新浪财经

新进展!基因诊断与治疗,为难治性年龄相关黄斑变性患者,提供新选择!

媒体滚动 2022.01.29 08:59

原标题:新进展!基因诊断与治疗,为难治性年龄相关黄斑变性患者,提供新选择! 来源:上观新闻

日前,复旦大学附属眼耳鼻喉科医院徐格致教授、洪佳旭副教授团队完成了首例年龄相关黄斑变性基因治疗,在疑难眼底病基因诊断与治疗上取得重要进展:年龄相关黄斑变性有可能实现安全有效且作用时间长久的基因治疗。

年龄相关黄斑变性,又称老年黄斑变性,是老年人常见的一种不可逆致盲性眼病,以黄斑区脉络膜新生血管形成为特征,如果不及时治疗,会因出血而导致中心视力严重受损,甚至失明。根据流行病学统计,全国70岁以上人群约有30%-40%患有老年黄斑变性,估算2020-2030年间有2000万名患者需要进行治疗。

严谨而创新的复旦医者

为老年黄斑变性患者带来一抹曙光

2021年12月22日,徐格致教授对67岁的年龄相关黄斑变性患者马先生进行了基于idlv基因工程技术生产的抗新生血管药物治疗。

徐格致教授为马先生进行手术治疗

手术全程20多分钟,徐格致全神贯注、小心慎重地操作着每一个步骤,而他的内心是多年眼科临床经验沉淀的波澜不惊。

一旁的洪佳旭却难免心潮澎湃,他见证着“全国首例年龄相关黄斑变性基因治疗”,是“一个创造历史的时刻”,也是检验他们团队多年心血的重要时刻。

“我们看一看,稳一稳,对基因治疗的效果、安全性观察一段时间。”手术结束后,徐格致教授让团队成员按耐住激动的心情,投入术后的观察中,以治疗效果作为最好的“试金石”。

研究团队完成首例手术后在手术室门口的合影

徐格致教授为马先生复诊

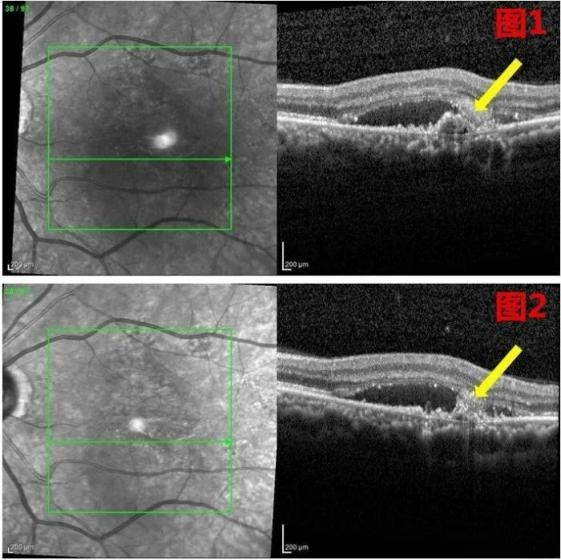
秉持着谨慎的态度,徐格致坚持每周对马先生进行随访和相关检查。2022年1月20日,马先生术后一个月复诊,徐格致发现他的视网膜膜下积液有部分吸收并出现其他好转的组织学迹象,视功能也有所改善,视力从治疗前的20个阅读字母数提高到27个(edtrs矫正视力表检查),没有出现任何局部与全身副作用。

注:与治疗后第3周(图1)相比,治疗后第4周(图2)黄斑区渗出减少,细胞病变较前减轻(黄色箭头)

这意味着年龄相关黄斑变性基因治疗的第一个临床试验取得了初步成效!为今后难治性年龄相关黄斑变性患者提供了新的治疗选择,也为探索其他疑难眼病基因治疗提供了有益的借鉴。

从2018年开始,洪佳旭副教授率先在医院通过首个病毒性角膜炎基因治疗的临床伦理审查。2021年5月,徐格致教授与洪佳旭副教授合作的老年性黄斑变性基因治疗经过详尽的临床前研究和两次医院伦理委员会的严格审查,是否安全,被伦理委员会叩问。经多次实验论证,医院伦理委员会审查通过,并在国家卫健委医学研究登记备案信息系统备案。参与临床试验的患者也进行了严格的筛选,有多项标准,如年龄、有无基础性疾病、视力程度、过去半年未注射抗新生血管生长因子(vegf)药物等。

