新浪财经

医院新闻| 三岁孩子饭来难张口 原来是这个肿瘤在作怪

媒体滚动 2022.01.29 21:39

原标题:医院新闻| 三岁孩子饭来难张口 原来是这个肿瘤在作怪 来源:上观新闻

岁末年初,2岁多的乐乐被发现连“饭来张口”都成了难事,吃饭时竟无法张开嘴巴。起初家长以为是孩子不愿意吃饭,经检查才发现竟然是颅底重要结构——翼腭窝的肿瘤在作怪。经上海市儿童医院副院长,耳鼻喉科学术带头人李晓艳主刀高难度手术,成功摘除了这一位置十分隐蔽的肿瘤,目前患儿已康复出院。

早在5个多月前,乐乐逐渐出现了嘴张不大的症状,起初还比较轻微,加上孩子无明显不适,家长并未重视。随着时间的推移,张口受限逐渐加重,最后只能勉强通过一片压舌板。不但开口说话成了问题,连吃饭都只能从这个“缝隙”中塞进去。

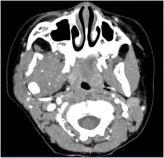
外院ct和核磁检查,发现张不开嘴是因为支配张口的“翼内肌”和“翼外肌”以及“颞下颌关节”受到了肿瘤侵犯。转至上海市儿童医院耳鼻喉科就诊后,最终确诊为翼腭窝肿瘤侵犯上述张口肌肉和关节。翼腭窝是由上颌骨后壁、蝶骨翼突及颚骨垂直板这些骨性结构围成的狭小空间。乐乐的翼腭窝肿瘤侵不仅损伤了颞下颌关节,还侵犯了附着于蝶骨翼突的翼外肌和翼内肌这两组控制张嘴的肌肉,才导致了他饭来难张口。要彻底根治必须将其切除。

由于孩子张不开嘴,手术无法从口中进行插管麻醉,导致全麻操作极其困难。术前,经过耳鼻喉科与麻醉科协商评估,最终决定在纤维支气管镜引导下从鼻腔插管麻醉,手术才得以顺利开展。

翼腭窝血管神经丰富,是侧颅底的“交通要道”,术中极易损伤面部的运动和感觉神经以及颅底重要结构造成不可逆的功能损害。根治手术之前的内镜下活检提示乐乐的肿瘤系侵袭性纤维瘤,侵袭性纤维瘤虽非恶性,不会远处转移,但是局部侵袭能力一点也不亚于恶性肿瘤,又对放化疗不敏感,使得手术彻底切除成为唯一的治疗方法。但是翼腭窝的位置隐蔽又有较多重要神经血管,对手术的完整切除及术中功能保护提出了极高要求。手术由李晓艳主任医师主刀,经患儿右侧耳前切口腮腺前缘入路,在丰富的血管神经尤其是面神经的细小分支之间游刃穿梭。最终,从右侧上颌骨后缘及右侧颧弓间的间隙进入右侧翼腭窝。在保护好翼腭窝重要神经血管的基础上,经内窥镜引导下,李主任将肿物逐步分离并完整切除。术后病理明确了侵袭性纤维瘤的诊断,孩子术后恢复良好且面部神经功能完好,张口受限改善,目前已顺利康复出院。

上观号作者:上海市儿童医院

加载中...