新冠引起突发视力下降,警惕视网膜病变
转自:医学界
切不可大意了!
本文作者:Echo
近期,新冠导致眼部不适频频上热搜,除却眼红、眼痛、眼干等眼表症状,由新冠病毒导致的视力下降也成为了临床工作中的关注重点,本文将总结新冠相关的视网膜病变与各位读者分享。
视网膜静脉阻塞
视网膜静脉阻塞(Retinal vein occlusion,RVO)是由于各种原因引起静脉血栓形成导致血液回流障碍,是中老年较常见的一种眼底血管阻塞性疾病。早期症状表现为轻度视力下降,视物缺损,合并黄斑水肿(ME)时,出现明显视力下降、视物变形、眼前黑影等。研究表明,感染新冠病毒的患者处于促凝状态,D-二聚体、凝血酶原时间(PT)、活化部分凝血活酶时间(APTT)、纤维蛋白原和细胞因子升高,且对于没有高血压、糖尿病或血脂异常等常见全身性疾病的患者也是如此。此外,新冠肺炎患者间歇性缺氧可诱导内皮细胞释放组织因子,引发外源性凝血级联反应,提高了血栓形成的风险。
对于新冠相关的RVO患者,早期高剂量类固醇激素治疗可能有助于炎症标志物和凝血指标趋于正常。对于合并黄斑水肿的患者,可选择抗血管内皮生长因子(VEGF)以及地塞米松缓释剂联合视网膜激光光凝治疗。在有全身合并症并严重感染新冠患者中,应考虑早期抗凝预防。
图 1 CRVO合并黄斑水肿
视网膜中央动脉阻塞
视网膜中央动脉阻塞(Central retinal artery occlusion ,CRAO)是导致视力丧失的眼科急症之一,由于动脉痉挛、栓子栓塞、动脉内膜炎或动脉粥样硬化等原因引起。通常表现为突发性、无痛性的视力急剧下降或丧失,视力预后较差。在已发表的病例中,患者因严重感染COVID-19而导致IL-6、CRP、铁蛋白、纤维蛋白原和D-二聚体等炎症标志物及凝血指标升高,可能导致血管闭塞。在Dumitrascu等人报道的病例中,尽管患者使用肝素治疗深静脉血栓形成,但仍出现不完全CRAO。CRAO是一种急症,有效治疗时间窗很短,急性期治疗包括降低眼压、吸氧扩张血管、按摩眼球等。
图 2 CRAO眼底照相以及OCT
急性黄斑神经视网膜病变
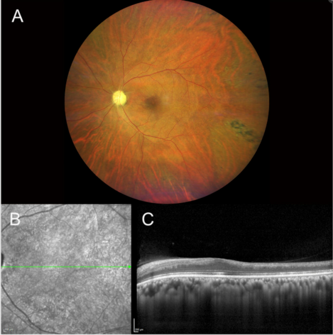
急性黄斑神经视网膜病变(Acute macular neuroretinopathy ,AMN)是一种微血管神经视网膜疾病,多见于年轻生育期女性,表现为视力下降,一个或多个旁中心暗点,黄斑区深红色楔形病灶。目前对AMN病因及发病机制尚不清楚,但已被证明与呼吸道或流感样疾病有关,有学者提出了涉及毛细血管深层神经丛的缺血机制。现已有多个病例报道COVID-19所导致的AMN,主要通过OCT、自发荧光眼底成像以及视野确诊。
OCT表现为急性期外核层和外丛状层的强反射灶;进展期椭圆体带、嵌合体带断裂;后期外核层变薄,嵌合体带断裂。自发荧光眼底成像可呈楔形或轮状、花瓣状。视野呈楔形、环形、圆形或月牙形暗点。OCTA显示AMN深层毛细血管丛血流减少。目前AMN尚无有效治疗方法,据报道54%的AMN患者视力下降的症状长期持续,没有改善,只有29%的患者视力有部分改善。
图 3 AMN合并PAMM(急性旁中心中层黄斑病变)
视神经炎
新冠病毒感染神经系统的症状包括嗅觉丧失、头痛、头晕、缺氧、吉兰-巴雷综合征和缺血性中风。SARS-CoV-2病毒已被证明可引起视神经炎(Optic neuritis,ON)。病毒的神经嗜性被认为是神经和眼部神经的感染机制之一。患者表现为眼球转动痛,色觉异常,视力急剧下降,重者伴有视野缺损以及相对传入瞳孔阻滞(RAPD),两例报道病例均有MOG抗体阳性。新冠感染的MOG抗体相关视神经炎是一种具有病毒前驱症状的副感染性脱髓鞘综合征。该病毒尚未从患者的脑脊液中分离出来,这表明病毒可能不是直接参与的,而可能是一种免疫介导的损伤。可能会出现由新冠病毒感染引发的脱髓鞘神经系统疾病的增加。治疗主要为全身应用糖皮质激素抗炎。
图 4 双眼视神经炎患者
参考文献:
[1]Sen M, Honavar SG, Sharma N, Sachdev MS. COVID-19 and Eye: A Review of Ophthalmic Manifestations of COVID-19. Indian J Ophthalmol. 2021;69(3):488-509.
[2]Montesel A, Bucolo C, Mouvet V, Moret E, Eandi CM. Case Report: Central Retinal Artery Occlusion in a COVID-19 Patient. Front Pharmacol. 2020;11:588384. Published 2020 Dec 23.
来源:医学界眼科频道
责编:田栋梁
校对:臧恒佳
编辑:赵 静