新浪财经

人脑和机器能直接通讯吗?

虎嗅APP

关注

原标题:人脑和机器能直接通讯吗? 来源:返朴

本文来自微信公众号:返朴(ID:fanpu2019),作者:吴建永(美国乔治城大学神经科学系教授),头图来自:视觉中国

8月1日,在首届“青年科学家50²论坛”上,“科学探索奖”历届100位获奖人基于对当今科学热点问题的思考和对科学发展趋势的判断,提出了“十大科学技术问题”。其中一个广受公众关注的问题是“人脑和机器是否能实现直接通讯?”

对此问题的直接回答是:“可以,而且此技术已有多年的研究历史。”目前的主要动机是想要帮助运动和感知功能受损的残障人士,但技术发展和商业动力不会止步于此。未来会怎样?我们请美国乔治城大学神经科学系教授吴建永对此做个幻想未来。除却目前的繁琐技术,可能的走向是什么?他认为,脑机接口技术的未来发展可能完全脱出俗套,需要解决的科学问题远多于技术问题。

以下为正文:

我先对题目里的“直接通讯“咬文嚼字一下,所谓的“直接”是什么意思。按理讲我们都明白,人脑和机器直接通讯就是往脑子里插电线呗。但是,随着技术的进步,人机通讯可以不用“插电线”,而用超声,用光,用磁场或微波来进行。

另外“电线”的定义也会随着技术进步越来越模糊。比如,用无线传输代替穿过头皮和头骨的电线。又比如,利用与神经细胞大小类似的无线芯片实现通讯,这样电线虽然还是有的,却只在“最后一微米”存在,变成镀在硅片上的薄层金属膜,一边是个神经细胞,另一边是个COMS晶体管。甚至用神经细胞膜直接当做场效应管的栅极。

所以,我把“直接通讯”理解为“绕过天然的五官或肌肉,让神经细胞与电子线路进行直接的信息交换”。

为什么要绕过感官和肌肉呢?目前的主要用途是帮助感官损坏或不能活动的残障人士获得比较高的生活质量。我们都看到过能让截瘫病人打字、吃油条、喝可乐的新闻。

由于脑机接口带来的道德考虑,目前脑机接口的受众主要是残疾人。然而随着技术不断完善,应用会逐渐变宽,“帮助残障人士”的界限也变得模糊了。比如阿尔兹海默症失忆患者将来有可能利用脑机接口来增强记忆,恢复生活自理的能力。

那么记忆差的人是否也能用脑机接口增强记忆?继续发展下去就变成帮正常人增强记忆和思想活动的工具,比如所谓“脑读”设备,利用脑机接口驱动的搜索引擎,数据库等等。设想一下不用考大学,甚至根本不用上大学就能考满分的感觉多么“好”

回忆一下第一次工业革命的机器帮助了人类的肌肉,把铁锹变成挖掘机就掀起了社会巨变,就不难设想人脑与机器间实现高速通讯会造成怎样天翻地覆的社会变革。到时候,大脑高度互联的超级文明会不会终结目前建立在个体松散连接基础上的人类文明?

这里不讨论人类文明结束以后的事,只谈谈想在这个巨变之前,我们作为目前社会中松散连接的渺小个体,怎样改进脑机接口技术,逐渐让脑机接口变得更安全可靠、更强大。

脑机接口的基本原理

我们知道神经细胞利用电信号来相互通讯。神经细胞的电信号是短促的放电(图1A),听起来像收音机里劈劈啪啪的静电噪声。如果在神经细胞旁边放一个电极,就可以接收到神经的放电(图1B)。同样,这个电极也可以把外界的电流送过来,这个神经细胞受电流影响就会放电(图1C)。这样,电极与神经细胞之间就实现了双向的收发通讯。这个双向通讯从大脑的角度看,神经细胞接受外部电流引起放电就叫产生“感觉(sensory)”,而神经细胞放的电通过电极送出去就导致了“运动(motor)”。

