深圳小伙误喝“橙汁”,竟暴瘦72斤!
央视
21岁的深圳小伙小蔡
最近竟然从170斤
被迫猛减到98斤
这一切竟然是因为
喝了一口“橙汁”......

男子误喝“橙汁”暴瘦72斤
食管中下端竟细成一条“线”
2021年2月,小蔡的爸爸随手拿了个空的橙汁瓶,将同样也是橙色液体的空调清洗剂倒了进去,分装好打算下次用。
没想到,运动完回来的小蔡,一进门看到桌子上有半瓶“橙汁”,想都没想,拿起仰头喝了一大口。

喝下后,嘴巴才后知后觉感受到了刺激苦涩的化学味道,小蔡立刻吐了出来,但部分“橙汁”已经咽下肚了。很快,小蔡的喉咙传来烧灼的感觉。他迅速抠喉催吐,猛灌几杯水,但灼烧感丝毫没有减弱。
小蔡迅速打车到家附近的深圳市第三人民医院。经过检查后,他被诊断为化学腐蚀性咽喉、食管损伤。小蔡被收进了消化内科病房,经过一周的住院治疗,疼痛有所好转,就出院回家了。
但是好景不长
出院两个月后
小蔡竟然吃不下任何东西

男子误喝“橙汁”暴瘦72斤
食管中下端竟细成一条“线”
2021年2月,小蔡的爸爸随手拿了个空的橙汁瓶,将同样也是橙色液体的空调清洗剂倒了进去,分装好打算下次用。
没想到,运动完回来的小蔡,一进门看到桌子上有半瓶“橙汁”,想都没想,拿起仰头喝了一大口。

喝下后,嘴巴才后知后觉感受到了刺激苦涩的化学味道,小蔡立刻吐了出来,但部分“橙汁”已经咽下肚了。很快,小蔡的喉咙传来烧灼的感觉。他迅速抠喉催吐,猛灌几杯水,但灼烧感丝毫没有减弱。
小蔡迅速打车到家附近的深圳市第三人民医院。经过检查后,他被诊断为化学腐蚀性咽喉、食管损伤。小蔡被收进了消化内科病房,经过一周的住院治疗,疼痛有所好转,就出院回家了。
但是好景不长
出院两个月后
小蔡竟然吃不下任何东西
刚开始,他一顿饭需要吃很长时间,短则1个多小时,长则3个多小时。只能将食物一点点嚼碎,再用汤水慢慢送下去,时不时还会吐出来。后来变成一吃就吐,小蔡感觉食道被堵住了,什么东西都吞咽不下去,就连水喝快了也会吐出来。
每天只能喝牛奶维持身体能量的他,2个月内体重从原本的170斤直接猛降到98斤。
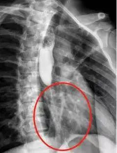
再去医院复诊时,影像结果显示,他的食管中下端居然细成了一根“线”:食管内壁结了厚厚的痂,几乎塞满整个食管,导致食物无法顺利通过,中间最宽的地方只有3毫米左右的空间。
▲小蔡的中下端食管细成一条线原来,小蔡误服的空调清洗剂是一种强碱。
就像我们皮肤受伤了会修复结痂一样,食管被腐蚀性损伤的地方也会“结痂”,受损部位逐渐被疤痕组织覆盖、修复,然后再不断增厚、挛缩,让原本只有两指宽的食管慢慢地变狭窄,食物无法顺利通过,导致人无法进食。

三次手术撑开食管
深圳市第三人民医院消化内科医生经讨论后,决定进行3次手术,逐渐撑开小蔡挛缩的食管。
完成3次手术后,小蔡食管狭窄的问题总算得到解决,吞咽不畅的情况完全消失,终于可以“大口吃肉”了。
▲小蔡如今的食管
▲小蔡的中下端食管细成一条线原来,小蔡误服的空调清洗剂是一种强碱。
就像我们皮肤受伤了会修复结痂一样,食管被腐蚀性损伤的地方也会“结痂”,受损部位逐渐被疤痕组织覆盖、修复,然后再不断增厚、挛缩,让原本只有两指宽的食管慢慢地变狭窄,食物无法顺利通过,导致人无法进食。

三次手术撑开食管
深圳市第三人民医院消化内科医生经讨论后,决定进行3次手术,逐渐撑开小蔡挛缩的食管。
完成3次手术后,小蔡食管狭窄的问题总算得到解决,吞咽不畅的情况完全消失,终于可以“大口吃肉”了。
▲小蔡如今的食管医生提醒:
误服腐蚀性液体后切勿催吐
深圳市第三人民医院消化内科主任张筱茵介绍,误服强酸、强碱等有毒液体导致消化道损伤,甚至丧命的例子并不少见。
张筱茵表示,如果不小心误服强酸、强碱等有腐蚀性的液体,切勿催吐。因为这些液体从入口到达胃部,已经对整个消化道造成了损伤。如果这时候马上催吐,使腐蚀性液体从胃部再次经过消化道,就会对器官造成二次损伤。
张筱茵指出,遇到类似的情况还不能马上洗胃,要先用药控制,以免胃镜检查时,导管对消化道壁造成刺激,加重损伤。正确的做法是先喝一些鸡蛋清和牛奶,稍微中和酸碱度,让消化道形成一道保护膜以减少损伤。然后立刻到医院就诊,以免耽搁时间让病情加重。
来源:深圳晚报
监制/任永蔚
主编/张蓓
值班编辑/温超荣