新浪财经

中金:医学影像设备3大核心增长驱动力,国产化率持续提升的大背景下,国产品牌或享有较大发展潜力

市场资讯 2022.11.04 07:50

医学影像设备:自强不息,历久弥新

来源:中金点睛

我们对当下医学影像产业链梳理并对海外龙头核心竞争力进行剖析,分析国内医学影像行业边际变化和市场潜力,建议积极关注细分赛道投资价值。

摘要

医学影像,构筑疾病诊疗量化评价体系的基础工具。基于影像学的各类设备产品(CT、MR、X线机、超声、分子影像等)的检测和治疗,是目前多数疾病干预前的基础性诊断选择之一。作为技术驱动性行业,海外巨头持续引领行业前沿技术应用发展,而中国医学影像产业起步较晚,目前正处于快速成熟期,平均水平较国际或仍有一定发展差距。我们认为,虽然现阶段国内医学影像设备的高端产品仍由外资品牌主导,但随着影像产业链上游供应链国产替代程度的提升,以及国产品牌设备性能的持续赶超,国产厂商或开始进入重要发展阶段;同时,我们预计医疗新基建的持续发力,也有望催化国内医学影像设备市场在近年迎来商业化放量机遇。

他山之石,从全球影像产业龙头公司看发展竞争力。海外龙头GE、飞利浦西门子医疗经历数年积淀,2019年全球市场份额合计65%。我们认为:

► 过去:产品质量有保障、供应链自主把握、下游客户有粘性三方面要素的兼顾与平衡,构筑了龙头公司在过去数十年的核心发展竞争力。

► 未来:面对当下愈加多样化的临床需求,龙头公司坚持下游临床需求为核心的深度合作策略,使其得以快速响应并全面、系统落地各种先进设备产品和数字化、智能化应用,保证品牌在新时代下历久弥新。

我们认为,对于国产厂家而言,在技术和产品不断迭新的时代,卓越的设备产品性能是商业化竞争基础,而搭建起完备自主的供应链和下游商业化生态,并提供针对下游临床需求的完善解决方案的公司,则有望脱颖而出。

多层次需求塑造稳健市场潜力,细分产品方向发展阶段各异。我们认为,国内市场核心增长驱动力主要包括:1) 我国医疗影像设备每百万人口保有量较发达国家相比存在较大提升空间,基层市场及高端设备渗透率双指标有望不断提升;2) 近年医疗新基建有望持续发力;3) 伴随上游核心零部件逐步国产化,全产业链国产化率提升大势所趋。我们测算得到,2025年中国医学影像设备市场规模达695亿元(2020-2025年复合增速6.8%),整体增长稳健,而在国产化率持续提升的大背景下,国产品牌或享有较大发展潜力。

风险

研发失败风险;控费政策力度超预期;医疗事故风险;贸易摩擦超预期。

正文

报告逻辑框架和投资亮点概览

多因素催化国产医学影像市场发力。随着影像产业链上游供应链国产化率的提升,以及国产品牌设备性能的持续突破赶超,国产厂商或开始进入重要发展阶段;同时,我们预计医疗新基建的持续发力,也有望催化国内医学影像设备市场在实现商业化放量和快速成熟。

海外龙头竞争力拆解。通过对全球影像产业龙头公司的剖析,我们发现对于国产厂家而言,在技术和产品不断迭新的时代,卓越的设备性能是重要基础,而搭建起完备自主的供应链和下游商业化生态,并实现针对下游临床需求的完善、系统性解决方案的公司,则有望脱颖而出。

未来市场潜力量化测算。基于上述分析,我们测算得到中国医学影像设备2025年市场规模或达695亿元(对应2020-2025年复合增速6.8%),整体增长稳健,而在国产化率持续提升的大背景下,国产品牌或享有较大发展潜力。同时,考虑到影像技术和产品持续升级丰富,我们预计未来市场或仍有进一步扩容潜力。

