新浪财经

6小时,为患者切除两枚近20厘米肿瘤!疫情期间,一妇婴专家高难度“拆弹”

媒体滚动 2022.04.19 17:02

9个月前切除了子宫及双侧卵巢输卵管的晓晨没有想到,这段时间隐隐胀痛的腹腔里,竟藏着两个超过15厘米的“大炸弹”。疫情当下,肿瘤手术还能顺利进行吗?

尽管疫情防控形势依然严峻,但上海市第一妇婴保健院对于肿瘤患者、孕产妇等特殊群体的救治,始终没有按下“暂停键”。日前,一妇婴在严密的防疫预案下,精心组织多学科团队会诊,成功完成了一例高难度复发性子宫平滑肌肉瘤手术。

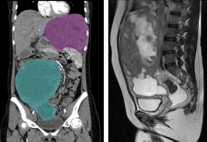
手术主刀医生、一妇婴院长王育介绍,此次接受手术的患者,其盆腔肿瘤直径已达20厘米,同时还有一个直径16厘米的上腹部肿瘤病灶,如延误救治,后果难以想象。目前,患者术后生命体征平稳,在医务人员的精心照顾下正处于恢复中。

年轻患者腹腔中,藏着两枚“定时炸弹”

晓晨今年32岁,一周前自觉腹胀伴有疼痛,前往一妇婴妇科门诊就诊。接诊的妇科肿瘤科主治医师汪超给她做了体格检查并读片后,判断她的子宫平滑肌肉瘤复发了。原来,晓晨去年6月在外院进行了子宫肌瘤挖除术,术后病理提示,她罹患了子宫平滑肌肉瘤(ulms),其后又通过手术切除了子宫及双侧卵巢输卵管。

本以为已经痊愈的她,今年3月又出现了腹胀感,胃口也很差。由于正值上海新冠疫情的特殊时期,她拖了一段时间,4月5日才前往外院检查。ct显示,腹腔有一个直径约17厘米的肿块,这么大的肿块,难倒了就诊医院的医生。

次日,焦虑万分的晓晨抱着最后一丝希望,前往一妇婴妇科肿瘤科求助。磁共振检查证实了她的病情很严重:肿瘤生长速度极快,此时直径已达20厘米。子宫平滑肌肉瘤是常见的妇科恶性肿瘤之一,恶性程度较高、术后极易复发、肿瘤生长速度快,如不及时治疗,病情会迅速恶化,患者将失去后续治疗的机会。通过手术完全切除肿瘤并进行辅助化疗,可以为患者带来最好的预后。

“肿瘤患者的救治拖不得!”接到汪超的汇报后,院长、妇科主任医师王育当即决定:“完善新冠流调及核酸检测,尽快收治入院,准备手术!”

而进一步的检查发现,晓晨的病情远比想象中更严重——这个盆腔肿瘤几乎占据了其盆腔及腹腔的所有空间,压迫了右侧输尿管,右侧肾几乎完全失去功能。而除了盆腔20厘米的肿瘤外,左侧上腹竟然还有一个16厘米的病灶,盘踞在肝、脾、胃之间,并压迫左侧胸腔,血供非常丰富。由于病情严重,肿块压迫了胃和大部分肠管,才让她感觉胸闷、腹胀,无法正常饮食。

多学科团队会诊,协力完成高难度手术

晓晨入院后的第一时间,一妇婴秉承肿瘤患者系统化、标准化及多学科联合治疗的原则,立刻启动妇科疑难肿瘤多学科会诊流程:放射科针对影像学检查,详细分析了肿瘤与周围重要脏器及血管之间的关系、累及范围等;胰腺外科针对患者上腹部肿瘤,拟定了切除方案;麻醉科详细评估患者取瘤过程中可能存在的出血、血压波动等风险,为手术顺利进行提供保障。

疫情形势严峻,手术安全不容有失。医院各临床、医技、职能科室马不停蹄又有条不紊地全力推进各项安排:妇科肿瘤科安排和完善晓晨术前每日核酸检测,启动肿瘤患者的eras(快速康复)全程管理,为她早日做手术提供准备。

4月15日8时40分,在手术麻醉科和血库的大力配合下,由王育担任主刀,一台疫情期间救治妇科肿瘤患者生命的“双重拆弹”四级手术开始了。妇科行政主任陆雯、主治医师张越、医师储岳宁等协助手术。一打开腹腔,在场的所有人都倒吸了一口冷气:腹腔内的肿瘤表面被粗大血管包绕,与周围盆腹腔、腹膜、肠管盘根错节、致密粘连。凭借丰富经验,王育沉着冷静地对盆腔内的第一颗“定时炸弹”下手,娴熟地分解肿块与组织的粘连,结扎供血血管,迅速完整切除了盆腔巨大肿瘤。随后,又和胰腺外科一起解剖分离并完整切除与肝、胃、脾、膈肌粘连的肿块,卸下了第二颗“炸弹”。

14时30分,长达6小时的手术终于完成。由于肿瘤体积巨大,血供丰富,稍有不慎就可能发生致命的大出血。几位手术医师以精湛的技术和对患者生命健康高度负责的精神,完整切除了肿瘤,术中无肉眼肿瘤组织残留。

应收尽收应治尽治,不使一人延误治疗

据悉,一妇婴妇科肿瘤科拥有在妇科恶性肿瘤治疗中的丰富经验,制定了完善的妇科恶性肿瘤多学科会诊制度,为患者带来及时、规范、精准、个体化的治疗,最大限度解决患者病痛。

眼下正值上海疫情防控的关键时期,一妇婴妇科肿瘤科在严格保证疫情防控措施要求的前提下,克服在岗人手缺失的困难,满负荷运转,全力服务妇科恶性肿瘤患者,通过网络和电话等多种方式与病患沟通,力争让每一位妇科恶性肿瘤患者都能及时进行手术及放化疗,应收尽收、应治尽治,不使一人延误治疗。

自3月初本轮疫情暴发至今,在严密的分层分类管理、保障疫情防控安全的前提下,一妇婴妇科肿瘤科已不间断完成恶性肿瘤手术60台、放化疗150余人次;妇科门诊及互联网医院门诊量达到两万人次。

栏目主编:顾泳

本文作者:黄杨子

加载中...