体检中的心电图、心超、冠脉CTA啥区别?
网站滚动
转自:上观新闻
体检中的心脏检查种类繁多,心电图、心脏超声、冠状动脉造影、......,到底啥区别?能互相代替吗?
01 各类心电图
普通心电图:记录瞬间
当感觉有胸闷胸痛、心慌心悸的感觉时,就需要做个心电图看看有没有心肌缺血或心律失常等疾病,但是普通心电图只能记录下几秒内的心率情况,可用于有症状人群的初筛检查。
动态心电图:记录24小时
很多存在心慌症状的患者,就诊时症状已经不明显,或是夜间发作症状,此时的心电图可能并无异常。而24小时动态心电图检查可以全天候监测患者的心率情况,适用于心律失常患者或医院心电图检查阴性但心慌等症状明显的患者。
运动负荷心电图:动着测
有些患者的胸痛等症状在安静时潜伏很深,只能通过运动提高心率或通过药物激发才能被心电图捕捉到。因此,运动负荷心电图适用于临床高度怀疑冠心病,但在安静状态下心电图正常的患者。
02 冠脉CT:初筛心脏病
冠状动脉是供给心脏血液的动脉,起于主动脉根部主动脉窦内,分左右两支,行于心脏表面。冠脉CT可以重建冠脉供血图像,能够精准判断患者是否有冠脉的硬化和狭窄,适用于怀疑冠心病人群的初筛检查。 对于高度怀疑冠心病的患者,推荐优先做冠脉造影。
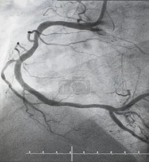
冠脉造影:诊断冠心病的“金标准”
冠脉造影是诊断冠心病的“金标准”,更为精确,适用于高度怀疑冠心病的人群(有典型的缺血性心绞痛症状、有胸痛但症状不典型、心电图或影像检查阳性等)。
03 心脏彩超:观察心脏的形态及功能
心脏彩超看不到冠脉情况,因此无法诊断心梗。但心脏彩超可以观察到整个心脏的形态以及心包、心房、心室、瓣膜等的情况,可辅助诊断是否有先天性心脏病、肿瘤、心包炎以及瓣膜病等。心脏彩超还可检测心脏的射血功能,判断是否存在心力衰竭。
所以,做心电图是看电路通不通,有没有短路漏电及异常的电路。做心脏超声就是看犹如四居室房子的心脏各房间情况,比如房间有几个、有多大、墙上是否有漏洞、墙壁有多厚、房门开关弹性是否好,关门时是否严实和漏风;冠脉造影是看水管是否有堵塞、有没有生锈、需不需要疏通。因此三种检查用途各异且互相补充,不能替代。体检中,我们会根据您的情况做项目建议。
定期体检非常重要,可以尽早发现心脏疾病以及其的高危因素,如高血压、高血脂、糖尿病等,如有心脏疾病家族史或者既往史,那就要完善心电图、心超、冠脉造影及心脏磁共振等检查。