图表:报告全文逻辑框架和行业投资亮点概览

医学影像技术,构筑疾病诊疗量化评价体系的基础工具

医学影像设备奠定现代化医疗技术体系重要基石

影像诊疗设备持续发展,构建现代化医疗技术体系重要基石。依据成像原理不同,临床用医学影像设备主要分为X射线、CT扫描、核共振成像、核医学(PET)以及超声等。由于各种设备的信息载体不同,其诊断特点及适用范围不同,在临床诊断上互相补充,具备不可替代的作用。基于技术迭新和临床需求不断驱动,各类影像学诊疗产品持续发展,逐步成为出现代化基础医疗技术体系重要基石。

图表:影像诊疗设备产品持续发展完善,构建现代化医疗技术体系重要基石

底层技术趋于成熟,设备呈现多项功能应用融合发展。单体影像设备而言,核心底层技术及软硬件产品发展趋于成熟,而临床对成像和功能性应用需求的持续提升,也催生功能相对局限的单体设备逐步走向功能协同的一体化融合发展:

► 多模态诊断一体化,基于不同成像原理下的优势互补:医学图像所提供的信息包括解剖学结构(如CT、MRI、超声等)和功能学信息(如SPECT、PET等)。为了更好把握病症发展阶段,融合性影像设备如PET/MR、SPECT/CT等,成为医学影像设备的重要方向。

► 诊断+治疗一体化,从“诊断、治疗”到“诊断+治疗”:放射治疗技术作为当前治疗恶性肿瘤的重要手段,需要在精准引导下定向杀伤病变组织及结构。过去独立、割裂的诊断/治疗环节无法满足复杂临床应用需求,设备功能也正朝向诊疗一体化发展。以一体化CT-RT为例,该设备真正实现了“精确定位、精确计划、精确治疗”的图像引导放疗功能。

医疗新基建提速和国产品牌技术突破,催化国内医学影像市场迎来发展新阶段

技术驱动型行业,海外巨头引领行业发展前沿。自1895年伦琴发现X射线后,各类影像设备相继问世。进入20世纪末,全球医学影像技术持续优化,各类影像设备向着更快、更准、捕获更多信息的方向发展。

中国医学影像产业起步较晚,目前正处于快速成长期。相较于欧美影像设备厂商于20世纪后半期已进入快速发展期,中国于20世纪末才开始逐步拥有国产影像设备整机生产能力。根据亿欧咨询数据,2020年中国影像诊断技术比全球技术大约落后5-10年,仍处于快速成长期。

图表:全球及中国医学影像设备产业发展沿革

注:MR设备检测不基于X射线和电离辐射,但整体发展脉络与行业相契合

资料来源:中国医疗器械杂志,亿欧咨询,西门子医疗公司官网,奥泰医疗公司官网,CERN,中金公司研究部

中低端市场国产品牌发展稳固,高端产品领域仍由外资主导。我们认为,医疗影像设备的研发整体技术门槛高,研发投入较大且周期较长,导致中小品牌较难形成全面的产品管线。

国产厂商大多选择从特定细分产品切入布局,较少品牌真正形成完善的影像产品矩阵,且国产品牌过去更多聚集在技术难度相对较低的中低端产品线市场,高端产品领域仍由外资主导。以CT为例,根据灼识咨询数据,2020年中国64排以下CT国产化率已经达到65%,而64排及以上CT的国产化率仅为35%。

上游核心零部件供应链国产化,带来下游设备厂商研发和经营效率优化。根据弗若斯特沙利文数据,医疗影像设备成本结构中,核心零部件占比较高,同时也是设备整机性能的关键。由于核心零部件产品技术工艺壁垒较高,我国大部分高精尖医疗设备产品零部件供给主要依赖进口,导致上游外资供应商具备较强势议价能力。

另一方面,随着国产供应链水平的整体优化,整机设备相关技术和产品性能的更新迭代速度也持续加快。我们认为,近年来上游中国企业加快推进产品自研和优化,有望逐渐打破外资垄断格局,供应链国产化逐步完善有望实现下游设备厂商的经营效率优化。