图1 脑机接口基本原理 A 左为大脑皮层中的神经细胞,中为神经放电的电信号,放电信号很短促,只有大约千分之一秒。右为同一个细胞的一串放电。神经信息是编码在其放电的个数、频率(单位时间内放电数目)以及不同神经细胞之间的协同等几种形式上的。B 当一个电极靠近神经细胞时,神经细胞发出的放电信号(黑色竖线)就能被电极接收。电极的构造是一个导电的尖端(红色)和后面的电线构成。电线周围包裹着绝缘层(蓝色)以防止漏电。C 当给电极通上电流时,神经细胞会受电流的影响而放电。图中红线代表通电流的时间和强度,黑线代表神经细胞的放电。

脑机接口的电极一般包含一个导电的尖端和一根外裹绝缘层的长电线。尖端用来接收和发送电信号,而后边外裹绝缘层的电线则用于远距离传输时防止漏电。从细胞的尺度上看,几厘米的距离已经是千山万水了。

所以,实现脑与机器直接通讯在原理上是十分简单的,只需要用电极靠近神经细胞就行了。但从技术上看,又不那么简单:电极尖端与神经细胞需要靠得很近,距离稍远信号就可能被噪声淹没。而尖端太近了可能会破坏了那个神经细胞,使这条通路失效。所以尖端的尺度、电极插入的方法、电极材料能与脑组织相容性、电极杆是否足够细、能否随脑组织飘动而不引起损伤等等,都是困扰现今脑机接口应用的技术性问题。

一个电极的脑机接口

那么用一个电极的脑机接口有多大效果呢?其实效果还是很可观的。1960年代,耶鲁大学脑机接口的先驱荷塞·德尔加多(J.M. Delgado)就成功展示了用1~2根电极的脑机接口可以让一头愤怒的公牛掉头逃走(图2)

其原理非常简单,就是把一根电极植入脑子里负责产生恐惧感的结构(杏仁核)。当公牛向他冲过来的时候,他通过遥控器向那个电极传入电流,让杏仁核里的神经细胞兴奋起来。这时牛就会产生一种无比巨大的恐惧感,掉头跑掉。但是实际用的时候发现牛冲得太快,让人来不及躲。于是他又在牛脑内控制的结构(尾核)里加了一个电极。这个电极一通电就能搅乱牛跑步的动作, 感觉像踩上香蕉皮,牛就会急刹车,立刻慢下来。

从那个时代至今,已经有很多刺激脑皮层以下关键结构的研究,也产生了惊人的效果,如超过一切真实体验的欣快感或恐惧感,能让冲锋的公牛突然僵住或让僵住的巴金森病人瞬间恢复自由活动能力等(就是医院里常说的“脑起搏器”)

但德尔加多的实验还不算真正意义上的脑机接口,因为它的电极影响了周围一大堆神经细胞,只是对正常神经过程进行干扰。

1980年代,科学家做了一个更精细的实验说明操控少数神经细胞就能对决断产生影响。这个实验是让猴子看一个屏幕,上面有许多乱飞的点点,类似于围着桌子飞的一群苍蝇。这时让猴子做个游戏,判断是从右向左飞的点点多还是从左向右飞的点点多。如果猴子认为向右飞的多,就按右边的电钮,认为向左飞的多就按左边的电钮。猜对了有奖!

刚开始的时候先玩80:20,即100个点子里有80个向一个方向飞,另外20个向反方向飞。猴子很快就学会了。然后研究人员就提高难度,75:25,70:30, 65:35 …… 越来越难。然而猴子都是打电玩的高手,玩了几天,技能就提高到50:49。即满屏飞行的点点里哪怕有1% 的不对称 ,猴子也能猜对。然后研究人员就开始耍赖,让给猴子看没差别的屏,即50:50。这种情况下猴子无论如何努力,都只能蒙对一半。这时研究人员用一个单电极脑机接口影响大脑皮层视觉区中少数几个神经细胞的放电,结果发现这样微小的影响居然能改变猴子的猜左或猜右的决断。

对这个实验您可以脑补一下,您在做决定去看电影还是去喝咖啡时,脑子里会有万亿神经细胞在七嘴八舌地吵。这时是不是可以用影响其中很少数几个神经细胞的活动来让您改主意?

