新浪财经

健康女童感染新冠症状轻微,但3周后急性肝衰竭:肝脏活检有线索

深圳特区报

关注

最近,英国、欧盟、美国、以色列和日本等地报告了至少348例儿童不明原因严重急性肝炎。大多数患儿早期出现胃肠道症状,随后发展为黄疸,在某些情况下还会出现急性肝功能衰竭甚至死亡。令科学家困惑的是,这些患儿中未发现甲型、乙型、丙型、丁型和戊型肝炎病毒。

英国卫生安全局将腺病毒列为儿童不明原因严重急性肝炎假说的第一位,然而这一说法受到越来越多的质疑。目前,学界和临床界分析认为,新冠病毒在其中起到不可忽视的作用。值得注意的是,儿科胃肠病学、肝病学期刊《JPGN REPORTS》最新的5月刊报道了一例罕见的健康女童感染新冠后症状轻微但随后出现急性肝衰竭的病例。

JPGN REPORTS由北美儿科胃肠病学、肝病学和营养学会 (NASPGHAN)和欧洲儿科胃肠病学、肝病学和营养学会(ESPGHAN) 联合出版。该病例由美国辛辛那提儿童医院医学中心、辛辛那提大学医学院报告。

此前研究发现,儿童感染新冠后出现肝酶升高这类肝损伤的情况比较常见,但出现急性肝功能衰竭却是非常罕见的。美国这项临床个案研究描述了一名3岁健康女童,她之前新冠感染症状轻微,但随后因自身免疫性肝炎(2型)而出现急性肝功能衰竭。这名儿童的病毒性肝炎检测呈阴性,同时也不符合儿童多系统炎症综合征(MIS-C)的诊断标准。

值得注意的是,研究者对女童的肝组织进行活检发现,她的肝组织出现了急性次大面积肝细胞坏死,并伴有活跃的CD3+T淋巴细胞浸润。对患儿的肝脏活检没有发现纤维化或慢性肝病的证据。

医生对患儿进行大剂量的甲基泼尼松龙治疗后,她的丙氨酸氨基转移酶(ALT)、天冬氨酸氨基转移酶(AST)、国际标准化比值(INR)和血氨水平快速恢复正常,从而避免了肝移植。这个临床个案研究揭示了儿童感染新冠病毒后与随后发展为急性肝衰竭的自身免疫性肝病之间可能存在关联。

该研究的提交时间为2021年10月,考虑到这项研究的时间跨度为1年,因此研究中的3岁女童感染新冠并出现急性肝功能衰竭时间至少在2020年10月之前。

研究者表示,感染新冠后累及肝脏的情况此前便有报道:大概15%至65%的成年患者和6%至27%的儿童患者出现了肝脏生化指标异常。然而,感染新冠后出现严重的肝损伤、胆汁淤积或肝功能障碍很少见,在健康人群中更是罕见。

在他们报道这次急性肝衰竭之前,感染新冠病毒后出现急性肝功能衰竭的临床报告只有2起:一例为患有系统性红斑狼疮的35岁女性,另1起为一名11岁男孩。美国辛辛那提儿童医院医学中心、辛辛那提大学医学院报告的这例3岁女童感染新冠后出现了急性肝衰竭,实验室和肝组织活检显示,这名患者出现了2型自身免疫性肝炎(AIH)。

可查资料显示,自身免疫性肝炎(AIH)是一种罕见的慢性自身免疫性肝病。自身免疫性肝炎的特点是血清丙氨酸氨基转移酶、天冬氨酸氨基转移酶和免疫球蛋白G水平升高,并存在界面性肝炎。该疾病根据自身抗体模式分为两大类:自身免疫性肝炎1型是最常见的AIH形式,其特征在于存在血清抗核抗体或抗平滑肌抗体;自身免疫性肝炎2型的特点是抗肝肾微粒体抗体(抗LKM)和/或抗肝细胞溶胶抗体1型(抗LC1)。使用皮质类固醇进行免疫抑制治疗被认为是AIH的金标准方案。

这名3岁女童没有既往疾病史也没有肥胖问题。研究者表示,在送到他们医院急诊中心的3周前,患儿通过核酸检测被诊断出感染新冠病毒,并出现了轻微的发烧和咳嗽。由于症状轻微,她没有接受任何药物治疗,也不需要住院,症状在5天内消失。然而确诊新冠感染2周后,她出现疲劳、黄疸和排尿减少,于是这名3岁女童被转诊到他们医院急诊科。

医生查询记录发现她此前没有接受过任何药物治疗,也没有接受过手术,而且不存在潜在的慢性肝病或其他慢性疾病。家族史方面,她的一名一级亲属(编注:父母或兄弟姐妹)有桥本甲状腺炎和1型糖尿病。医生对她进行体格检查发现有巩膜黄染、黄疸,无肝脾肿大,精神状态正常。

