新浪财经

女子乳房两年内从B杯→Q杯!医生提醒:这种病症恐会影响生命……

环球网

关注

来源:西湖之声

两年时间,两次怀孕均遗憾失败,然而女子乳房的罩杯却“突飞猛涨”,从B到F再到惊人的Q。

来自广东茂名的王女士(化名)今年29岁,身高1米56。

在2年前,原本55公斤的她首次怀孕后双乳突然肿大,伴间断性胀痛,短短3个月时间乳房罩杯变从B迅速发展为F,然而胎儿却没有保住。抱着侥幸心理的她今年又怀孕后,乳房罩杯从F发展到现在的Q,体重增加了近30斤。

“两度怀孕、引产后,我注意到自己的胸部越来越大,大得异常。过大的胸部已经严重影响了我的日常生活,不仅颈部、背部疼痛,生活起居不便、运动能力受限,个人精神状态都备受困扰。因怕被人笑话,我不敢出门,更不敢去幼儿园面对孩子们……”王女士哽咽说道。

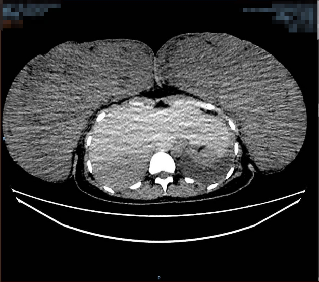
该患者胸部增强CT术前(左图)术后(右图)对比图,其中术前大小约:267mm×100mm×293mm(左),125mm×270mm×340mm(右)

医生初步诊断王女士为双侧多发实性结节、乳房肥大症(巨乳症),乳房体积明显增大,下垂严重,乳腺腺体结构紊乱伴增生。乳房组织受内分泌系统影响非常大,孕期随着雌性荷尔蒙的分泌,乳房随之增长其实是很常见的情况。但像王女士如此明显的变化确实十分少见。

医生给王女士进行了手术,全程历时近9小时,术中切除多余的乳腺组织共26斤,同时顺利进行乳头乳晕复合组织瓣移植,重塑双侧乳房。

目前,王女士恢复良好。

医生提醒

乳房是由乳腺组织及脂肪组成的,乳房的大小由它们决定。胸部之所以会长大是因为随着女生进入青春期,雌激素开始大量分泌,促进乳房发育,乳房开始增大直到18岁左右。

但在怀孕、哺乳期等特殊时期,乳房可能会出现暂时性膨大。如果在生完孩子之后,乳房依旧增长迅猛,就要引起重视,这可能是乳房出现问题了。医生提醒:对于快速增长的乳房,应尽早明确诊断,避免增加患者负担及治疗难度。

巨乳症又称乳房肥大、大乳房或巨乳房,是指女性乳房过度发育,含腺体及脂肪结缔组织过度增生,体积超常,与躯体明显失调。这种病多见于青春期少女或青年女性,造成巨乳症的原因是乳腺及脂肪结缔组织对雌激素异常敏感。

医生表示,乳房缩小整形术具有治疗及美容的双重意义。许多巨乳症患者由于体型欠美,会丧失信心、逃避社交,容易排拒社会活动、滋生病态心理。如果有这方面的困扰,建议应尽早就医,根据专业医生的建议决定是否手术。

另外,部分巨乳症患者术后仍能正常哺乳。

加载中...