“患者很有勇气,敢于做一个参与创新治疗方法的人。”徐格致说。

作为入组第一例临床试验的患者,马先生于2018年被确诊为年龄相关黄斑变性伴脉络膜新生血管形成,四年间先后接受了16次眼内注射治疗。随着病情发展,他接受治疗的间隔从最初的9个月,缩短至最少3个月一次。

由于中心视力严重下降而行动不便,马先生每次到医院就诊都需要家人陪同。不仅增加了家庭经济和精神负担,多次眼内注射更有可能带来眼内出血和感染等风险。

正是医院、医生、科研工作者与患者等多方面的共同努力,推动了一项创新治疗方法的诞生,为更多老年黄斑变性患者带来一抹曙光。

基因编辑疗法打造自给自足“药物小工厂”

基因治疗前景值得探索

徐格致教授

“一段时间不打针,老年黄斑变性患者的视力不是走缓慢的‘下坡路’,而是‘下台阶’式的直线下降。”徐格致教授以生动的比喻,道出了眼内注射抗新生血管生长因子(vegf)药物的常规治疗,需要定期反复注射的原因。

洪佳旭副教授

洪佳旭副教授则讲述了玻璃体腔注射抗新生血管生长因子(vegf)药物的原理:“老年黄斑变性这个病,简单的理解是异常的新生血管生在眼睛的眼球壁“夹层”里面,即脉络膜和视网膜,眼球壁其实是我们眼睛发挥功能最重要的区域。如果使用传统的药物注射玻璃体注射,药物是被注射到眼球中央,很难穿透到病灶部位,就会削弱药物的作用。”

相比传统的玻璃体腔注射,基因编辑疗法的脉络膜上腔注射使用特制显微注射器,操作简单,不进入玻璃体腔操作,内眼并发症风险更小。

传统治疗方法需要反复注射抗体,抗体有一个代谢周期,降解之后便需要重新注射。因此眼耳鼻喉科医院徐格致教授、洪佳旭副教授团队和上海交通大学系统生物医学研究院蔡宇伽教授团队合作,研发基于idlv基因工程技术生产的抗新生血管药物治疗。相关基因治疗药物来自于gmp级细胞和基因治疗生产车间单位,并经严格生产质量控制。研究团队期望通过这种技术可以使得机体自身不间断产生“治疗药物”,达到治疗的“一劳永逸”。

蔡宇伽教授

蔡宇伽教授介绍了技术原理:“用一个载体运载抗体,然后递送到眼底,相当于建造了一个“药物小工厂”,可以不断地产生抗体。这样有可能实现一次治疗,终身受益的效果,免去了患者反复注射治疗的过程。”

“这个‘载体’就像是‘快递小哥’,蔡教授研发出的‘快递小哥’非常厉害!”徐格致笑道。idlv是非整合性的慢病毒载体,不会跟人体的基因组整合在一起,保障了安全性。

“基因变异”、“基因修复”等是科幻文学常见的内容,三位“基因治疗”探索者认为“科幻有一定的依据”,而医学上的进步往往需要创新精神和持之以恒的努力。

徐格致教授(右一)、洪佳旭副教授(右二)、蔡宇伽教授(右三)

2018年,基因治疗药物前期研发开始,经过多次试验与备案,2021年正式开始生产,并于12月22日应用。以第一例临床试验患者为开端,团队预计两年完成18例年龄相关黄斑变性基因治疗,从临床试验走向临床治疗。“我们迈出了第一步,还有许多路要走。”徐格致说。

关于基因治疗的前景,洪佳旭说:“现阶段两种疾病可以探索基因治疗,一种是顽症,如遗传性疾病,现有的治疗方法无能为力;另一种是现在有治疗措施,但是副作用非常的大。这两类疾病具有进行基因治疗的前景和可能。”

强强联手,合作共赢

他们让基础研究与临床应用紧密结合

复旦、交大,两所高校的名字仅仅这样放在一起,便足以引起一系列的浮想联翩……

三年前的2019年1月,复旦医者洪佳旭与交大学者蔡宇伽在一次论坛上结识。他们刚好并肩而坐,于是打听了一下对方的研究方向,一听是“基因编辑”“基因治疗”,心里嘀咕着:“哦,原来是对手。”

加了好友,半年没有联络,洪佳旭却突然收到了蔡宇伽的消息:“我这边技术有些进展了,要不要聊一聊?”