在急诊科验血后,实验室显示她的ALT(丙氨酸转氨酶)高达939U/L(正常值为0-35U/L)。AST(天门冬氨酸转氨酶)高达1321U/L(正常15-46U/L)。

临床上通过抽血化验检测肝功能的转氨酶主要有两种,分别是ALT和AST。ALT主要存在于细胞浆中,AST主要存在于细胞浆的线粒体中。当肝脏细胞损伤时ALT首先进入血中,当细胞严重损伤、危及线粒体时,AST也会进入血中。由于ALT、AST主要存在于肝细胞中,当其明显升高时常提示有肝损伤。通常来说,如果ALT血清值超过正常上限2—3倍,并持续两周以上,表明有肝胆疾病存在的可能。

这名3岁女童的总胆红素5.5mg/dL、结合胆红素0.9水平升高mg/dL和INR(2.0)。总胆红素是直接胆红素和间接胆红素的总和。血清总胆红素的测定是肝、胆功能检查中的一项重要检测项目,能准确地反映黄疸的程度,对临床诊断隐性黄疸有重要意义。

检查进一步发现,患者的血氨水平为46µmol/L。全血细胞计数(CBC)无异常,白细胞计数为12300/µL,血红蛋白为11.8g/dL,血小板计数为174000/µL。患者有轻度溶血性贫血的证据,乳酸脱氢酶升高至1292U/L,结合珠蛋白检测不到(<3mg/dL)。

医生对患者的新冠鼻咽拭子核酸检测以及新冠抗体检测IgG和IgM再次进行检测,显示均为阳性。

影像方面,患者的腹部多普勒超声显示其存在与肝细胞疾病、边缘性脾肿大和正常脉管系统一致的弥漫性异质肝实质病变。

由于患者只有3岁,该年龄组缺乏经证实的新冠特异性治疗方案,所以就没有给她进行抗病毒治疗。医生给患者开了口服5mg维生素K的辅助方案。维生素K可防止新生婴儿出血疾病、预防内出血。但在这之后患者的INR没有改善,考虑到急性肝功能衰竭,患者被转入辛辛那提大学医学院儿科部门。

来到辛辛那提大学医学院儿科部门后,患者继续接受静脉注射维生素K和静脉输液。医生对她急性肝功能衰竭病因进一步进行检查,发现患儿抗肝肾微粒体抗体(抗LKM)滴度升高到了1:1280,这提示患者有2型自身免疫性肝炎。抗肝肾微粒抗体是一种自身的抗体,是诊断二型自身免疫性肝炎的血清学指标。

患者的总血清IgG水平在1070mg/dL,在正常范围内。她的其余检查项包括对传染性的彻底评估、代谢和遗传原因等,没有异常之处。

患者的免疫学评估显示她的自然杀伤细胞功能下降和CD3+T细胞频率增加,但铁蛋白和可溶性IL-2受体正常。患者的凝血功能恶化(INR2.7)、胆汁淤积(结合胆红素为3.8mg/dL)和高氨血症至317µmol/L,同时精神状态改变,符合I-II级肝性脑病。随后,这名3岁女童接受了肝移植评估,同时采用静脉注射甲基泼尼松龙(2mg/kg/天)以及利福昔明和乳果糖。此后患者的AST和ALT水平、胆红素、INR和血氨水平开始快速改善。

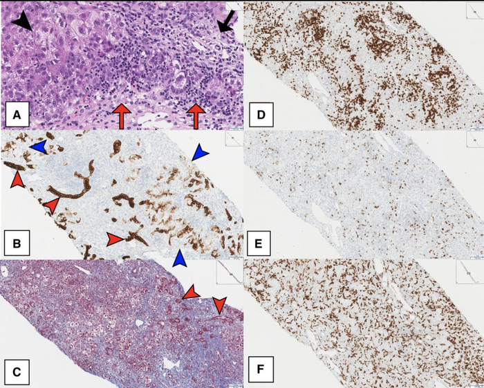
患儿的肝活检显示她出现了急性亚大面积肝坏死、小叶塌陷和严重的混合炎性浸润,主要由CD3+T淋巴细胞导致。

诊断性肝活检突出大量CD3+T细胞浸润和急性亚大面积坏死。A)急性亚大面积肝细胞坏死和塌陷(黑色箭头),伴有替代性纤维化、再生性变化和以单核为主的炎症(红色箭头),与代偿性增生性再生结节(非炎症区,黑色箭头)交替出现(H&E染色)。B)残余胆管(红色箭头),在小叶实质中具有双表型肝细胞(蓝色箭头),在CK7免疫染色上很明显。C)三色染色突出大量坏死后纤维化(蓝色)、再生肝细胞(浅红色)和胆管(红色箭头)。D)CD3免疫染色突出显示主要是CD3+T淋巴细胞浸润。E)CD79a免疫染色显示混合的B淋巴细胞。

