新浪财经

易误诊的颅内“珍珠”

北京日报

关注

前段时间,36岁的陈先生突然出现头痛、头晕症状,刚开始的时候因为在好好休息后,症状就能缓解,便没有太在意。可没过几天,头部不适症状又出现了,而且反复发作,这才到医院就诊。

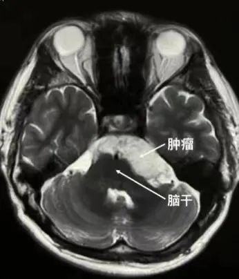
检查后发现,陈先生桥脑小脑角区、桥前池、环池长了巨大“珍珠瘤”。当然,此“珍珠”非彼“珍珠”,而是一种颅脑肿瘤——颅内胆脂瘤。3月20日,北京地坛医院神经外科团队采取显微镜和神经内镜联合成功切除。

头部不适竟是一颗“珍珠”在作祟

陈先生无明显诱因出现头晕头痛,几天后,头部不适症状没有减轻反而加重。到医院检查后的结果,让陈先生大吃一惊。

医生告诉他头痛的原因是脑内长东西了——颅内胆脂瘤(珍珠瘤)。虽然临床上,大多数表皮样囊肿是良性病变,但通过头颅磁共振检查发现,在陈先生桥脑小脑角区、桥前池、环池的肿瘤长约6cm,局部脑干及小脑明显受压,如不能及时解除压迫,随着肿瘤不断增长,将会对周围神经系统形成不可逆性损伤,遗留持久性功能障碍。

双镜联合成功切除

“需要开颅呀,其实现在也没有啥特别大的影响,不就是偶尔头痛,我觉得还能忍!”听到是开颅手术,陈先生有些紧张,后来听医生介绍,这种开颅手术只是在耳朵后边,切开一个直径约6cm小的直切口,通过小骨窗,用显微镜、神经内镜以及显微器械进行操作,这才放心地上了手术台。

3月20日,在北京地坛医院升级改造后的崭新手术室内,麻醉科主任程灏、副主任牛少宁、赵丽琴大夫等麻醉科团队为手术保驾护航,神经外科主任冯恩山主刀,李培亮医生一助,杨博医生二助,王芳电生理监测,李童护士巡回,杜然护士台上配合,在医护人员精心配合下,手术如期进行。

手术开始!冯恩山主任先沿着耳后直切口,逐层切开头皮、肌肉,暴露颅骨,然后使用高速动力系统,磨钻钻孔,铣刀铣下大小约4cmx4cm的骨瓣,控制导静脉的出血,这时就要使用显微镜了,显微镜下冯恩山主任小心剪开硬脑膜,充分释放脑脊液,以降低小脑对肿瘤的阻挡,随后牵开小脑,“漂亮”的肿瘤就出现在眼前,肿瘤呈乳白色,在显微镜灯光的照耀下显得晶莹剔透,宛如珍珠一样。

在十余年的生长过程中,几乎所有的神经和血管间隙里都长满了肿瘤,这时就要非常仔细地从各个角度将肿瘤分块切除,肿瘤位于脑干的前方,稍有不慎,就有可能导致呼吸心跳的改变,肿瘤因为生长较大,有一部分肿瘤从左侧跨过中线长到了右侧,导致一部分肿瘤“死角”无法使用显微镜观察到,这是神经内镜就派上了用场,从已有的手术通道置入内镜系统,在内镜下,所有藏在死角的肿瘤也无处可逃,都被一点一点地移除。电生理监测提示各支颅神经功能完好。经过3个多小时紧张手术终于顺利切除肿瘤。

“这个肿瘤的生长特点给全切带来难度,”谈及手术的难度,冯恩山说,让我们感到棘手的第一个手术难点是肿瘤本身的生长特点,它好发于桥小脑角区、鞍上池及第四脑室等,也就是长在脑袋里面脑脊液流动的各种小水沟、小水池里。这个肿瘤特点是质地较软,见缝就钻,所以生长在脑干、血管与神经之间,并且会向对侧生长,还有就是肿瘤的囊皮会与肿瘤粘连较重,增加神经损伤的风险,从而给手术切除带来难度。

手术极具风险的第二个难点是,陈先生的肿瘤长在脑小脑角区,桥小脑角区的解剖部位非常复杂,存在丰富的神经血管脑组织结构和神经,三叉神经、外展神经、面听神经、舌咽神经、迷走神经、副神经都从桥小脑角区经过。在切除肿瘤的同时,更要保护好神经、血管,不能有一点儿闪失。术中及时、准确的电生理监测为保护各支神经功能提供了保障。

易误诊为三叉神经痛

据冯恩山主任介绍,“珍珠瘤”是一种由胚胎发育形成的先天性良性肿瘤。在早期通常没有什么特殊症状,随着肿瘤的不断增大,就会有相应的临床症状产生。

患者多在30~40岁出现无特征性临床症状,临床上接诊到的,一般是生长压迫三叉神经就引起三叉神经痛症状,约占70%左右,极易误诊为原发三叉神经痛,还有些情况是堵塞脑脊液同类引起头痛、恶心等脑积水的症状。这位患者陈先生2006年就得过一次三叉神经痛,当时只做了对症治疗,并没有进一步检查,所以到今年发现肿瘤的时候,经过17年的生长,肿瘤个头已经很大了。

所以,如果出现头痛,或者三叉神经痛、复视、双影、听力下降、面部麻木、走路不稳等症状,而又迟迟找不到原因时,不妨通过颅脑核磁共振(MRI),排除一下颅内胆脂瘤。早期治疗可以取得好的效果,错过最佳救治时间,导致脑部出现积水等情况,就可能给患者带来致命的伤害。

来源:北京地坛医院

作者:神经外科 李培亮

加载中...