医生在她的脑中发现子宫组织:忍受10年痛经才能确诊,这种疾病至今无法治愈
每十名女性中,就有一人患有这种疾病,但一名患者从出现症状到确诊平均要花 7~10 年。
图片来源:Hey Paul Studios,CC BY 2.0.
撰文 魏潇
Sarah Hillstead 今年 43 岁,是一名生活在美国的普通女性,但她的求医经历却并不普通。从 12 岁第一次来月经的那一刻起,她的身体就开始遭受攻击。定期造访的“大姨妈”对 Sarah 来说等于灾难,她所忍受的疼痛远远超出了普通范围——如果用 1 到 10 来给疼痛评分,她会打 50 分。除此之外,她还要忍受异常多的出血量,有一次流血甚至持续了 41 天。
Sarah 就这样忍受了近十年,直到二十多岁时才弄明白自己到底是哪里出了问题。医生在手术中发现,本应随着月经周期定期脱落的子宫内膜细胞出现在了匪夷所思的位置,它们扩散进了 Sarah 的心脏和肺部,甚至进入了她的脑干。一名女性一生中大约要经历 500 次月经,在每个月经周期里,这些出现在错误地点的子宫组织仍然会和它们的“大部队”保持同步:随着雌激素和孕酮的涨落周期,“错位”的子宫内膜在 Sarah 的心、肺、脑中反复增生、破裂和出血。
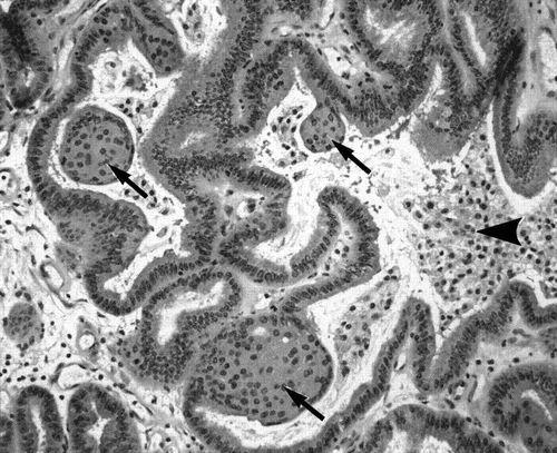
箭头示意为进入脑内的子宫内膜组织。来源:https://www.ajronline.org/doi/full/10.2214/ajr.182.6.1821543
进入大脑的子宫内膜
如果把子宫想象成一个橘子,子宫内膜就是橘子皮内侧那层相对蓬松柔软的白色部分,它是可能出现的受精卵的“毛绒被褥”。在一个完整的月经周期中,子宫内膜随着雌激素和孕酮的增多而增厚,细胞间也会形成血管。如果受精卵没有出现,子宫内膜上皮细胞和其间的血管会破裂脱落,形成月经通过阴道排出体外。
然而,在一些异常情况下,子宫内膜细胞会在子宫以外的地方增殖和脱落,造成异常疼痛、组织器官黏连甚至不孕不育——这就是子宫内膜异位症(endometriosis,EMT)。平均每十个女性中,就会有一个受到这种疾病带来的困扰,大部分情况下“外溢”的子宫内膜组织出现在卵巢、输卵管和骨盆内衬组织,极少数情况下会扩散至盆腔外,像 Sarah 这样波及脑组织的案例更是罕见。
目前,科学文献中有明确病理学诊断的脑子宫内膜异位症(cerebral endometriosis)仅有 4 例,还有 2 例通过影像学手段在脑内确定了病灶位置,但缺乏组织学证据。在这些案例中,离经叛道的子宫内膜细胞侵入了患者的脑干、小脑、大脑额叶和顶叶皮层,甚至深入了连接两个半球的胼胝体白质。这些周期性增生和脱落的团块压迫了患者的脑组织,几乎令每个人都出现了经期性癫痫和运动或感觉异常。
箭头处为脑内被怀疑为子宫内膜异位的病灶。来源:https://www.ajronline.org/doi/full/10.2214/ajr.182.6.1821543
难办的是,EMT 目前没有治愈办法,医生只能采取切除的方式阻止病灶继续增生。上述 6 例患者中,3 位接受了开颅手术切除了病灶,1 位切除了输卵管和卵巢,还有 1 位因为无法手术而不幸死亡,仅有 1 名 39 岁的患者通过激素治疗得到了缓解。而文章开头提到的 Sarah 尽管没有出现明显的脑部问题,但她已经接受了 19 次手术,并因此失去了子宫。
诊断难题
大多数 EMT 患者在月经初潮时就已出现明显的不适症状,却需要忍受 7~10 年的折磨才能等到正式确诊,因为取样确诊本身就是一台需要全身麻醉的外科手术。医生需要使用腹腔镜刺穿患者的腹腔,依靠摄像头定位子宫内膜组织所在之处,然后用另一个操作杆刺进患者身体取下组织进行病理检验。这令很多年轻女性望而却步。美国纽约州 Northwell Health 卫生系统旗下范斯坦医学研究所(Feinstein Institutes for Medical Research)教授 Christine Metz 对此深有感触:“有些人不接受手术是因为她们不想留下疤痕,有些人是因为费用太高但没有医保支持,还有些人是因为难以找到愿意给她们做手术的医生。”
腹腔镜手术。图片来源:SurfaceWarriors,CC BY-SA 2.0.