多个电极的信息优势

只用一个电极的脑机接口有两个很大的缺点:一是通讯的信息量非常少,只能在小范围内变化。第二是可靠性太差,如果这个神经细胞“走神了”即不去参加您想控制的脑活动,或者躺平死了,那么控制就失效了。所以,目前的脑机接口都需要很多电极。举两个有新闻效应的例子,一个是用一百多个电极实现对手指的虚拟感觉(图3),另一个是用一百多个电极实现截瘫病人快速打字等等。

图3  用多个电极产生虚拟感觉  A 把假手的每个手指分成八个区域(1-8),把每个区域的压力传感器信号转化成电流通进一个电极。这样假手上不同位置的不同压力就能转化成对不同神经细胞的不同发放频率,以产生虚拟感觉。B 电极植入脑皮层的位置示意图,虚线代表脑皮层上的主要地标“中央沟”,中央沟后面就是身体感觉的手区。C 病人脑皮层上实际的感觉区与电极的相对位置。浅黄色为手掌感觉区,橘黄为小指区,淡紫色为食指区,红色为拇指区。灰色方块为电极阵的位置。从图中可以看出,植入电极的范围虽然远比手感觉区小,而且手指手掌的位置也和感觉区对不上。但是通过手眼结合的训练,病人逐渐能学会,产生逼真的虚拟感觉。(图源:Flesher et al., Sci. Transl. Med. 8, 361ra141 (2016) )

用多个电极获得的信息量不是简单的加和,而是一加一大于二,能在好几个方面获得单电极测不到的信息。

首先,单电极只能看到眼前一个神经细胞放电速率的改变,却不知道这是否只有这个细胞在“发神经”, 还是周围很多神经细胞都在活动。而用多个电极则很容易分辨这两种情况。这个有多少个神经细胞一起活动的信息很重要,因为一般大脑想做点什么事都需要大量神经细胞的参与,因此看到很多神经细胞都在放电就意味着有一个正在进行的神经过程。

其次,多电极可以看到不同神经细胞之间活动的关联。关联有正有负。正相关指神经细胞A和B的活动同时增加或同时减少;而负相关则是A增加对应于B减少,A减少对应B增加。细胞间的活动关联信息对于解读脑子想干什么很重要。

比如在上面提的用100个电极实现快速打字的例子里,神经细胞A, B,C的活动可能在病人想画顺时针圆圈的时候出现正相关,而D,E,F活动出现负相关;而当想画右折角的时候,则出现B,D, F正相关,A,C,E负相关。这样把多个电极测到的放电送给AI的神经网络去分类,再跟病人的具体意愿进行对比,就能更准确地猜出病人想写什么字母串。

第三,用多个电极可以获得不同神经细胞放电信号之间的时间关系。神经放电信号很短促,只有1 毫秒(千分之一秒)的时间。如果A放电后B也紧跟着放电,就可以说二者间活动是同步的。同步是比相关更强的联系,提示二者间可能有物理联系或共同接收另一个神经细胞的信号。一个神经过程经常是几百万到几亿神经细胞协同活动,其中包含高度复杂的相关、同步和因果关系。可以想象,脑机接口的电极数量越多,就越能透彻地分析出大脑想干什么。

如果把大脑比作一个世界,每个神经细胞比作一个人,那么显然同时与很多人通讯才能更准确地把握世界的动态。

多少根电极才够用?

目前钢铁侠马斯克的“缝纫机”已经能在动物脑子里插3千多个电极了。脑机接口的进化也符合指数定律(图4),而将来的新技术有可能会出现很快的增长。

图4 脑机接口的电极增长速度 图中蓝色为半导体芯片上晶体管增长数目,红线为脑机接口记录到的神经细胞数量。从历史上看,晶体管数目约每2年增加一倍(摩尔定律),脑机接口记录神经细胞的数量大约是每7年增加一倍。丨图源:Hong and Lieber, Nature Reviews Neuroscience (2019) https://doi.org/10.1038/s41583-019-0140-6

那么究竟需要多少电极才够用呢?我们可以根据教科书知识来粗略估计:

首先看触觉:人的一个手指尖的精细感觉需要大约3000个压力感受器,有这样的分辨率才能让您摸出没洗脸的粗糙或使用高级化妆品后的细腻。如此,两手十指加上手掌,几万个电极不算多吧?

