牙齿也会有“肿瘤”?12岁女孩牙齿不齐发现病变,医生手术切除
澎湃新闻
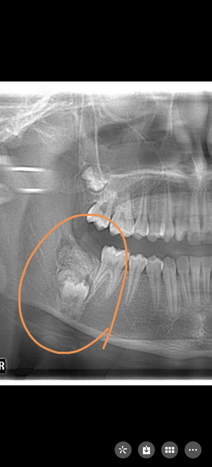
12岁的小雅(化名)因为牙齿不齐前来上海市儿童医院口腔科做正畸治疗,拍片发现,小雅的右下颌骨内发生了瘤样病变,因此导致其右下第2恒磨牙在顶出来的途中遇到“埋伏”,无法正常长出。
小雅的影像学报告。本文图均为上海市儿童医院 供图
上海市儿童医院口腔科专家立即为小雅制定了专属的手术治疗方案,先为其实施手术切除。目前,瘤体已完全切除,小雅可以正常进行后续的牙齿矫正。
上海市儿童医院口腔科主治医师段阿竹介绍,牙瘤是牙源性肿瘤中的一种,生长于颌骨内,是以牙体组织杂乱排列成团或形成数量不等的畸形牙为特征的牙的发育畸形,并非真性肿瘤,瘤体内可含有不同发育阶段的各种牙胚组织或牙,数个至数十个不等,形状不规则,有的近似正常牙,有的只是一团紊乱的硬组织,周围包裹着一层纤维膜。
“牙瘤病因较复杂,多种因素均可能与牙瘤的发生相关,如乳牙的慢性炎症和感染遗传因素、成牙本质细胞过度反应等,均可能导致牙瘤发生,牙瘤患者常有缺牙现象,牙瘤可引起恒牙迟萌、疼痛、颌骨膨隆、邻牙移位、松动,病变范围较大,可导致骨缺损甚至引起骨折。”段阿竹说。
段阿竹进一步表示,如果发现长了牙瘤,需尽早手术切除,否则随着瘤体的增大,发生在下颌骨的牙瘤,会压迫下颌骨内的下牙槽神经,从而出现下唇麻木等症状。发生在上颌骨的牙瘤,可能会压迫眶下神经,出现眶下区皮肤麻木症状。继发感染,还会出现局部炎症和疼痛,如果反复继发感染,会严重影响日常生活。
“不过一般牙瘤不会引起癌变,患者无需过度紧张,及时前往正规医院就诊,并在专业医生的指导下,积极进行相应的手术治疗,多可获得较好治疗效果。”段阿竹提醒,牙瘤手术的实施难度与瘤体生长的位置有关,如果牙瘤处于颌骨内,需要在右下颌后牙区开展手术,术野范围局限以及埋伏恒牙临近下牙槽神经区域,会增加了手术难度和术中风险。
手术中。
小雅的牙瘤就生长在颌骨内,手术难度较大,但在手术中,上海市儿童医院口腔科团队使用了最新的超声骨刀微创去骨法,尽量保留正常的颌骨组织,最大程度保护黏膜组织及正常的恒牙。
手术在全麻下进行,医生在足够空间视野下操作,减少了手术时长,最大限度地减轻了患儿在心理和身体上的恐惧和疼痛。