新浪财经

“咔嚓”一声!厦门16岁男生手臂断了!这项游戏并不适合所有人

环球网

关注

来源:厦门晚报

掰手腕

一种比拼臂力和腕力的游戏

不少人,特别是男生

在读书那会儿都玩过

不过,玩时如果用力过度或不当

就有可能发生严重的后果:

骨折

课间掰手腕过猛

男生右肱骨骨折

近日,16岁的高一男生小强

因与同学在课间掰手腕

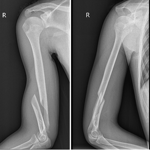
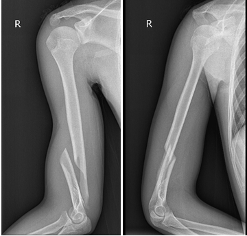
导致右肱骨下段螺旋性骨折

上周五的上午,第三节的下课铃刚响起,湖里区一所中学高一某班的教室瞬间热闹起来。班级后排的四五名男生凑在一起,准备开始一场被称为“男人间较量”的掰手腕比赛。

短暂的课间10分钟已经容不得热身舒展筋骨,外号“大将军”的小斌喊着“谁敢来战”,另一边相对内向的小强则被伙伴们推了出来。

为了不在大伙面前丢脸

细胳膊细腿的小强

憋红着脸使出了最大力气

相持了十几秒后

突然“咔嚓”一声脆响

小强的右手无法动弹

当场奇痛难忍

在现场男生为“大将军”欢呼时,小强喊疼的声音却越来越大,他们才意识到不对,赶紧叫来了老师和校医,校医发现小强的胳膊骨折了,立即将小强送到医院。

术后需休养至少3个月

学业肯定会受到影响

厦门市中医院骨伤科

主治医师唐聪给小强申请了影像检查

检查结果显示

他的右肱骨下段螺旋性骨折

骨头错位明显

X光可见小强的右肱骨下段出现骨折。

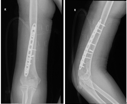
在完善术前准备后,厦门市中医院骨伤科何发胜主任、刘胜主任及唐聪医师团队为小强做了骨折切开复位钢板螺钉固定手术。小强手术后需休养康复至少3个月,学业肯定得受影响了。

小强术后的X光片,可以看见用于固定的钢板。

医生提醒:

肱骨髁较脆弱易骨折

掰手腕作为一项

对时间和场地要求

看似不高的竞技运动

一直深受初高中男生喜爱

但这项运动有一定的危险性

其实并不适合未经训练的人参与

唐聪说,掰手腕除了需要手部腕部肌肉的力量外,肱二头肌、前臂屈指肌、肱三头肌、肱桡肌均会被带动。如果不小心,可能会造成手臂、肩部等处肌肉的扭伤。

何发胜介绍

掰手腕造成骨折的情况并不少见

造成肱骨下段骨折为多数

每年医院都能接到十余例

基本是男生

他强调,人的上臂就是一根典型的长骨,叫肱骨,在肱骨靠近肘关节上方3厘米-4厘米,有一个圆柱形和不规则扁平骨的结合点,像一个“焊接点”。这个“焊接点”骨质少,比较脆弱,在医学上叫作肱骨髁。掰手腕时,肱骨髁承受的是一种折的力量,医学上称为剪切力。肱骨髁承受剪切力的能力很弱,如果掰手腕时,使力的方向和姿势不对,很容易造成骨折。

同时在肱骨干的桡神经走行与肱骨关系密切,肱骨中下段骨折时极易损伤桡神经。如果神经损伤则更为严重,可导致支配区域的手腕部感觉麻木和活动障碍。骨折和神经损伤多需要手术切开复位,并用钢板螺钉固定。

那么,问题来了

以后还能掰手腕吗?

哪些人一定要注意?

赶紧来一起了解下

这三种人掰手腕一定要注意

唐聪说

骨骼正在发育的未成年人、

存在骨囊肿等病变的人、

骨密度低或者骨质疏松的人群

如果掰手腕,需做好热身活动

在掰手腕的过程中不要用力过猛

慢慢地持续发力,逐渐加大力量

不要突然旋转身体增加力量

否则容易造成骨折

正确的姿势和方法你会吗?

再次强调!

掰手腕前

一定要做好肌肉的放松和必要的热身

❶ 首先手臂要摆正

核心要收紧沉肩

❷ 手腕要放在中立位

不要太前或者太后

(手臂一歪容易造成手腕的受伤)

❸ 发力时收紧核心

整个手臂用力扳

很多时候

受伤不一定是力气小

更多是用力不当导致的

玩这种游戏还是要

量力而为

毕竟受伤了真的得不偿失!

厦门日报社新媒体中心出品

厦门日报记者:刘蓉 通讯员:倪晶莹 综合广东公共DV现场

加载中...