新浪财经

22岁男性,7年间逐渐视物不能,病因太罕见了

市场资讯 2023.01.10 20:18

转自:医学界

一名青年男性,自15岁时出现单眼视力下降,2年之后,另一只眼睛视力也直线下降,这类异常症状仅仅是用眼过度还是另有蹊跷?

2022年4月16日,中国罕见病联盟神经系统罕见病专委会第2次学术年会上,来自首都医科大学附属北京同仁医院神经内科的赵娟医生给我们带来了一则精彩病例。让我们抽丝剥茧,找到疾病真凶。

患者杨某,男,22岁,自由职业者。

主诉:右眼视力下降7年,左眼视力下降5年。

现病史:

  • 患者7年余前(2015年)出现右眼视力下降,1月达峰至60cm指数水平,无眼痛,当地诊断为“神经炎”,予以“口服强的松12片/日并每周减1片”,同时“局部注射鼠神经生长因子”,裸眼视力恢复至0.03。

  • 5年前(2017年)左眼视力下降,4-5天达峰至0.01(裸眼视力),伴有转眼痛,当地诊断为“视神经炎”,予以“甲强龙500mg,qd*3天→80mg,qd*3-4天→口服强的松55mg,qd(每周减1片),视力无恢复。

既往史:体健。

体格检查:神志清楚,言语流利,高级皮层功能正常。近视力下降。瞳孔对光反射:灵敏,眼底:双视盘边界清,色淡。RAPD(-),余颅神经正常。运动、共济、感觉正常,病理征(-)

辅助检查:

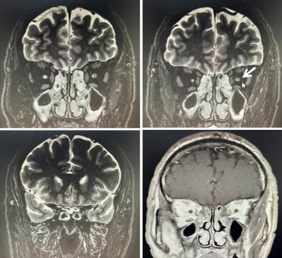
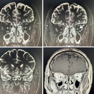
  • 视神经MRI:右侧视神经眶内段至颅内段变细、信号增高。左侧视神经眶内段变细、信号增高,无强化。

  • 血常规、CRP、ESR、肝肾功能、电解质、免疫四项、甲功均正常。

  • 抗核抗体、抗ENA抗体谱、抗dsDNA抗体、ANCA、HLA-B27均(-)

  • 腰穿:压力145mmH2O,常规、生化、病毒五项、IgG鞘内合成率正常。

  • ECG:窦性心动过缓,早期复极综合征。

  • 颅脑MRI:左侧基底节区腔隙灶不除外,双侧上颌窦黏膜增厚。

如何定位、定性诊断?

位诊断:

患者临床表现为双眼视力下降,体格检查发现双视盘色淡、右侧视野缺损,影像学检查视神经MRI见右侧视神经萎缩、双侧视神经不同、节段信号增强。因此,定位于双侧视神经。

定性诊断:

根据MIDNIGHTS原则(M-metablism,代谢性;I-inflammation,炎症;D-degeneration,变性;N-neoplasm,肿瘤;I-infection,感染;G-gland,腺体,内分泌;H-hereditary,遗传;T-toxication,中毒/trauma,外伤;S-stroke,卒中)我们进行逐一排除诊断。

1. 肿瘤(N):依据患者临床表现,肿瘤方面应考虑是否为内源性视神经浸润性肿瘤,但患者影像学未见占位病变,因此排除。

2. 腺体(G):腺体原因引起的视神经病变多为甲状腺相关眼病性视神经病变,或者眶内容物容积增加压迫视神经,但该患者甲功正常,因此不做考虑。

3. 感染(I):若为急性感染多为急性起病,来势凶猛,患者应该有发热,ESR和CRP增高等表现,若为慢性感染,一般考虑梅毒、结核、乙肝、莱姆病等原因,患者没有感染证据,因此排除。

4. 中毒(M)和代谢(M):这两类疾病多为双眼对称性、缓慢进行性视力下降,且可以找到毒物暴露史或者代谢相关的实验室检查异常。该患者双眼先后起病,没有中毒的病史和代谢的异常,因此排除。

5. 外伤(T)和卒中(S):患者没有颅脑外伤史,没有卒中的危险因素和血管损伤的影像学表现,因此排除。

6. 遗传(H):遗传性原因多有家族史,变性病多缓慢起病、进行性加重。患者家系未见相同患者,遗传原因不做首选考虑,但也不能完全排除患者为新发变异。

最终,我们考虑患者最可能为炎症性(Inflammation)原因,视神经炎(Optic Neuritis,ON)所致,但也不能完全排除遗传性原因。

进一步分析

考虑患者为ON所致,进一步对ON的病因进行分析:

  • 感染性或感染相关性ON:多为单眼或双眼急性或亚急性起病,临床表现可见视神经乳头炎、球后视神经炎、视神经网膜炎、球后视神经周围炎,多因病原体感染所致,预后差异较大。该患者CSF正常,血常规、ESR、CRP正常,因此排除。

  • 自身免疫性ON:多见于青中年女性多见,视力损害较重,恢复较差,多有视乳头水肿,少数伴盘周片状出血,可合并多个系统和器官损害以及自身免疫抗体阳性。该患者无自身免疫性疾病,自身免疫抗体谱阴性,因此排除。

  • 遗传性ON:一般为Leber遗传性视神经病变(Leber hereditary optic neuropathy,LHON),该患者不能排除。

诊疗过程

考虑患者可能为Leber遗传性视神经病变,医生对患者进行了线粒体DNA全长测序,找到了m.14502T>C突变。因为该患者的母亲没有携带该突变,因此,考虑患者突变为新发突变。

最后诊断:Leber遗传性视神经病变(LHON)

 讨论 

  • LHON是一种母系遗传的、以视网膜神经节细胞变性为特征的亚急性视神经病变,由线粒体基因组突变引起。

  • LHON是首个发现与线粒体DNA(mtDNA)点突变相关的人类疾病。

  • 目前已发现超过30种mtDNA突变可导致LHON,大多数病例与三个原发突变位点有关,分别是m.11778G>A、m.14484T>C和m.3460G>A突变。

  • LHON最常开始于青少年晚期,然而,发病年龄、临床表现和结局存在变异。

  • LHON临床表现多为急性或亚急性双眼无痛性视力下降和中心视野缺损,晚期通常造成严重的永久性视力丧失,主要累及男性。

  • LHON通常不伴肌病,但一些患者会表现出运动障碍或心脏传导缺陷。

  • 当临床表现不典型或没有明确母系遗传史时,进行基因检测是明确诊断的重要方法。

  • 关于LHON的治疗方案,目前认为线粒体的“鸡尾酒”疗法可以改善线粒体功能,改善患者症状。

来源:医学界罕见病频道

责编:田栋梁

校对:臧恒佳

编辑:赵   静

加载中...