如果能找到一种非侵入式的诊断方法,那么就会有更多女性能够更早地摆脱这种容易被忽视的疾病,回归正常生活。Metz 和她的同事将目光转移向了月经血。EMT 的病因仍是一个谜团,但经血倒流被认为是可能的解释之一。这种理论认为,含有子宫内膜细胞的月经血可能会通过输卵管回流进入骨盆腔,进而粘附在盆腔壁和盆腔器官表面。因此,月经血可能存在的细胞生物学和遗传学差异或许能够解释疾病为何发生。
Metz 认为,只需要几毫升月经血,就能够从中找到大量的健康和疾病标志物。她和同事们依托范斯坦研究所建立了一个名为 Research OutSmarts 子宫内膜异位症(Research OutSmarts Endometriosis, ROSE)的研究项目,其中既包含已经确诊或正在等待诊断结果的女性,也有健康的对照者。她曾在接受媒体采访时表示,当 2018 年他们开始接触妇科医生,向患者收集月经血样本的时候,有人甚至认为这群人疯了。如今,ROSE 已经纳入了 2000 余名被试,Metz 也找到了一些很有前景的线索。他们的研究发现,EMT 患者月经血中自然杀伤(NK)细胞数量显著减少,从月经血分离出的成纤维细胞的蜕膜化潜能受损,这能够帮助我们更好地认识这种疾病,也为月经血诊断开辟了一个新的方向。
命运的抗争
这并不足以改变子宫内膜异位症患者的命运。1921 年,美国妇科医生 John A. Sampson 首次提出了子宫内膜异位症这一术语。100 年过去了,我们仍然对这种影响着十分之一女性的疾病知之甚少,甚至还有很多医生认为年轻女性异常的经期疼痛是“正常现象”,而不是一种疾病。
对此,与 Sarah Hillstead 同样因为子宫内膜异位症而失去子宫的 Linda Griffith 用另一种方法开展了与命运的抗争。作为一名子宫内膜异位症患者,现年 61 岁的 Linda 同样从青春期就开始遭受月经带来的折磨。但直到她 28 岁去麻省理工学院(MIT)做博士后的时候,才因为卵巢囊肿检查而被确诊。当时医生给了她两种选择,要么使用激素阻断药物让身体进入类似更年期的状态,要么就尽快怀孕生子——妊娠能够减缓或逆转病情,直到现在妇科诊室里也经常能听到这样的建议。
Linda 到现在也能回忆起当时丈夫代替她做的回复:“我们会生孩子的。”但这名刚刚开始独立学术生涯的生物工程学博士选择了激素阻断药。8 年后,Linda 与丈夫离了婚,而她参与开发的 3D 打印器官支架技术已经在科学界崭露头角——1997 年,一只背上长着人耳的小鼠照片震惊世界,她就是完成这项组织工程的科学家之一。
2007 年,已经成为 MIT 生物机械工程教授的 Linda Griffith 已经接受了 8 次 EMT 手术,并且在几年前因为疼痛加剧而切除了自己的子宫。她决定开始正视这个困扰了她数十年的疾病。两年后,Griffith 用自己获得的麦克阿瑟天才奖的 50 万美元奖金建立了美国唯一一家专注子宫内膜异位症的工程实验室——MIT 妇科病理学研究中心(Center for Gynepathology Research)。在这里,她和同事们利用患者子宫细胞构建子宫类器官来做研究,这种类器官比没有月经排出的啮齿类动物更接近人类,这能够令子宫内膜病变组织的生长更加可视化,同时可以让研究者系统地解析免疫细胞、炎症和激素在疾病中的作用。Griffith 还计划将血管、神经细胞和免疫细胞植入这种类器官,这或许能够帮助解释子宫内膜为什么会进入心脏、肺部和大脑。
Sarah Hillstead 直到现在也没能摆脱子宫内膜异位症带来的剧烈疼痛,但她加入了 Metz 的 ROSE 项目,对自己的身体有了更多了解。
而 Christine Metz 则准备在年内向美国食品药品监督管理局(FDA)提交基于月经血的诊断测试申请,希望未来能将月经血检测纳入常规妇科检查,让女性患者一两天后就能拿到结果。
Linda Griffith 失去子宫后,又患上了乳腺癌。但她发现乳腺癌拥有完整的分子学分类方法,医生可以据此决定患者应该接受哪种靶向治疗,这是子宫内膜异位症所没有的。2014 年,Griffith 与合作者发表了一篇《科学-转化医学》(Science Translational Medicine)论文,构建了一个属于这种疾病的炎症标志物网络,这项工作被认为是创建子宫内膜异位症亚型的第一步。
世界对这种妇科疾病的偏见并未结束,正如 Metz 最近发表在《科学美国人》上的一篇文章所说:“2008 年以来,美国国立卫生研究院为子宫内膜异位症研究的拨款约为 1.76 亿美元,而溃疡性结肠炎研究的拨款为 20 亿美元。……为了治疗子宫内膜异位症和其他女性生殖疾病,我们需要更多的支持和更少的污名。”
主要来源:
https://spectrumlocalnews.com/nys/central-ny/exploring-your-health/2022/04/27/a-test-for-endo-may-be--a-window-into-infertility
https://www.scientificamerican.com/article/to-better-understand-women-rsquo-s-health-we-need-to-destigmatize-menstrual-blood/
https://www.mayoclinic.org/zh-hans/diseases-conditions/endometriosis/symptoms-causes/syc-20354656
https://feinstein.northwell.edu/institutes-researchers/institute-molecular-medicine/robert-s-boas-center-for-genomics-and-human-genetics/rose-research-outsmarts-endometriosis
https://www.nytimes.com/2021/04/27/health/endometriosis-griffith-uterus.html