛的“元凶”
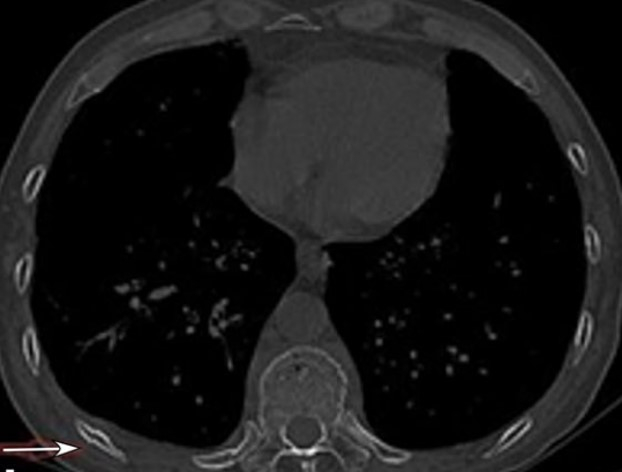
王阿姨做完CT之后,经过华东医院放射科金倞医生的肋骨三位重建+人工智能AI技术分析,终于查出了元凶,发现了王阿姨左侧第7肋骨细微的“弯曲”骨折,找到了这个“会呼吸的痛”的原因,确诊了这类在胸片上不可能发现的骨折(图2)。
那为什么肋骨骨折普通X线平片不容易发现呢?
图2左侧的图像处理后得到右侧的曲面重组图像用于直观诊断
小知识1:肋骨(图3)是一个弧形的长扁骨,是个“拐弯”的骨头,普通X线平片是平面图,有些拐弯处的骨折不一定能看到,但是CT是立体图,能360度全方位看到。
图3肋骨的形态
小知识2:CT可以更好地发现肋骨骨折,但是每个人双侧的肋骨有22-26根,单侧11-13根不等。而且肋骨的形态个体差异大,即使有经验的医生在诊断骨折时也需要非常地仔细。打个比方:诊断肋骨骨折就像翻阅一本500页的书,骨折的信息会隐藏在这500页中的任意一页,必须每一页都不漏。对于图4中的骨折,经验不足的医生很容易漏诊,往往这种漏诊就是王阿姨找不到痛的原因。
图4白色箭头所指处的弯曲骨折
小知识3:确诊肋骨骨折,一般都需要做肋骨CT三维成像,通过三维重组后可以进行曲面重建,图2中的黄线即专业医师手工沿着肋骨中心截面划线,获得沿肋骨中心截面剖开的图像(图2 右侧图像),这个过程一定是需要专业医师进行操作,即使完成了肋骨三维CT,没有经历这个步骤,也是不能精确诊断的。
小知识4:通过知识点2和3的介绍,华东医院放射科团队长期从事肋骨骨折外伤鉴定的工作中,积累了相当多的经验。为了解决这个繁琐、耗时又费力的过程,而又不影响诊断准确率和效率的前提下,李铭主任团队尝试引入了人工智能技术(AI),而金倞医生作为团队的核心技术骨干,将前期数据和临床凝聚的知识,通过构建人工智能模型,实现AI神眼的辅助诊断。
华东特色的AI技术辅助肋骨骨折诊断
华东医院团队联合专业技术力量开发了自主创新的肋骨骨折智能诊断系统,即AI辅助诊断系统(图5),该系统的检出率达到了90%以上,超过了同期的低年资医生。以往诊断一例肋骨骨折,一位有经验的高年资医师至少需要15-20分钟,现在通过AI的辅助诊断,5分钟内就可以快速准确地识别肋骨骨折,无论对于低年资医师还是患者来说,都是福音。与目前市面上一些AI软件不同的是,这套系统是华东人用自己的数据建立的具有自主知识产权的系统,是为华东量身定制的。
图5肋骨骨折智能辅助诊断系统—图中的黄色框即AI提示骨折处
团队研究结果显示AI技术(检出率92.9%)成功地超过了2名放射科专业医师(79.1%和75.9%)的准确率(表1),在国际著名杂志Ebiomedicine(IF=8.12,2021)期刊发表,在国际上发出中国学者的声音,引起热烈反响。
小知识5:既然CT更清楚,为什么不一开始就做CT?这是因为对于诊断不明确的初步筛查,临床首选是普通X光平片检查,一是辐射剂量低,二是更符合筛查流程。对于普通X光平片检查不能确诊的,再进一步行CT。对于常规胸部检查来说,一次胸部CT的辐射剂量大约等于200张普通X光胸片的辐射剂量。虽然CT的辐射剂量比普通X光平片大,但是对于肋骨骨折的明确诊断,CT对于发现肋骨骨折的能力是普通X光平片的2倍。根据国家发布的《X射线计算机断层摄影成年人诊断参考水平》,人体各部位做CT检查时,承受的辐射量为:
总结来说,为了正常检查需要做的CT,都是在可控安全范围内,辐射剂量的伤害远远小于疾病带来的伤害,不要为了考虑辐射剂量而耽误疾病诊断和治疗。
“会呼吸的痛”消失了
找到了元凶后,王阿姨在专业医师的指导下开展了一系列的治疗。一个月之后,“会呼吸的痛”渐渐消失了,王阿姨也逐渐恢复了往日快乐的生活。
补充知识:如何让检查更精准、更能有效地降低“电离辐射”、做好相应的防护
首先一定要在检查前搞清楚自己检查的部分,并做好相应的配合,如胸部检查,需要确保上半身胸部检查范围内没有金属(挂件、内衣等,金属植入物除外)、密度高的异物(玉石、膏药、暖宝宝等)。这些物品除了会影响图像质量外,还会导致扫描时的辐射剂量增加。
其次,在检查时,一定要配合医生的要求,比如保持静止、配合呼吸训练等。如果在检查过程中出现了患者移动、呼吸配合不佳,会导致图像质量下降,从而影响诊断,那么就可能会进行二次扫描,从而增加辐射剂量。
除此以外,在CT检查中、检查后可以使用一些保护性措施、适当通过饮食来维护健康。
检查中可以要求医护人员给予适当的辐射防护、如铅围裙、铅遮挡等。
检查后多食用有较好防护效果的食物:在主食外,多选用蛋、乳类、瘦肉、大豆及豆制品、卷心菜、胡萝卜、海带、紫菜、柑橘及茶叶等。
提供保护性膳食:保护性膳食应在早餐或午餐时供给。构成保护性膳食的食物可包括瘦肉、鱼、肝、蛋、牛乳、发酵牛奶、凝乳、卷心菜、土豆、西红柿、新鲜水果等。