新浪财经

《人体的构造》:管状时间中的器官学

澎湃新闻

关注

韦雷娜·帕拉维尔(Véréna Paravel, b.1971)和吕西安·卡斯坦因-泰勒(Lucien Castaing-Taylor, b.1966)的《人体的构造》(De Humani Corporis Fabrica, 2022)延续了他们以往“身体-景观-感官”的脉络,成为一部由医学影像构成的电影——内窥镜(Endoscopy)影像,肿瘤切片检查(Pathological Examination),X光放射前列腺电切术(TURP),白内障手术(Cataract Surgery),剖腹产手术(Caesarean Operation),脊柱融合术(Scoliosis Surgery)……当代医学成像技术记录下人们能日常感受却全然陌生的身体器官内部,这些怪诞而抽象的景观构成了影片的主体部分,而游走在医院空间的手持摄影机则试图探讨身体痛苦的精神转化过程,身体如何被矫正和驯服,病痛对医患的分配体制以及生命权力的转移。图像的声音空间被医疗机械运转的声音、病人的呼吸和呻吟以及医生的对话、指令和抱怨填充,也将强烈的图像本身在一定程度上消弭,并延伸至同样充斥着身体的社会空间——正如导演所阐述的,“医院装满人的身体,社会亦然”。这种“人体-医院-社会”的线索也在暗示一种生命状态逐渐从形式(form)分离并赤裸(bare)的过程。

De Humani Corporis Fabrica, 2022, by Véréna Paravel, Lucien Castaing-Taylor

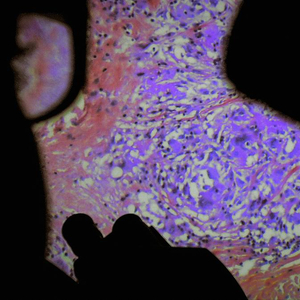
两个医生用结肠透镜在病人体内穿行,画面上呈现出被内窥镜摄像头强制打光而泛着异样光泽的肠壁黏膜,结缔组织如同超现实的红色花朵层层绽开;而操作手术的医生将幽深的肠道比作巴黎地铁,按顺序报出站名并探讨沿线的房屋价格——这一略带残忍的黑色幽默很大程度上得益于一种语言学张力,“tube”兼具三层意义,“管道”、“地铁”和“电视(显像管)”,这个词汇将管状物、历时感和视觉关联到一起,并且延续和总结了韦雷娜和吕西安影像构成的重要视觉特性。

《香草》(Sweetgrass, 2009)中的低照度摄影使得画面的传达受阻,“不合格”的图像使视觉信息退居其次,长焦镜头伸向并扫过黑夜中的被摄物,使得画面及其运动带上了一层触觉特质。《利维坦》(Leviathan, 2012)中对微型运动摄像机GoPro的运用,图像工具附着在自然生物或人造物表面, “搭乘”并产生一系列图像,这种附着不仅仅呈现了运动,也呈现了其存在状态和生命质感;《梦呓》(Somniloquies, 2017)对这一极端视角进行了提纯,手持摄影机在近乎全黑的睡眠情景下更近距离“抚摸”熟睡的人身体表面,摄影师的呼吸和脉搏通过手臂传导赋予镜头,同被摄物者的呼吸韵律混合,伴随着低照度下的慢门摄影产生的果冻效果,给予沉睡中的主体鲜明的造型和富有节奏的形变。《食人录》(Canibal, 2017)中的摄影机则被引入了一种充满“惰性凝视”的长焦摄影,以失焦和“跟丢”模拟触觉在身体上的阻滞和迟疑,并将这种阻滞和迟疑即时景观化。图像机器对主体表面的抚摸和爬行,对于物体的迫近和贴合欲望最终在《人体的构造》中突破了物体表面的限制——图像机器终于透过皮肤,进入到人体内部——以往作品中运动轨迹的顶部空间终于闭合,完成并呈现出了一种管状视野(tubular vision)。两人以往“搭乘”物体而构建的运动轨迹(本片“搭乘”的是医疗器械的成像系统以及医生对其进行的操作)是一种非人为直接干涉成像行为的“即时影像档案”方法。这种影像方式同样也意味着一种“被动成像”,将拍摄行为更多地指向和转化成一种收集行为。

如果说冈瑟·冯·海根斯(Gunther von Hagens, b.1945)在塑化的人体模型中展示的是一种人体的牵引机制和力学图景,那么韦雷娜和吕西安则将视野带进幽深的人体内部,试图一窥其与外界的传输交换体系的同时,在视觉上使其靠近并获得一种曼托瓦公爵宮 (Palazzo Ducale di Mantova)的顶画般的错觉和视觉交互方式,人体器官内部如同《利维坦》中的鸟群,《梦呓》中低照度的人体般,呈现出一种带有仰角透视法(di sotto in sù)的错觉绘画(pittura illusionistica)般的图像肌理——不仅仅体现在一种对“贴合”的极端视角的遵循,也需要图像在持续“穿行”的动作中持续产生——将运动和图像贯穿在一起的是图像即时形成和变化的历时感。管道中的影像只存在“里”和“外”的方向维度,在这个空间体系下,位置、深度和表层的概念被颠覆,图像的时间、地点和行为实现了一致的同步率,也组合并带来一种综合却陌生的感官体验。

