新浪财经

间充质干细胞对卵巢早衰(POF)意义重大 易文赛蓄力相关临床研究为女性带来福音

中宏网官微

关注

    卵巢早衰(POF)不仅导致不孕,还会增加心血管疾病、骨质疏松症和性功能障碍的发生风险,传统疗法收效甚微。目前,干细胞移植已成为卵巢早衰治疗的研究热点之一。

发表在《Reproductive sciences》《中国组织工程研究》上的中外两篇综述均认为,间充质干细胞(MSC)移植是治疗卵巢早衰(POF)中最有效的方法。

卵巢早衰的病因及现状

卵巢功能早衰(POF)是指女性40岁之前由于多种病因出现卵巢功能衰竭,表现为雌激素缺乏、促性腺激素水平升高等指标变化,病情则以闭经或者不孕为主。近年来卵巢早衰呈上升和年轻化趋势。

该病的诊断标准是指:40岁以前出现至少4个月以上闭经, 并有2次或以上血FSH>40U/L ( 两次检查间隔1个月以上) , 雌二醇<73.2pmol/L。 卵巢早衰的发病率在育龄女性中超过1%,在原发性闭经女性中其患病率高达10-28%,在继发性闭经女性中约为4-18%。患有卵巢早衰的女性在身体和精神上都受到严重影响,必须面对不孕症、闭经、骨质疏松症、一些心血管疾病等。

卵巢早衰主要与窦卵泡和颗粒细胞活性低有关,这导致血清中雌激素水平低。激素替代疗法(HRT)仍然是主要的治疗方法,它在一定程度上改善了由低雌激素水平引起的骨质疏松症的症状,但是会增加患癌症的风险,如乳腺癌和子宫内膜癌等疾病。

干细胞被喻为“万能细胞”,近年来颇为火热,成为科学家们探索难治性疾病的新选择。多项干细胞治疗年轻女性卵巢早衰的临床结果表明:干细胞可以让卵巢早衰女性恢复生育能力,改善更年期症状。

干细胞有效恢复患者卵巢功能,改善更年期症状

表1:卵巢的治疗方案、分子机制和生物学效应总结

干细胞具有自我修复和再生的能力,最近对卵巢早衰动物模型以及人体试验的研究表明,多种干细胞移植治疗都可以改善卵巢结构和功能,因此干细胞移植可能是卵巢早衰的有效治疗方法。

表2当前POI治疗的临床结果

1)脐带间充质干细胞(UCMSC)

脐带间充质干细胞(UCMSC)是多能、非造血祖细胞,可以分化成多个细胞系。而且与其他间充质干细胞资源相比,从人脐带收集间充质干细胞的方法更快且无痛。

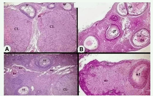
南京大学医学院在脐带间充质干细胞复合胶原卵巢移植的方式治疗卵巢早衰所致的不孕症的研究结果表明:胶原/脐带间充质干细胞移植能够改善患者的卵泡活化和卵泡生长,并有助于卵巢功能的长期恢复,包括卵巢血流和雌二醇水平。而且,有2例患者在移植后成功受孕。

胶原/脐带间充质干细胞移植术后卵巢功能恢复。

2)胎盘衍生干细胞(hPMSC)

人胎盘来源的间充质干细胞(hPMSC)也属于多能、非造血祖细胞,具有高度分化和增殖潜力。与其他类型的干细胞相比,人胎盘来源的间充质干细胞也很容易获得。

动物试验中,静脉注射胎盘衍生干细胞(hPMSC)的小鼠主要通过两种途径恢复卵巢内分泌功能:增加小鼠转化生长因子β(抑制炎症并有助于卵巢功能的恢复)和减少干扰素γ(抑制排卵并促进滤泡闭锁)。

3)骨髓间充质干细胞

骨髓间充质干细胞(BMSC)是一种免疫原性低的成体干细胞,与其他干细胞类似,具有增殖和多能分化潜力,并且在适当的条件下,能够分化成骨骼、软骨和脂肪细胞。具有增强内源性细胞功能和调节免疫反应方面的作用,能被用于修复组织损伤。

此外,骨髓间充质干细胞(BMSC)易于在体外分离和生长。多项临床试验表明,患有POI的女性通过自体骨髓间充质干细胞移植疗法,升高了基线雌激素水平、改善了更年期症状甚至成功受孕。

芝加哥第100届年会 ENDO 2018公布了一项利用自体骨髓干细胞治疗年轻女性的卵巢早衰的研究结果。研究中有2名患者血清激素水平在注射干细胞后3个月开始显著增加,效应至少维持了一年,她们的更年期症状也已经被完全消除!另外,也有6名参与者的月经周期也恢复了正常。

干细胞治疗后,卵巢体积、各级卵泡数等都明显增加

结果显示:接受治疗的一侧卵巢相比对照侧卵巢体积有明显增大,而且患者接受干细胞治疗后也没有出现明显的副作用。

干细胞治疗卵巢早衰前景广阔

卵巢早衰(POF)极大地影响了年轻女性的身心健康,目前主要通过激素疗法来减轻雌激素缺乏症的症状,但疗效欠佳。干细胞具有自我改善和再生的潜力,可以改善卵巢功能、增加卵泡数量、提高性激素水平、减少颗粒细胞凋亡,可用于治疗卵巢早衰(POF)和不孕症。

此外,大量的研究数据和临床表现证明,对于正常女性临近更年期,或者有延缓卵巢衰老的需求都可以接受干细胞治疗。

卵巢早衰是当今医学的一大难题,目前易文赛已启动3项干细胞临床研究项目,其中,包括全面而深入地评价干细胞治疗恢复卵巢功能的安全性和有效性。

据悉,易文赛生物作为专业从事细胞储存、细胞治疗及细胞药物研发的国家高新技术企业,自2009年成立以来,潜心研究,截至目前,易文赛已经建设省级重点企业研究院和浙江省重点实验室,先后承担国家863项目、重点研发计划和省部级重大项目十余项,在细胞制备、存储和治疗技术研究方面拥有有自主专利40多项,发表SCI论文30余篇。易文赛自2017年起布局细胞药物开发,到目前为止,第一款干细胞治疗急性肺损伤I类新药临床试验申请已经被国家药监局受理,第二款治疗特应性皮炎的干细胞药物预计在2023年3月向国家药监局申报临床试验,同时启动了针对其他疾病的专能型iPS新药开发。

同时,易文赛也是浙江省内最早开展干细胞资源库建设的企业,主持制订了《人类间充质干细胞库建设与管理规范》浙江省地方标准,现拥有3000平方符合国家现行细胞治疗产品GMP标准的生产、检测和储存平台,目前细胞储存量超过1万人份,成为浙江省规模最大、储存量最大的综合性干细胞库。

目前,干细胞疗法是人类健康研究的新方向,而干细胞治疗卵巢早衰或可成为患者的新选择,为卵巢早衰引起的绝经、不孕不育等女性患者带来福音,帮助女性留住年轻芳华。易文赛身为干细胞研发与存储的企业,将开拓前行,不断创新,愿为人类的健康赋能,为更多人健康长寿保驾护航。

加载中...