图表:单台医疗影像设备核心器件平均成本占比(2020)

图表:CT核心球管部件实现供应链部分国产化

行业前沿“里程碑式”突破有所放缓,国产厂商近年逐步攻克高端产品技术壁垒。随着海外龙头公司产品“里程碑式”突破有所放缓,医学影像设备行业逐步进入到成熟技术的平台期阶段,转而更多聚焦在基于临床需求和产品性能的针对性优化。全球行业前沿的跨越式突破放缓,给予国产企业宝贵的技术攻坚窗口期。针对部分国产品牌自主研发的创新医疗器械而言,在产品技术层面上与跨国公司已无显著差异,而在性价比层面或具备一定优势。

图表:近年CT销量前十品牌中,国产份额逐步抬升

注:基于医招采公开招标数据,口径可能与全国层面实际情况略有出入;

资料来源:医招采,中金公司研究部

图表:近年MRI销量前十品牌中,国产份额整体抬升

注:基于医招采公开招标数据,口径可能与全国层面实际情况略有出入;

资料来源:医招采,中金公司研究部

专利持续完善,国产品牌医学影像技术护城河逐步拓宽。根据动脉网数据,2010年以来,国内涌现如联影医疗、安科、东软医疗等一批代表性医疗设备公司,相关医学影像相关专利申请数量也快速上升。2015年国务院印发《中国制造2025》,提出重点发展影像设备[1],推动我国医疗装备产业实现快速发展。

新基建浪潮催化医疗设备配置需求提升。2020年疫情爆发,医疗卫生体系在国家发展中的战略地位持续凸显。疫后时代,医疗新基建相关政策进一步催化高等级医院和基层医疗卫生体系的完善和强化。我们认为,随着医疗卫生体系保障水平的进一步提升,各层级医疗卫生机构的医疗设备配置需求前景明确:

不同于耗材类医疗器械,医疗设备主要作为固定资产采购入院。不同于消耗快速、采购量较大的耗材类医疗器械,医疗设备整体具有更长的使用寿命,且单台设备采购资金量较大,采购后主要作为固定资产在医院入账。单次采购不仅以单个影像科室为主导,更以院级领导及多科室共同商议决定为主。

医疗设备采购活动多为卫健委主导,医保基金控费为目标的集中采购影响或相对有限。大型医疗设备采购一般是各地方卫健委所主导,但部分区域的采购活动则由医保局所管辖(如安徽省)。我们认为,不同于以医保基金控费为主的药品及耗材采购,医疗设备采购基本以财政补贴和医院自有资金为主,基本不涉及医保资金消耗。

考虑到医保局主导下的安徽及深圳设备集采活动的降价幅度相对温和,我们认为未来部分由医保局所主导的区域性医疗设备集中采购活动,降价影响或相对有限。

图表:广东省、安徽省医疗设备集中采购情况梳理

配置证放开,或加速国产品牌崛起进程。医学影像设备单价相对较高且需要专门的采购资质审批,需要持有政府颁发的相应配置证才能予以购置。根据2020年卫健委新颁布的《2018-2020大型医用设备配置规划》,文件规划对各类型医学影像设备配置数均有不同程度上调。我们认为,在国产产品性能持续赶超、性价比持续提升,以及医疗新基建带来的增量需求下,未来配置证的进一步放开或将加速国产品牌崛起的进程。

图表:2020年新版《2018-2020大型医用设备配置规划》对各类影像设备配置数进行上调

产业链结构性调整优化,带来全行业扩容机遇

传统医学影像产业链主要以设备产销为主。传统医学影像产业链的上中下游分别由零部件供应商,影像设备制造商以及终端应用场景构成。随着下游需求的不断演化和数字化趋势渗透下,产业链参与者类型和业务形式也逐渐丰富。

