47岁女子右眼球不能向外看,竟是因为脑神经“短路”
澎湃新闻
一位47岁女子右眼球不能向外看。
4月20日,澎湃新闻记者从上海交通大学医学院附属新华医院获悉,上述女子即该院神经外科接诊到的一名患者。早在两个月前,这名女子突然发现看东西出现重影,右眼球不能向外看,却不知原因,她先后辗转北京、广州等多家医院,检查提示右侧眼球外展运动障碍,诊断为右侧外展神经麻痹。
这名女子做了一系列检查,包括头颅增强磁共振、头颈部血管成像、脑血管造影、腰椎穿刺术等,均未发现明显异常。医生给予其口服B族维生素治疗,但症状不见好转。此后,她又追加激素治疗,不仅症状无明显改善,反而出现明显副作用。
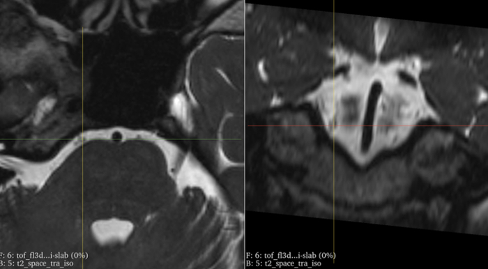
随后,这名女子来到上海交通大学医学院附属新华医院神经外科李世亭教授门诊,经外展神经薄分层核磁共振扫描这一影像学检查发现,她的右侧小脑前下动脉明显压迫右侧外展神经,导致外展神经出现 “短路” 。
患者的外展神经薄层磁共振检查提示:右侧外展神经受压。上海新华医院 供图
如何让麻痹的外展神经再次打通?李世亭团队创新地采用了微血管减压术。这种手术方式目前主要用于治疗面肌痉挛、三叉神经痛,而治疗外展神经麻痹,尚属全国首次。
手术中,这名患者侧卧,李世亭在她的右侧耳后发际内开了一个小切口,随后仔细分离患者小脑前下动脉与外展神经之间的粘连,并将小脑前下动脉移位,然后先置入湿润的明胶海绵,再在明胶海绵与小脑前下动脉之间置入涤纶减压垫棉,严密缝合后,分层关闭切口,整个手术在1个小时内顺利完成。
术后,患者的右侧外展神经功能完全恢复,视力恢复了正常。
“外展神经是成人眼部运动神经中最易受损的一支,外展神经损伤引起的麻痹性复视在临床上常见,发病率为11.3/10万。”李世亭指出,外展神经麻痹与全身系统性疾病关系极大,常见的病因有高血压、糖尿病、动脉粥样硬化等,这些诱因可引起血管冗长变形,进而压迫外展神经。
李世亭透露,以前神经内外科医生对这类外展神经麻痹的患者无计可施,只能给予营养神经、激素等药物,而部分患者症状往往无明显改善。微血管减压术的创新尝试为原发性外展神经麻痹的治疗提供了新的可能,微血管减压术具有微创、手术时间短、效果确切的优点,“在排除了外伤、颅内肿瘤、鼻咽癌肿瘤转移、脱髓鞘疾病、脑血管疾病的引起外展神经麻痹的患者,可行外展神经薄分层核磁共振扫描,观察外展神经脑池段是否受压,在明确受压后,可早期实施外展神经微血管减压治疗。 ”