新浪财经

宝宝多长牙齿了该怎么办?丨贤医健康说

媒体滚动 2023.06.21 11:01

转自:上观新闻

关于多生牙

家长要知道

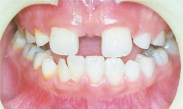
医生,我家小孩8岁多了,这两颗上门牙换了很久了,缝隙怎么还这么大啊?

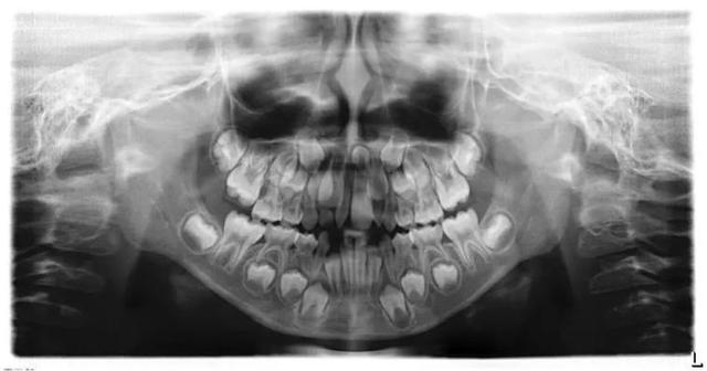
我们先给小朋友拍个全景片看一下是不是有多生牙吧。

什么是多生牙?

人的一生有两副牙齿,乳牙以及恒牙。乳牙一共20颗,通常幼儿6个月左右开始萌出,直到2岁半长齐。6岁左右,乳牙逐渐开始脱落并且恒牙萌出,这一新旧交替往往要持续到12岁,此时28颗恒牙全部萌出。直到成年后,第三磨牙萌出或者阻生,人的恒牙一般28-32颗。

多生牙又称额外牙,是正常牙列以外的多余牙齿,是多于正常牙数以外的发育异常的牙齿。在形态上,其多为锥形牙或者过小牙,也可与正常牙齿形态相似。在数量上,可分为单发或者多发。在位置上,可分为正中、前磨牙区、磨牙区等,其中上颌前牙区最为常见。在空间上,可萌出在口腔,一般口内检查可见;也可埋伏阻生,只能通过X线检查发现。

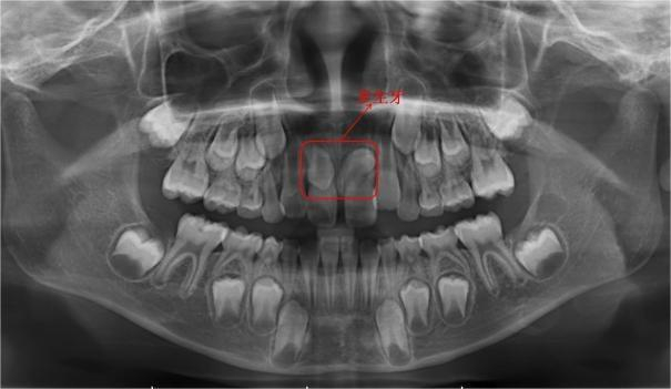
医生,我们片子拍好了,有问题吗?

小朋友家长,这是刚拍好的片子,请看这个地方,是因为长了多生牙才影响了正常恒牙的位置,导致两颗牙齿之间的间隙过大。

多生牙的危害

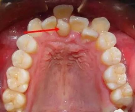
多生牙往往没有临床症状,多在拍片时偶然发现。但其危害不容忽视,可影响恒牙的发育,可引起恒牙的迟萌或者阻生,恒牙牙根形态发育异常,出现牙间隙、牙齿扭转或者移位。多生牙可能横着、倒着、斜着埋伏在颌骨里占据正常牙齿的位置,从而影响恒牙的萌出。甚至,久而久之,多生牙阻挡恒牙牙根正常生长方向,导致恒牙牙根弯曲。此外,多生牙也可以在乳牙脱落前后萌出,临床上我们看见形态不正常的牙齿或者牙尖。萌出的多生牙占据了正常恒牙在牙列中的位置,造成牙列不齐。

1 牙列拥挤

2 牙齿移位

3 牙间隙大

4 恒牙牙根发育异常

医生,那多生牙应该怎么处理呢?我们要怎么做?

多生牙已经造成了恒牙的间隙过大,需要拔除。你家小朋友的多生牙倒着长还埋伏在骨头了,拔除难度较大,建议预约口腔外科或者微创拔牙门诊进行拔除。到时候还需要拍个CT确定它的三维位置,和周围牙齿的关系。

多生牙的治疗

多生牙如能尽早发现,及时处理,减小对恒牙胚的影响。外科拔除是最终治疗方法。

1.已萌出的多生牙应及时拔除,此时创伤也不会很大,在局部麻醉下操作,小朋友也不会感到疼痛,拔牙后伤口通常也不会疼痛,和普通拔牙类似,预后良好。

2.埋伏的多生牙通常在治疗其他疾病如牙髓炎等拍摄X线后偶尔发现,此时往往没有任何临床表现或者症状。对于未萌或者阻生的多生牙,如果现阶段没有妨碍相邻牙齿的发育和萌出,没有囊肿存在的证据,可暂时观察,待患儿足够大,有了更好的耐受力时(通常5周岁左右)方手术拔除。

3.对于高位的不影响牙列且手术风险大者,可不予处理,但应严密观察,定期随访,必要时拔除。

4.由于中线处存在多生牙使上切牙萌出延迟者,应在不影响恒牙牙根发育的情况下,拔除多生牙。在手术过程中,可将延迟萌出的牙齿切1/3的骨和软组织去除,并保持开口,以利于牙齿萌出。

5.多生牙可能造成恒牙萌出至理想位置所花费时间比正常萌出更久。当恒牙萌出时,可能会偏离正常的位置或者发生逆转,上前牙因多生牙而萌出延迟时也常常导致牙弓长度不足,需要辅以正畸治疗。

6.有时正常前牙牙根吸收或者弯曲畸形,而多生牙形态正常、根长足够时,可拔除正常切牙、保留多生牙。

总结

多生牙是牙齿数目发育异常的一种常见疾病,其通常发现在上颌前牙区,进而影响正常恒牙的萌出。当家长发现小朋友乳前牙过早脱落、恒牙迟萌、牙间隙很大或者看到形态异常牙尖时,应及时就诊,一旦确诊,完善相关检查后视其位置、与恒牙的关系以及患儿年龄等综合考量决定拔除或者观察。

编辑:戴君文

加载中...