图表:医学影像设备产业链概览

中国医学影像设备市场规模增速快于全球市场水平。尽管中国影像设备产业整体起步较晚,但受技术水平突破、产业政策扶持、医疗行业总需求持续提升等因素驱动,中国医学影像设备市场规模近年增速快于全球市场水平。根据灼识咨询统计,2015-2020年全球医学影像设备市场规模复合增速为3.3%,而同期中国市场增速为12.4%。

图表:全球医学影像市场规模(2015-2020)

图表:中国医学影像设备市场规模(2015-2020)

分级诊疗及医联体持续推进,有望催化下游医疗客户结构更加多元化。随着分级诊疗和医联体的不断完善,各层级医疗卫生体系对于大型医疗设备采购的需求逐步提升。考虑到以医学影像设备为主的大型医疗设备整体采购金额较高、且不同层级医疗体系的诊疗水平和需求存在差异,以县域医共体为载体的第三方影像中心亦逐步兴起,成为承载基层地方性影像检测需求的重要支柱之一。

他山之石,从全球影像产业龙头公司看发展竞争力

通用电气公司医疗板块业务(GE医疗)、飞利浦公司医疗板块以及西门子旗下独立上市子公司西门子医疗(后文三家公司合并时,简称GPS),历经数十年积淀,实现当前合计市场份额占全球医学影像总市场过半。

我们尝试从海外巨头的成长及壮大过程中,发掘医学影像行业未来发展逻辑脉络,以及头部公司如何实现核心竞争力经久不衰,从而为国内医学影像行业和标的尝试进行借鉴。

头部公司主导全球市场发展,新兴区域市场贡献增长新动能

头部公司主导全球市场发展格局。GPS三家公司是全球医学影像设备行业的先行者,海内外医学影像设备市场(尤其是高端医学影像设备)近年来由GPS三家公司所主导。根据YOLE Development数据,2019年全球影像设备市场中,GPS三家公司合计份额共计超65%,较后续公司有显著份额差距,为第一梯队龙头。

► GE(医疗板块):聚焦医疗设备全面布局。

► 飞利浦(医疗板块):融通2B/2C,横跨专业医疗保健和消费终端市场。

► 西门子医疗(SHL.DF):一体化疾病预防和诊断解决方案供应商。

图表:GPS三家公司基本信息及行业格局概览

内生外延夯实全产品线竞争优势,服务业态完善沉淀百年品牌。通过分析GPS三家发展历程变迁、业务结构调整及财务指标变化,我们认为GPS之所以能在全球医学影像市场持续保持核心竞争力,主要凭借产品质量有保障、供应链自主把握、下游客户有粘性三方面构筑商业模式壁垒。同时,以实际临床需求为核心的产品开发和下游合作,能令头部公司快速响应快速变化的各种临床需求,因此在技术不断迭新的时代,依然维持市场竞争力经久不衰的龙头地位。

图表:GPS发展核心竞争力梳理

技术引领行业发展,内生外延构筑全产品线竞争优势

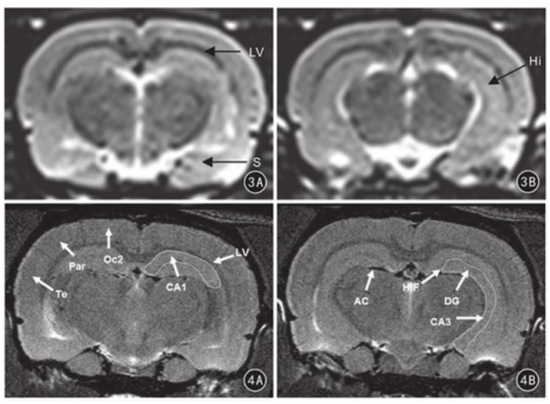
龙头公司产品性能卓越,引领行业实现技术突破。产品性能是GPS三家公司的重要竞争力,一线厂商的技术实力基本代表行业最前沿水平,持续引领整体行业发展。以7.0T核磁技术为例,该技术能够提供数倍于传统3T磁共振的信噪比和空间分辨率,西门子7.0T MR于2017年获得CE认证,GE医疗也于2020年推出7.0T核磁并获得FDA批准。