她在住院第18天出院。随着胆汁淤积的消退,医生开始使用硫唑嘌呤(1mg/kg/天)作为2型自身免疫性肝炎的保留类固醇维持免疫抑制。她的临床症状已经消退,她的ALT(19U/L)和AST(29U/L)、胆红素和INR正常化。

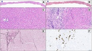
1年后,对患者肝活检证实组织学显著改善,仅有局灶性残余门静脉/门静脉炎症和局灶性结构改变。

一年后的肝组织活检情况。

研究者表示,新冠感染通常会影响肝脏,表现为血清转氨酶水平升高。而仅仅因为感染新冠后就出现严重的肝功能障碍是罕见的,此前仅在患有多器官功能障碍或潜在慢性肝病的患者中出现过。这个个案研究描述了轻度感染新冠后由于2型自身免疫性肝炎导致的先前健康儿童的孤立性急性肝功能衰竭的病例。幸运的是,患儿对大剂量类固醇反应良好,随后使用硫唑嘌呤维持免疫抑制治疗。

研究者表示,新冠感染相关的肝损伤的病因在临床和学术界已经有了不少研究,越来越多的证据表明:免疫介导的炎症反应可能在其中起重要作用。就自身免疫性肝炎来说,这涉及遗传、免疫和环境因素之间的复杂相互作用,其中传染性或病毒触发因素被认为在自身免疫性肝炎中发挥重要。

目前,已经知道新冠感染与多种自身免疫性疾病的发展有关,比如成年人的自身免疫性肝炎和1型糖尿病同值得注意的是,此前也有论文报告了mRNA疫苗接种与自身免疫性肝炎存在相关性的临床病例。

他们认为,这些都表明病毒刺突蛋白和肝脏抗原之间的分子模拟机制可能引发与新冠相关的自身免疫性肝病。尽管目前无法直接证明新冠病毒感染导致该3岁患儿发生了自身免疫性肝炎,但感染与随后的肝功能衰竭的时间关联性不容忽视。研究者呼吁临床医生关注并评估在新冠感染期间和之后出现孤立性严重肝功能障碍的患者肝损伤之间的根本原因。

值得注意的是,关于不明原因儿童急性肝炎与新冠病毒之间的形成机制,国际权威学术期刊《柳叶刀·胃肠病和肝病学》(The Lancet Gastroenterology & Hepatology)的研究显示,新冠病毒的超级抗原可能是问题的关键。

刊登于《柳叶刀·胃肠病和肝病学》的研究表示,儿童感染新冠病毒可导致体内病毒库形成。具体来说是新冠病毒在儿童胃肠道中的持续存在可导致病毒蛋白在肠道上皮细胞中反复释放,从而引起免疫激活。这种反复的免疫激活可能是由新冠病毒的刺突蛋白中超抗原基序介导的,该基序与葡萄球菌肠毒素B相似,能触发广泛和非特异性的T细胞激活。这种超抗原介导的免疫细胞激活已被认为是引起儿童多系统炎症综合征(Multisystem Inflammatory Syndrome in Children, MIS-C)机制。

所谓超级抗原(super antigen,SAg)是一类只需极低浓度(≤10的-9次M)即可激活大量的T细胞克隆、产生极强免疫应答的物质。超抗原与普通抗原相比,不需要常规的细胞内抗原提呈,无MHC限制性。

超级抗原按照活化细胞的不同,可分为T细胞超级抗原和B细胞超级抗原,又按照其来源不同分别将T、B细胞超级抗原分为内源性超(病毒型)抗原和外源性(细菌型)超抗原。

在此前的儿童多系统炎症综合征中也曾报道过急性肝炎,但未调查其他病毒的合并感染。研究者分析称,最近的不明原因儿童急性肝炎可能是先感染了新冠病毒,患儿在肠道中出现了病毒库后又感染了腺病毒。

具体来说,如下图所示:腺病毒(AdV)增强新冠病毒超级抗原介导的严重急性肝炎的病理学示意图。

在感染新冠病毒后,病毒库可能会随着时间的推移导致反复的超级抗原介导的免疫细胞激活,如多系统炎症综合征(MIS-C)。如果存在此类病毒库,并且儿童随后感染了腺病毒(AdV),这种超抗原介导的影响可能会更加明显,并可能导致免疫异常,如最近报告的急性重度肝炎,这就是为什么在这些病例中应该调查这种免疫病理学的证据。

(原标题《健康女童感染新冠症状轻微,但3周后急性肝衰竭:肝脏活检有线索》)

加载中...