揭开“粉红杀手”乳腺癌的神秘面纱 一文读懂乳腺癌
网站滚动

图右:郭贵龙
郭贵龙
温医大附一院乳腺外科主任医师、教授、外科学博士、硕士生导师
中国抗癌协会康复协会乳甲专业委员会委员
中国抗癌协会癌康会乳房微创与乳房重建学组委员
中国医药教育协会乳腺癌专业委员会浙江分会常委
浙江省免疫学学会第六届理事会理事
浙江省肿瘤外科专业委员会常委
浙江省临床免疫学专委会常委
浙江省乳腺癌专业委员会常委
浙江省数理协会循证医学专委会常委
浙江省乳腺癌质控专家委员会委员
浙江省医师协会外科学分会委员
温州市乳腺癌专业委员会副主任委员
专业擅长:
早期乳腺癌的外科治疗及综合治疗,晚期乳腺癌的解救治疗。
坐诊时间:
周一上午 附一医公园路院区
周一下午 公园路院区名医馆
周二、周四上午 附一医南白象院区
周四下午 南白象院区名医馆
哪些不良生活方式
会为乳腺癌的发生埋下隐患
2020 年全球最新癌症负担数据中一个最明显的变化是乳腺癌新发病例数的快速增长,取代了肺癌成为全球第一大癌症,乳腺癌发病人数增加,根本原因之一是乳腺癌风险因素的不断变化,比如:推迟生育、生育次数减少,这在正经历社会和经济转型的国家中最为明显。超重和肥胖以及缺乏运动,也是造成全球乳腺癌发病率上升的原因。

图右:郭贵龙
郭贵龙
温医大附一院乳腺外科主任医师、教授、外科学博士、硕士生导师
中国抗癌协会康复协会乳甲专业委员会委员
中国抗癌协会癌康会乳房微创与乳房重建学组委员
中国医药教育协会乳腺癌专业委员会浙江分会常委
浙江省免疫学学会第六届理事会理事
浙江省肿瘤外科专业委员会常委
浙江省临床免疫学专委会常委
浙江省乳腺癌专业委员会常委
浙江省数理协会循证医学专委会常委
浙江省乳腺癌质控专家委员会委员
浙江省医师协会外科学分会委员
温州市乳腺癌专业委员会副主任委员
专业擅长:
早期乳腺癌的外科治疗及综合治疗,晚期乳腺癌的解救治疗。
坐诊时间:
周一上午 附一医公园路院区
周一下午 公园路院区名医馆
周二、周四上午 附一医南白象院区
周四下午 南白象院区名医馆
哪些不良生活方式
会为乳腺癌的发生埋下隐患
2020 年全球最新癌症负担数据中一个最明显的变化是乳腺癌新发病例数的快速增长,取代了肺癌成为全球第一大癌症,乳腺癌发病人数增加,根本原因之一是乳腺癌风险因素的不断变化,比如:推迟生育、生育次数减少,这在正经历社会和经济转型的国家中最为明显。超重和肥胖以及缺乏运动,也是造成全球乳腺癌发病率上升的原因。
已有研究和流行病学资料提示:高脂肪、高热量食物的大量摄入,导致身体的肥胖;作息不规律、长期熬夜、抽烟喝酒,工作生活等方面的压力过大;缺乏运动;此外还有生育方面的不利因素:晚育、生育次数减少、不哺乳等;常用含有雌激素的药品、补品或者化妆品,都有可能是乳腺癌的潜在因素。通过改变生活方式,可以降低30%乳腺癌的发病率。