然后看视觉:眼睛是心灵的窗户,大脑接收的外界信息有90% 来自眼睛;与大脑相连的视神经占大脑与整个身体相连神经总数的40%;50%的大脑用于视觉信息的处理。视神经内大约有120万根神经纤维(每根纤维由一个神经细胞长出来,用于把自己的活动信息送进大脑)。如此看来,要想通过脑机接口看电视,总得有百万数量级的电极吧?

最后看思想:我们知道脑壳里有左脑和右脑,各自有自己的思想和脾气,相当于两个“人”住在一个脑子里。那为啥您感觉不到这两个人打架呢?因为左右脑之间有很好的沟通。这种随时随地,非常良好的沟通需要有两亿根神经纤维。所以您虽然有时会感到自己科学范儿和艺术范儿的矛盾, 或者用直觉做出违反逻辑判断的决定,但基本上思想还是和谐的,没有左右脑互相想离婚的感觉。

可以设想,若要让大脑和机器无缝对接,和谐相处,需要亿数量级的电极。有这样多的电极就能实现人脑-机器融合在一起的现象,脑子和机器不再会闹变扭,也不再会有人想把脑机接口关了,因为关机以后会感觉脑子突然空了,突然变成傻子一样。

大脑皮层中有约二百亿个神经细胞,他们之间广泛联系,但主要的“互联网络”都是在附近几毫米内完成的,而远程联系(如左脑右脑之间)只有很少量的一部分。所以最终脑机接口能达一亿根电极,即脑细胞数量的百分之一左右,是符合神经系统中短程和长程连接比例的。

回到本文的题目,人脑和机器直接通讯应该是没问题的,而真正的技术挑战是怎样能让通讯的容量超过自然速度,即超过大脑通过天然的感官和肌肉与世界的通讯速度。由于神经细胞本身速度的限制,增加电极的数目是增加通讯速度的唯一办法。按视神经里百万根神经纤维的编码容量,我们可以估计出大脑天然的通讯速度大约与一个视频通道相当。而大通讯容量脑机接口的关键就是“最后一微米”工程。即怎样让大量的电极与大数量大神经神经形成可靠的连接。

从一万个到一百万个电极

达到一万电极大概不难,也许马斯克的缝纫机几年内就能做到。但是继续增加几个数量级的电极就不再能用目前的软电极技术了,因为要插入脑皮层的电线实在太多了。

连接一百万个电极的脑机接口有可能采用不用插入的平面电极阵。这个电子技术目前已经有了,类似于手机上相机上用的CMOS芯片。手机相机轻易能达到几百万个像素,其中每个像素就是一个测量光强的感受器。如把光感受器改成电感受器(电极),就可以变成有几百万电极的脑机接口。

我们看看手机的相机,可以发现几百万光感受器的信息并不需要几百万根电线通出来,而是把信号在相机硅片上已经整理好了,从一根电线上循序导出。类似地,人们可以把神经细胞放电的信息在芯片上进行预处理,然后再用一根线把神经细胞放电的信息顺序导出。这个技术也叫“CMOS电极阵”,目前已经用于研究工作。

那么百万电极的技术瓶颈在哪里呢?瓶颈就是怎样让神经细胞和电极形成一对一对的联系。我们知道电极必需靠近神经细胞才能接收或发送信号。在一个有百万电极的两维芯片上,怎样让百万神经细胞每个都凑近一个电极接点,形成稳定的信号通路呢?这情况看着有点像在一个万人体育馆里,记者席上密集排列一万个麦克风。这时让观众席上的每一个人对着其中一个麦克风说话,达到既能听见又互不干扰的目的,看着像个不可能完成的任务。

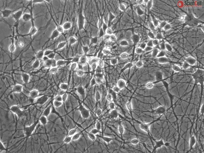
但是这个问题也许可以通过对神经细胞的操控来解决。我们知道神经细胞上有很多枝叉,用来传递和处理信息。这些枝叉不是像树枝一样是固定的,而是像章鱼触手一样可以动来动去。在生物实验中培养神经细胞的时候,很容易观察到单个神经细胞可以自己长出长长的触手 (neurites),和周围其他的神经细胞联系起来(图5)。由此可知神经细胞有向外生长,寻求刺激的原始动力。神经细胞枝叉的生长速度和方向受几种神经生长因子的调控。