根据2019年《中国医疗设备》杂志社开展的调研数据,影像类医疗设备类别中,医院回购率前三名全部被GPS三家公司包揽,其产品性能和内生研发技术受到下游广泛认可。

图表:7.0T核磁(下方)与3.0T核磁(上方)图像对比,清晰度显著提升

资料来源:李月峰等《基于灰度差分法的7.0 T及3.0   T MRI测量正常大鼠海马容积的对比研究》(2017年),中金公司研究部

图表:2019年中国医疗设备行业数据及售后服务调研情况,GPS公司在下游认可度明显

内生外延并重,全产品线布局是业务拓展重要基础。产品线的完善和适配亦是下游客户认可度和采购意愿的重要考量因素。然而,大型医学影像设备研发工艺难度高,性能验证周期较长,内生研发资金投入较大,因此除重视内生研发投入外,外延并购也是头部公司的重要战略。

图表:GPS并购历史概览,内生+外延持续夯实全产品线布局

产业链布局思维实现供应链完备自主,塑造全球化商业竞争力

布局医学影像设备上游核心零部件设计生产,实现成本及供应链高度可控。医疗影像设备上游核心电子器件是影响医学影像设备性能的关键之一,也是生产成本的重要组成部分。以CT球管为例,GPS三家公司均实现材料的自供,甚至对外销售。我们认为,对于医学影像设备的上游核心零部件自主把握,成为产品商业利润及供应链保障的重要基础。

图表:联影CT毛利率随零件外购比例下降而提升

全球化布局 + 本地化部署,实现产品全球化商业竞争力。GPS三家公司通过逐步建立起完备的全球产业链,并在全球主要地区部署本地化的生产与制造中心基地,引入当地劳动力,实现产品制造成本优化。同时,供应链全球化布局也能够建立起完备的物流网络和销售渠道,保障供应链稳定性,实现产品全球化商业竞争力。

图表:西门子医疗和GE医疗生产制造中心遍及全球

注:数字代表该地区生产设立制造中心数量

资料来源:GE公司官网,西门子医疗公司官网,自然资源部,中金公司研究部    

以临床需求为中心,产品+服务强化下游生态粘性

注重下游临床实际需求,产品+服务沉淀百年品牌。GPS三家公司均在影像板块建立了CT、MR、PET、超声等全面的产品线布局,并在各个产品线内形成有梯度的产品矩阵。随着临床对于医学影像检测中具体需求的变化,各公司持续沟通并进行内部反馈调整,完善产品性能布局。

图表:西门子医疗提供多元、完善的下游临床服务业务类型

图表:西门子医疗影像板块收入中,服务类收入占比达到40%(2017FY)

下游建立长期合作关系,多元合作方式保持客户高粘性。第三方影像中心是美国影像诊断市场的重要组成部分,针对该类型下游客户,GPS三家公司均采取了多元化的合作方式,如长期销售协议、合作共建影像中心以及共同开发技术等,基于临床需求实现技术和产品开发合作,保持下游客户高粘性。

图表:GPS与下游客户开展多元合作模式

打造开放式平台孵育潜力技术,实现百年企业历久弥新。面对快速迭新的前沿技术和日益变化的临床需求,GPS三家公司除持续内生研发创新投入外,亦重视搭建创新生态平台,以实现潜在业务和技术合作伙伴的开发和孵育。

临床需求是创新源泉,下游需求系统性承接和落地是发展核心竞争力

对于图像清晰度、检测诊断准确度和应用的成本效率是下游的基本应用需求,而智能化、小型化、便捷性则是临床近年持续涌现的新诉求。面对各种应运而生的临床需求,如何将复杂、多样化的下游需求进行全面、系统性落地,我们认为是头部公司未来发展的核心脉络。