乳腺超声报告怎么看

乳腺超声报告怎么看
B超检查结果一般由典型图像、乳腺结构的描述和超声诊断三部分组成,主要报告里面会描述乳腺内部有无异常的回声、大小、形状,导管是否扩张?腋窝淋巴结的情况。
首先需要看结节的大小和形状,如果结节比较小,形状规则,边界清晰,一般是良性的,可以3-6个月随访观察;如果边界毛糙,欠清晰,形态不规则,呈“螃蟹足”的改变,那么恶性的可能性比较大。
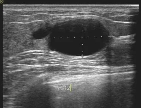
规则、椭圆形的良性肿瘤
不规则的“蟹足样”乳腺癌
还有一个重要的征象,结节是否有钙化,但钙化的形状也很重要,粗大或者斑点样的钙化灶一般为良性的,细沙样钙化,需要警惕恶性的可能。一个纵横比的指标,如果说纵横比大于1,垂直生长,提示肿块恶性的可能性,但是单纯这个指标也可以见于囊肿。乳腺彩超还能够显示肿块的血供情况,良性肿块一般见不到明显血流信号,但恶性肿块血流信号往往比较丰富,这样才能保证肿瘤有充足的营养。通常根据需要我们还要看看腋窝是否有淋巴结肿大,转移的淋巴结也有一些特征,其实健康人也会看到有淋巴结回声,不必紧张。
乳腺癌有丰富的血流
结节的位置通常用钟表的几点表示,我们把靠近乳头、远离乳头、还有中间区域分为三部分,分别用A、B、C表示,如:6C、8B的结节。
另外还有弹性成像评分,通俗讲就是肿块的硬度。从1到5分为五个等级,分数越高,
说明弹力越差,恶性的可能性就大。一般情况下1至3分的情况下绝大部分属于良性肿瘤,4分可能会超过1/4的患者属于恶性肿瘤,5分则考虑为高度恶性。通常用颜色的深浅;表示。
最后我们可以看到结果有一个乳腺BI-RADS的评级,从低到高分为1-6级,1类表示没有发现异常,2类表示良性病变,3类基本是良性,恶性概率低于2%;而从4a、4b、4c开始,出现恶性肿瘤的可能性逐渐增加;5类是高度怀疑恶性;6类表明已做穿刺,病理证实为恶性的。
乳腺钼靶需要做吗
B超和钼靶是不一样的两种检查,B超的优点能敏感地发现结节或肿块,鉴别囊性或者实体肿块的准确率达到100%;而钼靶则是能发现B超发现不了的微小钙化灶,因为有些肿瘤首发的不是实体肿块,而是非常细小、广泛的钙化灶。如果钙化灶大小不一,形态各异,簇状聚集或是沿乳腺导管线性排列等,这些征象提示恶性钙化。已有研究表明,两种检查联合起来,可以提高乳腺癌的检出率。
钼靶图像(白点为钙化灶)
除了诊断的作用外,B超和钼靶还可以协助定位手术目标病灶。我们为了精准地切除病灶,常规使用的术前定位都是B超定位;对于只有钼靶发现的病灶,可以利用钼靶定位,置入金属导丝,有助于术中精准切除病灶。
术前钼靶导丝定位
一般建议B超3-6月复查一次,对于小于40岁女性,乳房致密,不建议做钼靶X线筛查,对于乳腺癌高危人群可以在40岁以下做筛查,必要时可以结合B超检查。40岁以上的女性1-2年做一次钼靶X线检查。
乳腺疾病检查是否可以做核磁共振
可以做的,目前的研究表明,核磁共振检查乳腺疾病的灵敏性、特异性和准确性都很高,均达到90%以上,可以检出B超和钼靶无法检出的肿瘤,尤其是致密性乳腺或者靠近腋窝的肿瘤,多中心或者多灶性的病变,需要进行乳腺的核磁共振检查。一般钼靶X线检查对于恶性肿瘤的检出率大概在60-70%左右,但是对钙化灶的检出率相对磁共振可以高出约50%。
不过由于磁共振的价格较高,预约时间较长,还需要注射造影剂,可能导致过敏,因此目前我们不作为筛查疾病的常规手段,而是建议B超或钼靶有怀疑但不能确定恶性疾病的患者、有乳腺癌家族史,或者有乳腺癌高危因素的的女性朋友筛查。
病理单怎么看
免疫组化是什么意思
乳腺癌术后的病理诊断是制定治疗方案的重要依据,第一看类型,乳腺癌分为很多种类型,治疗方案和预后也不相同,临床上最多见的是浸润性导管癌,还有导管内癌,预后很好,不需要化疗;第二看肿瘤的大小,肿瘤越大,预后越差;第三看淋巴结是否转移。如果肿块较大,淋巴结有转移,说明比较高危。

乳腺癌淋巴结转移
免疫组化是病理诊断中的一种检测方法,利用已知抗体来特异性结合肿瘤细胞上的抗原,进而通过显色定性、定量分析肿瘤的性质和组织类型。乳腺癌免疫组化指标主要包括ER、PR,也就是雌激素、孕激素受体,还有HER-2是一种乳腺癌的癌基因,和ki-67,反映了肿瘤细胞的增殖活性。

免疫组化染色后的图像
根据这些指标的表达的情况与程度,判定乳腺癌的分子分型,以及危险程度,制定合适的治疗方案。我们常说的激素受体阳性,就是指雌、孕激素受体(ER、PR)阳性的乳腺癌,占60-70%,可以用内分泌药物治疗,预后较好;HER-2阳性的乳腺癌,占25%,预后较差,需要接受抗HER-2治疗;当然ER或PR及Her-2均阳性,称为三阳性乳腺癌,需要接受内分泌及靶向治疗;三阴性乳腺癌,占15%,没有特异的治疗性靶标,主要采用化疗的方法,预后较差。
乳腺癌常用治疗方式