图5 人工培养的神经细胞之间形成的连接 图中白色亮圈所围绕的圆形物体是神经细胞,暗色的条状物是神经细胞长出的枝叉,神经细胞靠这些枝叉互相交联传递信息。神经细胞在开始培养时,像一个个小球,互相独立,之后几天内就长出枝丫并与周围的其他细胞接触。

既然神经细胞有持续生长的动力,如果电极点上释放吸引神经生长的化合物,并且在电极表面提供与神经细胞膜粘结的小分子,那么就有可能吸引神经突长过来,在芯片上形成大量稳定的电极-细胞界面。

这个思路叫“神经生长电极”(neurotrophic electrode),由脑机接口的前辈菲尔·肯尼迪(Philip Kennedy)发明。在他的原型器件里,电极尖端是放在一个玻璃管里了,管内含有神经生长因子(图6)。

菲尔是个传奇性的人物,十几年前因为FDA的手续问题和NIH研究经费的问题,他失去了在美国进行人体试验的能力。可是他不甘自己的发明和自己一起在没经费的状况下逐渐老去,于是自费飞到规矩不严的巴西,让医生在他自己的脑子里植入了这种电极。不幸的是,他在自己身上的实验也失败了。

图6 菲尔·肯尼迪和他的神经生长电极 A 肯尼迪的神经生长电极,箭头所指的绿色锥形管是个吸引神经生长的玻璃管。B 玻璃管的放大照片,里面有两根记录电极。C 菲尔在他的实验室里,背后的仪器可以看出是1950-60年代的水平。D 神经生长电极的原理图,采自他2008年的文章。上面是实际记录到的神经发放,信号质量非常好,下面示意当电极埋入大脑皮层后,远处的神经细胞受生长因子的吸引长入玻璃管。

在科学研究上,失败是日常,成功则是奇葩。也许过几年哪个亿万富翁会捡起这个概念,把生长因子和CMOS 电极阵组合起来,创造一个风头超过马斯克1000倍的脑机接口。

注意,目前的脑机接口电极与神经生长电极的理念是非常不一样的,脑机接口是把电极暴力插入,凭运气靠近神经细胞。而神经生长电极则是用生长因子吸引远处的神经细胞长过来,这种方法技高一筹的原因是,电极可以长的离神经细胞非常近而避免插电极时对这个神经细胞造成损伤。而常规插电极的脑机接口总会造成电极附近的神经细胞损伤,毕竟插到很近又不损伤细胞是个小概率事件。

此外,由于神经生长电极是自己长到电极上的,因此结构比较稳定也能随着电极运动。实际测量证明,这种技术可以稳定记录十几年时间,这是目前其他电极难以达到的。

怎样达到一亿个电极

亿级数量的电极应该遍及各个脑结构,而不是集中在一个脑区。另外那么多电极已经不可能再有电线,应该用无线网把神经信号传给外面的接收器。目前的IPv4互联网已经能同时连接四十亿个器件,所以电子工程并不是瓶颈。

而瓶颈是微小的电池和把大批微小的脑机接口布置到脑皮层里。把电子线路做得像神经细胞一样小并不难,但是要给这亿万个掺杂在神经细胞间的“小手机”充电可就太难了。目前的一种办法是用超声波供给能量,但为了提供足够的能量却需要一块很大的晶体来接收声波,如此就不能把无线装置做得像神经细胞这么小。

另一种办法是电池就是利用葡萄糖氧化的能量提供电力。目前血糖电池理念还比较传统,即利用氧化还原电极和催化剂,或利用降解葡萄糖的酶来提供电子。这类装置的缺点是有自己的使用寿命,而且还使用不能生物降解的材料。能不能有一种永远不会磨损的血糖电池呢?