随后,身着白大褂的洪佳旭在医院门口,见到了身穿便装,脚蹬旅游鞋,背着背包的蔡宇伽。两人经过深入的探讨,才发现原来并不是对手,而是队友。洪佳旭解答了蔡宇伽关于科研进展在哪种疾病上有应用前景的困惑,而蔡宇伽的技术则解决了洪佳旭在临床治疗上的难题。

洪佳旭(左一)、蔡宇伽(左二)在成果新闻发布会发言

他们开始合作探索顽固性病毒角膜炎的基因治疗并取得创新突破,相关成果和操作技术于2021年在国际顶尖学术期刊《自然-生物医学工程》(nature biomedical engineering)和《自然-生物技术》(nature biotechnology)杂志上接连发表,已开展相关临床应用研究,至今已完成3例顽固性病毒角膜炎基因治疗。

着眼国际前沿成果,洪佳旭与蔡宇伽早已对老年黄斑变性的基因治疗雄心勃勃。在徐格致教授的指引下,他们在病毒性角膜炎help疗法的基础上,沿着基因编辑治疗的道路持续探索,又在老年黄斑变性上取得突破。

“我是医生,他是科学家。我们之间不是竞争,而是敞开心扉的合作。”洪佳旭说。

跨学科的交叉合作,碰撞出智慧的火花。强强联手,合作共赢,让基础研究与临床应用紧密结合,让更多的科研成果发挥重要作用。

薪火相传,上下求索

复旦眼科创造多个领域第一

主编专著4本,发表论文150余篇;个人完成3万余例复杂视网膜手术,带领团队完成全市近40%的视网膜疾病手术,高居上海各医院之首,列全国第二……一系列数字彰显了徐格致教授在眼科玻璃体视网膜疾病学科临床、科研和教学的建树。

恰逢复旦大学附属眼耳鼻喉科医院建院70周年,医院眼科在《中国医院专科声誉排行榜》已连续十二年名列前三。眼科玻璃体视网膜疾病学科是我国最大的玻璃体视网膜疾病诊治、研究与教学基地之一,拥有深厚的历史积淀。在王文吉教授等老一辈开拓者的示范和引领下,经过一代又一代的不懈努力,大批专业人才茁壮成长,紧跟专业发展前沿,积极探索,创造了多个领域第一。复杂性视网膜脱离、视网膜血管病变、高度近视、玻璃体黄斑界面病变、眼外伤及眼内炎症手术治疗等处于国内领先、国际一流水平。

“王文吉教授今年90岁了,坚持来医院上班,她严谨的治学态度影响了附属眼耳鼻喉科医院的许多医生。我们之所以首例年龄相关黄斑变性基因治疗满一个月才公开报道,也受到了恩师严谨态度的影响。”徐格致对恩师王文吉颇为敬重,看好眼科的发展:“学科一旦形成了文化和内涵,这个学科就是有实力的。我们做出了很顶尖的工作,都是在手术室里、显微镜下,交出的细致答卷。”

附属眼耳鼻喉科医院眼科合影

薪火相传,上下求索,徐格致副院长和常青教授2019年牵头成立了“长三角疑难眼底病诊治联盟”,联合29家区域内三级甲等医院,共同提高长三角地区对于疑难视网膜疾病的诊治水平。

洪佳旭说:“建设‘第一个复旦’,我们如果在生物科技领域要有所突破的话,第四波的‘基因药物革命’是一个很好的切入点。”如洪佳旭一般的青年学者,将在科研之路不懈探索,贡献更多的复旦力量。

组       稿

融媒体中心

文       字

胡慧中

图       片

戚心茹、附属眼耳鼻喉科医院

责       编

赵天润

编       辑

刘怡然

上观号作者:复旦大学

加载中...