技术驱动型行业,基于临床需求的创新是源动力。作为具备较高技术壁垒的行业,影像设备创新始终以临床需求为源动力。以各类型肿瘤为例,各类疗效评价标准中,影像学检查方式是判断疗效的重要量化手段。

图表:以下游临床需求为创新源动力,GPS创新产品推动行业技术前沿发展

临床需求呈现多元发展,下游需求系统性落地的能力是企业未来发展核心竞争力。我们认为,随着临床端需求逐渐从单一的疾病诊断治疗逐渐向筛查、诊疗、科研、患者管理等多元需求发展,产品性能是医疗机构在临床的基础需求,而对于其他各类衍生需求的系统性、全面落地则是企业未来发展核心竞争力。

面对下游临床和科研应用中出现的各类型新兴需求,以GPS为代表的国内外行业龙头也能解及时响应,从单一影像设备研产销,转向以数字化为依托的下游需求整体解决方案,实现下游需求的系统性承接和落地。

图表:以GE医疗为例,基于数字化平台Edison platform提供整体解决方案

多层次需求塑造稳健市场潜力,细分产品方向发展阶段各异

中国医疗器械行业整体稳健增长,医学影像设备占据较大份额。中国医疗器械行业整体起步相对较晚。根据亿欧咨询数据,2010年中国医疗器械市场规模仅为179亿元,占比全球市场5.5%,但近年持续发力,复合增速显著高于全球发展水平,其中医学影像设备占据较大份额。

图表:全球医疗器械细分市场情况(2018年)

图表:中国医疗器械细分市场情况(2018年)

各细分产品国产化率不一,医学影像设备方向或有望进一步提升。作为医疗器械领域重要组成部分,医学影像设备各类型产品中,高端产品仍由进口品牌主导。我们认为,随着国产品牌产品性能的赶超以及上游供应链的逐步国产替代,影像诊断设备产品国产化率有望进一步提升。

图表:医疗设备及器械各细分产品国产化率分布概览(2020年)

注:1)气泡大小代表代表相应子行业市场规模相对体量;2)部分子行业增速受到2020年疫情影响;3)上表部分细分行业气泡图信息为中金公司估算结果,或与行业最新的实际情况有所偏差,仅供参考;

资料来源:亿欧智库,沙利文研究院,前瞻产业研究,中金公司研究部

我们测算中国医学影像设备2025年市场规模或将达到695亿元(对应2020-2025年复合增速6.8%)。本篇报告测算范围,主要针对CT、MR、X线机(XR)、分子影像(MI)和超声设备产品。考虑到影像技术和产品持续升级,设备产品和应用持续丰富,我们预计未来市场或仍有进一步扩容潜力。

我们认为,国内医学影像设备核心增长动力主要包括:1)我国医疗影像设备每百万人口保有量较发达国家相比存在较大提升空间,基层市场及高端设备渗透率有望不断提升;2)近年医疗新基建有望持续发力;3)伴随上游核心零部件逐步国产替代,国产替代浪潮已至。

测算结果对应2020-2025年复合增速为6.8%,虽然增速不及耗材、药品等细分医疗赛道,但我们预计,基于国内医疗新基建提升以及国产化率提升的大背景,对国内公司而言或有较大发展机遇和标的投资价值。

图表:中国影像设备细分市场情况(2020)

图表:中国影像设备细分市场情况(2025E)

注:CAGR指2020-2025年复合增速,2025年市场规模为CICC测算;

资料来源:灼识咨询,中金公司研究部

[1]http://www.gov.cn/zhengce/content/2015-05/19/content_9784.htm

文章来源

本文摘自:2022年11月3日已经发布的《医学影像设备:自强不息,历久弥新》

分析员 冯喜鹏 SAC 执证编号:S0080521050002 SFC CE Ref:BRF841

分析员 张琎 SAC 执证编号:S0080517040001 SFC CE Ref:BHM689

联系人 陈诗雨 SAC  执证编号:S0080122010065

分析员 邹朋 SAC 执证编号:S0080513090001 SFC CE Ref:BCC313

加载中...