新浪财经

重磅!美敦力第四代 Resolute Onyx 支架植入手术成功落地北京和睦家医院

中国网

关注

转自:中国网财经

5 月 10 日,北京和睦家医院心脏中心成功为一位 68 岁男性患者植入 1 枚美敦力第四代 Resolute OnyxTM 药物涂层支架。据美敦力公司反馈,这是该产品在中国大陆第一例由非公立医院完成的手术。

该患者是一位 68 岁的男性,有高血压、糖尿病、高血脂、肾功能不全、前列腺癌病史,2 年前因为心绞痛、右冠状动脉严重狭窄植入 1 枚支架,近 10 天出现劳力性心绞痛。

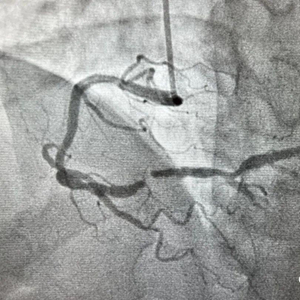
复查冠脉造影后提示:右冠状动脉近段原支架通畅,中段严重狭窄 99%。

该患者应进行介入治疗,如果植入普通药物涂层支架,后续面临的问题将是 1 年不能间断的双联抗血小板治疗(防止支架内血栓),这就会导致后续的前列腺癌外科手术推迟至少 1 年。

经过术前与患者和家属充分沟通,保障患者后续疾病的及时治疗,我们给患者植入了目前引进中国大陆的新一代药物涂层支架——美敦力第四代 Resolute OnyxTM 支架。

手术过程非常顺利,在 OCT 的指导下,支架准确覆盖了病变且贴壁良好。在这种治疗方案下,患者经过 1 个月的双联抗血小板之后,就可以进行前列腺的外科手术了。

美敦力第四代 Resolute OnyxTM 药物涂层支架的优势

冠脉介入诊疗技术经过四十多年的发展,已经成为冠心病治疗的重要手段,而介入技术发展的基础就是支架的更新迭代。

那么,美敦力新推出的第四代 Resolute OnyxTM 支架相对于当前常用的支架有哪些优势呢 [1-9]?

优势 1

药物涂层采用了专利 BioLinxTM 多聚物涂层,能够抑制血管内膜增生,降低了支架后再狭窄的概率。

优势 2

支架内芯采用铂铱合金,提升了支架的显影性;外层为钴铬合金,有较高的金属强度,保障了径向支撑力和结构完整性。

优势 3

支架的金属丝进行了椭圆形压缩,并且用连续的正旋波形技术制成支架平台,增大了支架的内径,可以为小到 2 mm 的血管和大到 5 mm 的血管进行介入治疗。

优势 4

多方位提升的输送系统,让介入手术更加顺畅。

优势 5

尤其引人注目的是,2020 年 10 月 1 日,美国 FDA 批准了 Medtronic Resolute OnyxTM 药物洗脱支架的新适应症,使其成为首个高危患者只需要一个月双抗血小板治疗的药物洗脱支架 [10]。

来北京和睦家医院就诊的患者常常病情比较复杂,或者高危、年龄偏大、合并多种疾病,有很多患者还需要进行下一步的外科手术,或者面临消化道出血等风险。

对这些患者而言,冠脉病变不干预,后续的外科治疗无法进行;如果先干预冠脉病变,由于后续长时间的双联抗血小板,又必须推迟外科手术。

在这种两难的选择下,Resolute OnyxTM 只需等待短短一个月的双联抗血小板的适应症就显得非常重要,可以为 出血高危患者 大大缩短双联抗血小板的治疗时间。

北京和睦家医院心脏中心秉承国际标准,追求卓越医疗,利用与时俱进的医疗技术手段,为广大心血管病患者提供优质的诊疗服务!

参考文献:

[1] Windecker S, et al. N Engl J Med. 2020;382:1208-1218.

[2] Kandzari D, et al. Circ Cardiovasc Interv. 2020;13:e009565.

[3] Kedhi A, et al. Outcomes in HBR with ACS with 1-Month DAPT. Presented at ESC 2020.

[4] Pasupati S, et al. Ischemic and Bleeding Outcomes in Patients With vs. Without AF. Presented at TCT 2020.

[5] Kandzari D, et al. Complex PCI with 1-month DAPT in HBR Patients: Presented at TCT 2020.

[6] Mehran, R et al. Sex-based Outcomes after PCI in Complex High Bleeding Risk Patients: Results from the Onyx ONE Clear Trial. Presented at SCAI 2021.

[7] Kedhi E, et al. Diabetic High Bleeding Risk Patients with One-Month DAPT: Onyx ONE Clear Results. Presented at Euro PCR 2021.

[8] Kirtane A, et al. Clinical Outcomes in High Bleeding Risk Patients with Bifurcations after PCI with Resolute Onyx DES and One Month Dual Antiplatelet Therapy. Presented at TCT 2021.

[9] Moreno R, et al. Clinical Outcomes of PCI with a ZES followed by 1-mo DAPT in HBR patients with small coronary arteries: Presented at CRT 2022.

[10] https://news.medtronic.com/2020-10-01-Medtronic-Resolute-Onyx-TM-Drug-Eluting-Stent-DES-First-to-Receive-One-Month-DAPT-Labeling-in-the-U-S-with-Expanded-Indication-for-High-Bleeding-Risk-Patients

加载中...