新浪财经

不“瘤”余地!杨中心普外科团队成功切除巨大肿瘤

媒体滚动 2023.06.09 11:00

转自:上观新闻

前不久,杨浦区中心医院普外科联手介入室、手术室、泌尿外科及麻醉科等成功切除一例侵犯下腔静脉的巨大腹膜后肿瘤。患者术后恢复良好,如今已顺利出院。手术难度很大,医生们是如何做到成功切除的呢?

前不久,杨浦区中心医院普外科刘海龙副主任医师接诊了一位“特殊”患者。这位患者异常显眼,她双目失明、走路蹒跚,在同是盲人的老伴的陪同下,好不容易才来到医院。刘海龙一眼就注意到了她,并立即为其安排了优先就诊。

尚未等刘海龙问诊,患者便恳求道:“大夫,近半年来我的肚子越来越胀,现在饭都不怎么吃得下。我去过好几家医院,也做了CT检查,他们说这是什么腹膜肿瘤,手术很难做,你帮帮我吧。”

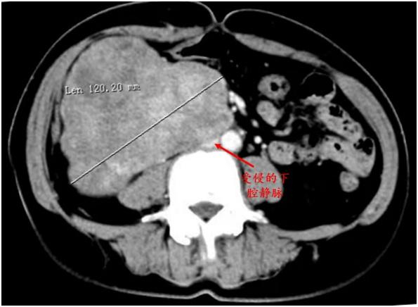
在安抚好患者的情绪后,刘海龙立刻为其进行详细的问诊和体格检查,发现患者右侧腹部有一排球大小肿物,质韧、边界不清、活动欠佳。结合患者携带的CT片子,刘海龙立刻诊断出这是位于右侧腹腔的一例巨大腹膜后肿瘤,肿瘤压迫输尿管已引起了右肾盂积水,更严重的是,肿瘤基底部与下腔静脉连接紧密,考虑存在侵犯。尽管手术难度很大,刘海龙在快速评估了肿瘤情况后,还是决定收治这位特殊患者。

由于病情复杂,刘海龙立刻组织了科内讨论,并邀请介入室、泌尿外科、手术室和麻醉科等共同为患者制定手术方案。经过周密的手术计划和充分准备,决定先由介入室的汤旻副主任医师和蔺松若主治医师行选择性肿瘤供血动脉栓塞术,再行肿瘤切除。手术由普外科林谋斌主任医师和刘海龙副主任医师联手开展,术中探查发现腹膜后肿瘤与右半结肠、十二指肠水平部、右肾、右肾静脉、右输尿管粘连紧密,其基底部与下腔静脉更是关系密切、不能剥离。

但凭借深厚的手术经验,两位医生沉着应战、精细操作,逐步分离肿瘤与周围粘连紧密的组织,并成功切除受侵的部分下腔静脉,予以严密的缝扎止血。历经3小时的攻坚克难,这台高难度手术顺利结束,完整切除了这颗约15×12×9cm大小的巨大肿瘤,完好保留了十二指肠、右肾及输尿管、右半结肠等周围脏器,并且术中出血仅百余毫升。

在医护人员的悉心治疗和护理下,患者术后恢复顺利,术后第一天恢复活动、饮水,第三天恢复半流质饮食,术后第七天顺利出院。出院当天,这对盲人夫妇只有安心和止不住的高兴。鉴于患者行动不便,普外科医师还将为其提供上门随诊服务,解决后顾之忧。

预防知识

腹膜后肿瘤主要来源于腹膜后间隙。部位深在,早期多无症状,随着肿瘤的发展,始觉腰腹胀痛或出现脏器组织的推移压迫症状。因此有腰腹部钝胀痛不适时,应警惕本病,争取早期发现,早期治疗。

腹膜后肿瘤多属恶性,发展快、预后不佳。目前对其治疗仍以手术为主,放化疗效果一般,望患者疑有本病时,到有条件的医院诊治,以策良效。

专家介绍

林谋斌

主任医师、教授、博士研究生导师、杨浦区中心医院副院长、大外科主任、普外科主任、临床研究与转化医学中心主任

专长:各类胃肠肿瘤腹腔镜微创根治手术,尤其擅长超低位直肠癌的保肛手术;顽固性便秘的微创手术(改良Duhamel手术)、肛瘘的微创治疗(视频辅助肛瘘治疗VAFFT)、克罗恩病的微创手术、溃疡性结肠炎和家族性息肉病的IPAA手术、直肠脱垂的微创手术及直肠阴道瘘的手术治疗、功能性胃肠病的手术治疗等。2004年在国内率先开展超低位直肠癌保肛手术(ISR手术),2015年完成上海首例完全经肛的腔镜下超低位直肠癌保肛术(经自然腔道内镜手术),2015年5月完成国内首例视频辅助肛瘘治疗术。

专家门诊时间:周一上午,杨浦区中心医院(腾越路450号)

刘海龙

副主任医师,外科学博士,硕士研究生导师,普外科行政副主任,上海市疾控中心肿瘤外科和跨学科治疗委员会委员

专长:擅长胃肠肿瘤的腹腔镜微创手术,低位直肠癌保肛术,慢性功能性便秘的综合治疗。

专家门诊时间:周一上午,杨浦区中心医院(腾越路450号)

加载中...