De Humani Corporis Fabrica, 2022, by Véréna Paravel, Lucien Castaing-Taylor

这种虚幻的观感(至少对影院的观看者而言)是内窥镜图像在一种“全然真实”的技术追求下获得的,内脏的景观看上去仿佛是由计算机建模构成的三维动画(内脏同城市建筑不同,人类往往需要从虚构的视觉记忆库中寻找参考)。“贴近-透过-穿行”的图像在新媒体影像作品中经常被使用(其图像轨道通常是计算设计而成的),虚拟的摄影机透过破碎的人体表面到达皮肤贴图下的空无,其目的往往是为了呈现一种“错误”且疏离的空间。皮肤之下的“有”和“无”,“真实”和“虚构”背后的核心问题仍然是人体的广义器官学(Organology)——在后人类时代,皮肤下的骨骼、血液、神经和器官究竟对人们意味着什么?它们是否存在?它们失去了哪些功能,又获得了哪些功能?谁真正拥有它们?——正如新冠疫情为我们提出的问题——“谁拥有你的肺部”?

How to Disappear, 2020, by Robin Klengel, Leonhard Müllner, Michael Stumpf

《人体的构造》也使用管道上的视觉相似性,将人体器官拓展至建筑器官:医院保安牵巡逻犬穿过狭小的建筑物地下结构,老人们在看护院的走廊上结伴缓慢穿行,医学垃圾穿过废物处理系统的管道,护士推着装载尸体的病床到达地下停尸房……“tube”这一概念将医院的各个场景联通,也将医院的各个场景器官化,医院成为一个巨大的具有独立生命的有机躯体,获得了一种生物身份,这种身份不单是修辞学上的“拟人”,更是结构形式上的“拟人”(医院是一个功能性身体的建筑延伸,是具有中心的典型的身体性空间) 。那么接下来的问题是:病人的内部管道系统如何同医院的管道系统接驳,两个系统间如何交换信息和指令?又或者现有交换系统是如何形成的,它如何展示了一种生命阐释权?又比如去过医院的人都有所体会,就医的过程往往开始于关于病痛的语言表述,在这套体系下,身体的痛苦先从语言转述到被医疗机械定义,再被医疗行为放大和修正。病人如何描述痛苦,医生如何定义痛苦,痛苦的权力究竟掌握在谁的手中?这种痛苦是否可以通过表述达到一种移情?

苏珊·桑塔格(Susan Sontag, 1933-2004)在《关于他人之痛》开篇部分谈及伍尔夫(Virginia Woolf, 1882-1941)所说的“每次我们观看(战争图像),我们都能感同身受”时,指出其中主语“我们(we)”所指代的含糊性➀,她认为“痛苦”是无法移情的,或者至少痛感的移情并不是可以批量式的,因此自然也就不存在一个统一的受众——“我们”。克洛伊·加利贝特-莱奈 (Chloé Galibert-Laîné)在她的视频论文《观看他人之痛》(Watching The Pain of Others, 2018)中分析了潘尼·莱恩(Penny Lane)的影片《他人之痛》(The Pain of Others, 2018),并尝试揭示出这种身体痛苦转译过程中的由于媒介操控而产生的心理线索的失准和断裂。在影片《人体的构造》中,观众可以看到疗养院中坐在房间中不时叫喊的痛苦的老妇人,她间歇性地张开嘴巴释放苦楚的呻吟,也一并排解释放痛苦,而观众却无法感受她的痛苦;而影片的白内障手术中,镜头瞄准伸向瞳孔的尖锐手术刀具,尽管被手术的患者已经被麻醉,感受不到太多痛苦,但观众席上却唏嘘一片,纷纷离席。“他人之痛”的概念触及到的是痛苦的展演(performativity)。当镜头只用超特写镜头展示手术中人的瞳孔和手术刀,大部分观众可以接受这样的镜头,当镜头稍微拉开,展示出眼睑和抽动的眼眶,观众则更多的意识到这是人的器官,进而对痛苦表现出更多的负面反应。