目前常见的治疗方式包括手术、化疗、放疗、内分泌治疗和靶向治疗、免疫治疗等,满足手术指征的患者优先选用手术治疗,随着综合治疗的改善,在不影响治疗效果的前提下,出现了手术范围的缩小,更注重生活质量的提高。比如:改良根治术、保乳手术、保腋窝手术,还有重建手术。乳腺癌通常分为雌激素或孕激素受体阳性型、HER-2阳性型或三阴性型,不同的类型有各自的特征,治疗方式也有不同。激素受体阳性型需要接受内分泌治疗,通过21基因检查,对于复发风险低的患者可以避免化疗;HER-2型需要针对癌基因HER-2的靶向治疗;三阴性型乳腺癌通常需要接受化疗。

乳腺癌分为早期、中期及晚期,早期以手术为主的综合治疗,治疗的目的追求治愈;晚期患者难以治愈,以提高生活质量、延长生命为目的;部分中期的患者可以先通过新辅助治疗,肿瘤缩小后再手术。化疗适用于各种分子分型的具有较高复发风险的浸润性乳腺癌患者;放疗适用于肿瘤较大的、有腋窝淋巴结有转移的,还有保乳术后的患者;内分泌治疗适用于雌、孕激素受体阳性的患者;靶向治疗适用于Her-2阳性的患者。对于晚期患者我们需要结合不同的类型,将以上治疗手段进行优化。
乳腺癌患者能做保乳手术吗
保乳会增加复发风险吗
可以做,保乳手术现在已经是非常成熟的术式,满足保乳手术条件的患者,只要能保证切缘阴性的前提下,在尽量维持乳房外形的同时,最大化地切除肿瘤,提高乳腺癌患者的生活质量。保乳手术后需要增加放射治疗,可以进一步降低局部复发的风险。

乳腺癌淋巴结转移
免疫组化是病理诊断中的一种检测方法,利用已知抗体来特异性结合肿瘤细胞上的抗原,进而通过显色定性、定量分析肿瘤的性质和组织类型。乳腺癌免疫组化指标主要包括ER、PR,也就是雌激素、孕激素受体,还有HER-2是一种乳腺癌的癌基因,和ki-67,反映了肿瘤细胞的增殖活性。

免疫组化染色后的图像
根据这些指标的表达的情况与程度,判定乳腺癌的分子分型,以及危险程度,制定合适的治疗方案。我们常说的激素受体阳性,就是指雌、孕激素受体(ER、PR)阳性的乳腺癌,占60-70%,可以用内分泌药物治疗,预后较好;HER-2阳性的乳腺癌,占25%,预后较差,需要接受抗HER-2治疗;当然ER或PR及Her-2均阳性,称为三阳性乳腺癌,需要接受内分泌及靶向治疗;三阴性乳腺癌,占15%,没有特异的治疗性靶标,主要采用化疗的方法,预后较差。
乳腺癌常用治疗方式

目前常见的治疗方式包括手术、化疗、放疗、内分泌治疗和靶向治疗、免疫治疗等,满足手术指征的患者优先选用手术治疗,随着综合治疗的改善,在不影响治疗效果的前提下,出现了手术范围的缩小,更注重生活质量的提高。比如:改良根治术、保乳手术、保腋窝手术,还有重建手术。乳腺癌通常分为雌激素或孕激素受体阳性型、HER-2阳性型或三阴性型,不同的类型有各自的特征,治疗方式也有不同。激素受体阳性型需要接受内分泌治疗,通过21基因检查,对于复发风险低的患者可以避免化疗;HER-2型需要针对癌基因HER-2的靶向治疗;三阴性型乳腺癌通常需要接受化疗。

乳腺癌分为早期、中期及晚期,早期以手术为主的综合治疗,治疗的目的追求治愈;晚期患者难以治愈,以提高生活质量、延长生命为目的;部分中期的患者可以先通过新辅助治疗,肿瘤缩小后再手术。化疗适用于各种分子分型的具有较高复发风险的浸润性乳腺癌患者;放疗适用于肿瘤较大的、有腋窝淋巴结有转移的,还有保乳术后的患者;内分泌治疗适用于雌、孕激素受体阳性的患者;靶向治疗适用于Her-2阳性的患者。对于晚期患者我们需要结合不同的类型,将以上治疗手段进行优化。
乳腺癌患者能做保乳手术吗
保乳会增加复发风险吗
可以做,保乳手术现在已经是非常成熟的术式,满足保乳手术条件的患者,只要能保证切缘阴性的前提下,在尽量维持乳房外形的同时,最大化地切除肿瘤,提高乳腺癌患者的生活质量。保乳手术后需要增加放射治疗,可以进一步降低局部复发的风险。
已有大量的上万、上十万的病例研究证实,结合我们自己的临床资料,保乳手术联合放疗的疗效,不亚于创伤较大的乳房全切手术,反而保乳手术的生存率优于乳房全切除术,同时手术的并发症会有明显的减少。
乳头溢液是怎么回事