我个人的想法是利用身体本身的细胞来发电。我们都知道的电鱼产生的高压电能轻易电倒一头牛。细胞发电原理已经研究得很清楚,首先是细胞内部有一套完善的代谢系统,逐步承接糖氧化产生的高能电子,并储存在高能分子ATP中,然后再用ATP带动细胞膜上的离子泵积聚化学能(像水坝蓄水),再利用离子通道把化学能变成电能。

身体里大部分细胞都有离子泵和离子通道,所以都是小电池,而脑组织里的小胶质细胞不但能发电,而且能不断再生的,是取之不尽用之不竭的电池。我们需要的只是在芯片上建一些停泊细胞的“采电桩”让小胶质细胞紧密停靠。采电桩的周围需要一些蛋白分子防止漏电,即利用组织之间紧密结合的蛋白结构(tight junction),而采电桩本身则需要用另一种导电的蛋白结构(缝隙连接,gap junction)与胶质细胞的膜融合。

这两种蛋白结构都是现成的,被亿万年的生物进化优化过,也是电鱼产生高压电使用的常规零件。我们现在需要的是搞清这些蛋白分子的结构,知道他们连接的具体位点,这样就可以用芯片上的小化学分子模拟连接的结构,把细胞固定在采电桩上。

当能源问题解决以后,像细菌那样小的电子线路就可以用来把神经信号变成无线电信号。测量神经电信号的电极可以由自组装的微米器件构成(图7A 红色小球)。因此这种小装置会有个与神经细胞类似的长长外形(图7A)

另外一个科学难题是怎样把一亿个小装置布置到脑子里?一个仿生的办法是让改造后的巨嗜细胞把电路吞吃进去(图7C),然后让巨嗜细胞从毛细血管里通过血脑屏障,游走进脑组织再把电路释放出来。

图7 微型无线脑机接口 A 构造示意图。1,电极触手由自组装微米颗粒构成;2,无线接口芯片;3 充电桩;4 停泊在充电桩上的小胶质细胞。B 小胶质细胞的照片(绿色)和周围的神经突起(红色)。C 血液中的巨嗜细胞,可以经过改造后携带微型脑机接口,并通过血液送进脑组织。D 布置在大脑皮层深部的微型无线脑机接口(想象图),左面图中深色斑点是脑皮层中的神经细胞。

电极太多是不是内卷?

应该提一下,业内有些人并不认可电极越多越好这种说法,就连上面提到的大神菲尔·肯尼迪也认为可靠连接比数量多更有意义。他们的论点是这样的:大脑活动的时候虽然有大量神经细胞参与,但大家是协同干同一件事,互相不拧巴。

假定用一百个电极去测量,就能基本上明白大脑想干什么,精确率达到90%。那么把电极数量提高十倍,也许精确率会提高到99%,电极数量再提高一万倍呢?精度达到99.99%。照这么算,有必要为了不到1%的改进而增加99%的费用吗?是不是有点煤老板受骗的感觉?

但是另一派认为目前的脑机接口只能干些非常简单的事,要干比较复杂的事,就一定需要与大脑皮层大量神经细胞广泛互动。比如上面说的用脑机接口看电视就需要很高的通讯速度。另外如用脑机接口代替小脑的功能,就需要用大数量大电极读取全身许多肌肉的张力,并配合人运动的意向来发出大量运动指令控制不同的肌肉。

结语

脑机接口技术在未来的发展可能完全脱出俗套,需要解决的科学问题远多于技术问题。科学上的问题比如怎样让电极吸引神经突触,怎样制造细胞电池的采电桩,怎样让芯片从血液里进入脑组织等目前还处在幻想阶段。但幻想经常是新技术的动力,脑机接口本身也是来源于科幻小说。

从哲学层面上讲,有人认为脑机接口早晚会终结人类文明,其后果甚至远比核大战更坏,因为核大战之后至少还能留下可以进化的原始人,而脑机接口则会让人类变成蝼蚁一般的低级生物。但另一种说法是,人工智能也许不用脑机接口就可以轻易战胜人类, 让人类不如蝼蚁。而脑机接口的发展相当于给人工智能的文明掺入人类文明的成分, 或让人类在网络的云里得到永生。

然而,我们都知道“我思故我在”这句名言,意思是说人的“思想”“意识”和“生存”这些概念都是和“我”这个概念紧密相连的。脑机接口让“我”融入云端,这样“我的意识”也就变成了云端的一些运算过程。如此,我将非我,那“我”还存在吗?

本文来自微信公众号:返朴(ID:fanpu2019),作者:吴建永

加载中...