复杂肘关节疾病治疗:世界首例的背后,是近2000例病例积累
健康时报客户端
原标题:复杂肘关节疾病治疗:世界首例的背后,是近2000例病例积累
(健康时报记者 高瑞瑞)“作为一名骨科医生,最高兴的事莫过于当患者复查时,告诉你过去他不能动的关节能动了,过去他不能干的活能干了,患者终于恢复了往日的活力。”
北京积水潭医院常务副院长蒋协远教授对健康时报记者说道。
1997年,蒋协远教授在北京积水潭医院创伤骨科的基础上成立了肘关节组,对复杂肘关节疾病拥有丰富的临床经验和治疗体会;2018年顺利完成的世界首例肘关节双平面导航机器人手术和三维导航机器人手术,为推进我国肘关节外科发展、改善患者上肢功能做出了贡献;2021年3月,蒋协远教授带领团队成功完成世界首例尺骨截骨内固定术治疗特殊类型肘内翻畸形,拓宽了尺骨截骨内固定术的适用范围,为复杂肘内翻患者带来了新的希望。
北京积水潭医院常务副院长蒋协远教授团队正在对患者进行肘关节手术。受访者供图
近2000例肘关节治疗病例,为复杂肘关节治疗经验积累
“肘关节与人体其他关节相比最大的特点就是受伤后特别容易僵硬,因为它在中间连接人体的肩部和腕部,最主要的功能就是要发挥我们手部的功能,一旦肘关节不能动,将会对日常生活产生很大的影响。”蒋协远教授告诉健康时报记者,一开始为了探索肘关节的治疗医生们走过了很多弯路,一些患者的治疗效果不是特别好,但是经过20多年的积累,慢慢的医生们在肘关节的治疗方面积累了大量的经验。目前,仅一年的时间医院就能接收250多例肘关节治疗的案例,多年以来也积累了近2000例的肘关节治疗的病例。
“把病人的利益放在第一位,一切以病人为中心,是我们最核心的服务理念。”蒋协远教授向健康时报记者回忆道,曾经有一个病例至今令医生们印象十分深刻。
当时26岁的毕女士(化名)是某自助餐饮店的领班,长期的工作环境让她的肘关节呈现出90度无法伸曲的状况,并且已经有十几年的病史,患者来院时,多次要求进行松解手术,这等同于需要将90度弯曲的肘关节松解变直,变直的同时还需要让她的关节更灵活。“当时,考虑到手术情况复杂、难度较高,医生们都很犹豫,后来我们经过多次讨论、提前模拟场景等充分的手术前准备,才决定迎接挑战为患者做松解手术。”蒋协远教授说。
“手术前,医生们为患者做造影、CT评估、做多种图像研究,但实际手中还是不慎把肘关节中最主要的动脉血管给弄断了汗。”蒋协远教授告诉记者,手术中出现这种情况,医生们发现后立马就把破裂的血管进行了缝合,缝合后患者的血管通了,肘关节各项功能也有所恢复,但当天晚上动脉接口的地方又出现血栓,由于医生护士们观察比较及时,当即就到手术室进行了取栓,最终患者的胳膊才被保住,并且恢复了正常的功能。
“这次手术的成功,为今后治疗复杂肘关节病例提供了很好的案例,同时也证明了我们在治疗肘关节相关疾病的综合实力,是一个很大的突破。”蒋协远教授告诉健康时报记者,从多年肘关节治疗的临床经验上角度出发,创伤骨科要实现抢救微创和精准化的治疗,前提需要医生对疾病有标准化和规范化的处理,如果早期处理得当,大部分肘关节的损伤是能够恢复的。
世界首例尺骨截骨内固定术治疗,为复杂肘内翻患者带来希望
16岁的白女士(化名)是一位复杂肘内翻患者,正在读高中的她近5个月来却被反复的肘关节疼痛困扰,学习生活受到严重影响。为此,她曾在当地多家医院就医问诊,然而由于病情复杂、特殊,一直未能得到及时的诊治。
“10年前,患者就因为肘关节内翻后内侧旋转不稳定在我们医院小儿骨科进行过石膏固定治疗,其后发生左侧肘关节感染,经过静脉输注抗生素治疗后症状缓解,但遗留下了肘关节内翻畸形。”蒋协远教授告诉健康时报记者,手术前,经过反复影像学测量,医生们敏锐地发现患者的内翻畸形主要来源于尺骨侧,并非常见的肱骨侧,这给团队出了大难题。
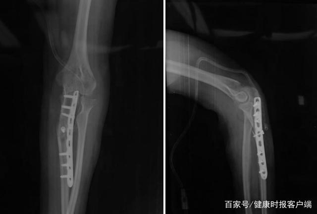
患者手术后肘关节正侧位X线片显示尺骨畸形矫正,内固定位置良好。受访者供图
“因为肘内翻畸形常见于儿童髁上骨折患者,畸形多来源于肱骨侧,通常采用肱骨髁上截骨内固定术治疗。然而该患者畸形来源于关节的内翻和尺骨的畸形,肱骨远端外翻角度正常,采用传统的肱骨髁上截骨无法解决患者的问题,为此我们决定结合治疗陈旧性孟氏损伤的治疗经验大胆地提出采用尺骨截骨内固定术治疗患者特殊类型的肘内翻畸形。”蒋协远教授说。
“整个手术大约经历了两个小时,目前患者整体恢复良好,经过手术之后,患者的肘关节屈伸和旋转都呈现出正常的水平。”蒋协远教授表示,目前我们国内骨科的治疗与国外相比还是不规范,但肘关节的诊断治疗以及并发症的预防,国内医务人员的水平跟国际相比,应该处于比较领先地位。之后,要推进复杂肘关节治疗的发展,医生们依旧需要将基础知识学好,积极的进行临床实践,这样才能真正为复杂肘关节疾病患者解决更多的难题。