新浪财经

年轻女子在杭州一整形机构全麻抽脂后肺栓塞,ICU急救脱险

澎湃新闻

关注

原标题:年轻女子在杭州一整形机构全麻抽脂后肺栓塞,ICU急救脱险 

23岁女孩小月(化名)在杭州一家民营整形机构接受全麻抽脂手术,术后发生凶险肺栓塞,肺部出现严重炎症因子风暴,经ICU急救、多学科会诊,这才转危为安。

“抽脂术中,患者脂肪细胞中的小颗粒顺着破损的血管进入肺部,刺激血管发生痉挛,如抢救不及时会导致呼吸衰竭死亡,非常危险。”浙江大学医学院附属第一医院呼吸内科主任医师周华11月2日告诉澎湃新闻(www.thepaper.cn)。

小月是东北女孩,在杭州工作。她从小就长得好看,唯一自己不满意的就是身材。1.65米身高、62公斤体重,在别人眼里不胖,但她总觉得不够瘦。

国庆假期期间,小月前往杭州一家民营整形机构进行双下肢抽脂手术。当天,她接受全麻手术,两条大腿前后侧共抽脂2200ml。

“我手术结束醒过来,就觉得有点胸闷,很想咳嗽,而且越来越厉害,就呼叫了护士。”小月说,之后她就意识模糊了。小月被整形机构呼叫120送至浙大一院。

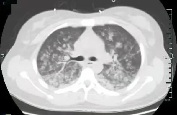
小月肺部检查发现已是“白茫茫一片”。

“患者送来时已经昏迷状态,严重胸闷气促,血氧饱和度低于90%。”急诊医生表示,根据肺动脉CTA、肺部CT等检查结果显示,小月为肺脂肪栓塞,“肺部已是白茫茫一片,产生严重的炎症因子风暴”。

小月被迅速转入ICU救治才平稳病情,后她被转入普通病房,又经神经内科、整形外科等专家会诊后,各项指标都已恢复,目前已顺利出院。

“肺栓塞是以各种栓子阻塞肺动脉或其分支的一组疾病或临床综合征的总称,肺血栓栓塞、肺脂肪栓塞都可能在抽脂手术后短时间内发生,严重者会因呼吸衰竭死亡,但如果及早抢救,预后还是比较好的。”周华表示。

澎湃新闻从浙大一院了解到,小月出院后不久,该院急诊科

又接诊到一例进行双下肢抽脂手术后发生肺栓塞的患者,

所幸症状相对较轻,在呼吸内科治疗2天后出院。此前,浙大一院曾接诊过隆胸手术时发生大出血、打美容针感染非结核分枝杆菌导致全身多处溃烂、点痣“点”出皮肤癌等患者。

“医疗美容手术作为侵入式医疗行为,本身具有创伤性和医疗风险。正规医院除了技术更成熟外,抢救的措施也更加完备,万一出现危险也可以及时开展救治。”浙大一院整形外科主任徐靖宏主任医师建议,在正规的大医院进行整形手术。

加载中...