新浪财经

掰手腕,张新成骨折

南风窗

关注

近日,演员张新成录制综艺节目时,在“掰手腕”环节意外手臂骨折。

《我们的客栈》节目组发表道歉声明

张新成,1995年8月24日出生于湖北省荆州市,中国内地影视男演员、流行乐歌手,毕业于中央戏剧学院。代表作品:《你好,旧时光》《大宋少年志》《冰糖炖雪梨》《以家人之名》《变成你的那一天》。

扳手腕骨折并非个例

手臂有弱点,使用不当易骨折

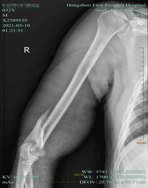
杭州市第一人民医院骨科江武医师说,因为扳手腕而骨折的病例并不少。

一年多前,他接诊过一例扳手腕骨折的病例至今印象很深。也是一个小伙子,酒后和朋友扳手腕后,手臂一阵剧痛,马上肿起来了。到医院一检查,发现发生了“肱骨干断裂”,而且情况很严重,骨头已经变成了“螺旋状”。

最后,因为他的螺旋形骨折移位太严重,没办法保守治疗,最后采用了手术用钢板内固定。“可以说是因为一个小游戏,吃了大苦!”江医生说。

看似强壮的手臂,怎么会说折断就折断?

江医生表示,由于解剖原因,肱骨中下段承受的剪切力下降。平时手臂可以承受很大的牵引力,我们可以拎起很重的重物。在扳手腕的时候,肱骨中下段承受横向的剪切力,但它承受剪切力的能力弱,如果扳手腕时姿势不当就有可能发生骨折。

肌肉发达不一定安全,越是青壮年越要当心

一般来说,大家印象中,容易骨折的要么是孩子,要么是骨质疏松的老人。一身肌肉的张新成怎么会这么脆弱呢?

对此,江医生表示,成也健身,败也健身,张新成的骨折很大程度上和他发达的肌肉相关。

在扳手腕僵持的过程中,肌肉持续在发生剪切力的作用,肌肉越发达,剪切力越大。此时,骤然发力就超过了骨头承受的极限,容易导致悲剧发生。

江医生说,相对于儿童和老人来说,他们的骨头质量比青壮年低,肌肉收缩的力量也都比青壮年低,所以反而不易发生事故。

临床上发现,发生这种意外的多数是青壮年。所以,青壮年玩这种游戏要格外小心。

春节期间扳手腕可以,但要用对方法

春节假期,大家聚会中难免会玩一下扳手腕游戏。那么,这种游戏是不是不能做了?江医生表示,可以做,但要用对方法。

扳手腕前做好热身运动,给予肌肉和骨骼适应的过程。

手腕要放在中立位,不要太前或者太后。

发力时循序渐进,没把握不要横向发力,避免突然发力造成骨折悲剧。

侧向用力时,用整个手臂的力量,肘部紧贴身体。

总之,扳手腕是一种娱乐游戏,友谊第一,比赛第二,以免发生意外,得不偿失。

来源:健康杭州

加载中...