新浪财经

从牙齿上的1个小黑点,到毁掉一颗牙,只需要5步

澎湃新闻

关注

原创 腾讯医典 

牙齿上的小黑点,人人都可能有。

那为什么有人没事,有人就会烂到牙根?

主要看2件事[1]:

1.你嘴巴里的食物残渣多不多,以及是什么样的食物。

比如,爱吃或主食、爱喝甜饮料的人,嘴里的糖类残渣较多,就成了细菌的大餐,酸性物质的产能马力全开。

2.食物残渣滞留在牙面上的时间。

不爱刷牙、不经常漱口的人,嘴巴里就像个自助餐厅,永远都有细菌最爱的食物,想啥时候吃,就啥时候吃。

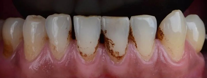
除了龋齿,牙齿上的小黑点还有一种可能性——

色素沉着

(作者供图)

吸烟、喝茶等习惯可能导致色素沉积,刷牙不容易刷净,一般可以通过洗牙来清除。

如何预防龋齿呢?

很简单,就看你肯不肯做。

1.早晚刷牙,每次不少于3分钟,每3个月更换牙刷。

饭后漱口,尤其是经常塞牙的人,要正确使用牙线或冲牙器。

注意,不要使用牙签剔牙!

2.每6个月去医院做一次口腔检查,并且洗牙。发现小的龋洞,及时治疗。

如果发展到牙髓发炎,不仅要忍受剧烈疼痛,还要来来回回跑医院,麻烦又费钱。

3.少喝碳酸饮料,少吃甜点心,尤其是粘性较大的糖糕等。吃完记得漱口。

睡前就不要吃零食了。

转发到朋友圈,大家一起护好牙齿呀~

审稿专家:何剑亮

浙江大学医学院附属第二医院综合牙科主治医师

参考文献

[1]《牙体牙髓病学》,樊明文,2008,人民卫生出版社,北京

加载中...