乳头本身可以因为体内的激素变化而出现少量溢液,大多是清亮的白色或者黄色,属于生理性溢液。仔细观察一下,如果是从多个孔流出来的,可能是乳腺增生、乳腺导管扩张,可以定期复查;但如果看到乳头溢出颜色是暗红色或者鲜红色,从一个孔里流出来,通常是乳腺导管出现了问题,其中9%可能是早期乳腺癌,而52%的导管内癌中都会出现血性溢液,这需要我们重点关注;如果说流出来的液体很多,那么可以化验一下催乳素,有可能是垂体瘤的早期症状。
做乳腺检查该如何选择合适的时间
在月经周期的不同时期中,受雌激素及孕激素影响,乳腺也会发生变化。比如月经前,雌激素水平较高,乳腺组织会出现不同程度的充血、水肿,会有乳房胀痛,乳腺有些增厚,这属于生理性改变,不需要治疗。这时候检查,有可能会影响我们对乳房肿块性质的判断。因此我们建议,最适宜的检查时间是月经干净后3-7天之内。这时雌激素对乳腺组织的影响最小,处于相对静止状态,也最容易发现异常。

乳头本身可以因为体内的激素变化而出现少量溢液,大多是清亮的白色或者黄色,属于生理性溢液。仔细观察一下,如果是从多个孔流出来的,可能是乳腺增生、乳腺导管扩张,可以定期复查;但如果看到乳头溢出颜色是暗红色或者鲜红色,从一个孔里流出来,通常是乳腺导管出现了问题,其中9%可能是早期乳腺癌,而52%的导管内癌中都会出现血性溢液,这需要我们重点关注;如果说流出来的液体很多,那么可以化验一下催乳素,有可能是垂体瘤的早期症状。
做乳腺检查该如何选择合适的时间
在月经周期的不同时期中,受雌激素及孕激素影响,乳腺也会发生变化。比如月经前,雌激素水平较高,乳腺组织会出现不同程度的充血、水肿,会有乳房胀痛,乳腺有些增厚,这属于生理性改变,不需要治疗。这时候检查,有可能会影响我们对乳房肿块性质的判断。因此我们建议,最适宜的检查时间是月经干净后3-7天之内。这时雌激素对乳腺组织的影响最小,处于相对静止状态,也最容易发现异常。
做钼靶检查的时候,很多女性朋友会觉得疼痛,乳腺受到雌激素的影响,对疼痛的敏感是不同的,如果选在月经干净后7天之内,乳房在最松弛的状态,疼痛会大大降低,不会难以忍受。
而做乳腺磁共振需要使用造影剂进行强化,正常乳腺组织的强化在月经周期的分泌期最为显著,尽量选在月经周期第二周(7-14天)进行。
而绝经期以后的女性,因为已经不再有月经了,所以就没有这方面的要求。
健康导医 播出时间
首播:
温州人民广播电台FM94.9新闻广播
周一至周五中午 10:00-11:00
温州人民广播电台FM93.8调频广播
周一至周五中午 11:00-12:00
重播:温州人民广播电台FM94.9新闻广播
周一至周日晚上 21:00-22:00
《健康导医》
温州广电“十佳广播电视栏目”
《健康导医》是温州广播电视传媒集团“十佳广播电视”栏目,是由温州市卫生健康委员会主办的广播栏目。
作为温州开办历史最悠久的一档广播医疗服务类栏目,2007年11月开播至今,已经邀请一千多位名医作客直播室,为数万名听众预约名医就诊,拥有温州各大公立医院数千位专家组成的名医联盟。
与温州市卫健委联合推出的“院长在线”专栏以及“健康服务”进基层等大型系列公益活动深入人心,栏目听众遍布温州、台州、丽水等周边地区。
《健康导医》实现了音视频同步直播、线上线下全方位、多角度立体呈现的融媒体传播。
《健康导医》栏目合作单位
温州市卫生健康委员会
温州市中心血站
温州市疾病预防控制中心
温州市健康妇幼指导中心
温州市急救中心
温州市计划生育协会
温州医科大学附属第一医院
温州医科大学附属第二医院、育英儿童医院
温州医科大学附属眼视光医院
温州医科大学附属口腔医院
温州市中心医院
温州市人民医院、温州市妇女儿童医院
温州市中医院
温州市中西医结合医院
温州市第七人民医院
生活温州APP原创稿件
◆记者:斯骞
◆编辑:虞曙阳
◆责编:杨平
◆主编:张昶
◆审核:胡玮