De Humani Corporis Fabrica, 2022, by Véréna Paravel, Lucien Castaing-Taylor

如果说痛苦的移情是可被构建的,那么什么才是痛苦的本真(authenticity)?医学机械穿透幽深的人体内部,直接将信息传输到手术室,是否足以展示痛苦?正如《人体的构造》影片所展示的,这一接近过程也伴随着医生的指令和操作,痛苦的流淌伴随着图像的流淌,这一流淌过程除了导演展现给影院内的观众,它们的首要制作者和观众仍然是医院的医生,而影片通篇都在展示这种痛苦移情的不可能,甚至是这种不可能作为医疗行为的前提——一种“不够人道”的人道主义。在这个前提之下,《人体的构造》似乎很容易使观众误解为是在展示“医生-患者”间的权力关系;然而导演始终在试图将病人和医生之间的不平等消弭,并企图说明医生和病人同样都是“神圣人”,都在非常态下被剥夺着权力。比如影片开篇就有护工在画外音中疲惫地倾诉着每天医院接到的电话太多,而大部分只是病人需要心理陪伴;大部分医生都在抱怨假期太少,工作压力太大;男科医生抱怨自己实施阴茎手术太多,已经严重影响到自己的性功能……影片尝试将两个群体统一化,使医院拥有一个“绷紧并和谐”的内核,这种将两者共同体化的处理方式使得影片对医院外部的权力结构的暗示作用变得更加强烈。如果说画外音仍不能将医生-患者的权力结构打破,《人体的构造》以医生的派对狂欢为结尾,醉酒后随着“新秩序”(New Order)音乐舞动的躯体、桌面足球游戏台的小人、淫秽的墙上涂鸦、被篡改的《最后的晚餐》,仍旧是低照度下慢门近距离摄影,图像的拖拽残影将人的肢体动作放大并模糊;以上种种图像操作强化了一种“污秽化”(profanation)行为,向一种阿甘本所提出的“嬉戏”(play)的解决策略倾斜。遗憾的是我们显然看不到患者的更多行为,因为影片中出现的患者大多处于麻醉的无意识状态。

韦雷娜和吕西安最初是想延续意大利解剖学家安德烈·维萨里(Andreas Vesalius,1514-1564)《人体的构造》七卷本(De Humani Corporis Fabrica Libri Septem)的设计,在七个国家拍摄七场手术。然而新冠疫情的爆发让他们改变了最初的计划,而是选择在巴黎西北郊克利希(Clichy)的博容医院(Hospital Beaujon AP-HP)完成这部影片。1543年,28岁的维萨里出版了七卷本的《人体的构造》,这部巨著由提香的学生扬·范·卡尔卡(Jan Stephen van Calcar, 1499–1546)绘制了精致的插图,人体的内部构造第一次以旨在精确的方式展示在视野之下,借助于革新的印刷技术,这些图像对社会和教廷造成的震撼和冲击,不亚于同年出版的哥白尼(Nicolaus Copernicus, 1473-1543)的《天体运行论》(De Revolutionibus Orbium Coelestium)。扬·范·卡尔卡绘制的插图笔法细腻精确,却摆着诡异的姿势,挣扎在一种生和死的中间状态,介乎自我意识驱动和被摆弄陈列之间,一种肉体被机器化对待的“不屈而屈”,绵软的反抗/反馈,展示出人的身体被“规训”早期的某种挣扎。“人体的解剖政治”成为权力程序的规训手段➁ ,规训也正是从文艺复兴时期开始加速。

Image from Andreas Vesalius's De humani corporis fabrica (1543), page 174.

卡尔卡留在《人体的构造》中的插图本身也具有一定的场景布置(mise en scène),比如从扉页的作者工作像到插图里骨骼的摆放方式,甚至如果将几幅重要的插图并排在一起,会发现它们的背景是延续的。手绘的图像服务于印刷媒介,内窥镜的图像服务于运动影像。他们都有着自己的叙事构成和感官调动方式。社会剧场由身体构成,而身体内搬演的是社会剧场。流淌并传递着痛苦的人体管道又不仅仅是拥有者自身的,管道中也流淌着公共性和社会性。机械通入人体,将身体内部的景观传导给外部,内部和外部通过机械设备建立了某种联系,并指向一种控制和修整意愿。这样的图像关系恰恰也是人与图像的交互关系。医疗机械在真正意义上构成了生命的安全机制(security mechanisms),图像设备同理,通过机械实现意识的转化和控制,进而在社会意识层面实现一层“安全机制”,其目的同样是为了修正身体,疏导和消除“痛苦”(而社会层面的“痛苦”大部分是从结构上被定义和给予的)。

《人体的构造》这种“被动纪录”的管状图像在内容上一窥这种“安全机制”的运作原理,在图像方法上,影片也尽可能避免所谓的“拍摄行为”,从而也在避免重新构建新的生命安全机制。如果说真实影像的任务逐渐转向为成为对社会主体可见证据的收集过程➂,那么如何揭示、不参与并进一步抵抗这种“安全机制”也许可以成为真实影像创作的一道重要关隘。

注释:

➀ Susan Sontag. Regarding the Pain of Others, P.6 ISBN 0-312-42219-9,Picador, 2003

➁ “……tout cela a été assuré par des procédures de pouvoir qui caractérisent les disciplines : anatomo-politique du corps humain.”“Histoire de la sexualité I - La volonté de savoir, Michel Foucault, Éditions Gallimard, P.206

➂ Collecting Visible Evidence, by Jane Gaines, Michael Renov

加载中...