新浪财经

数坤科技、科亚医疗宣布完成新一轮融资 | 股权投资周报

好买财富

关注

来源:好买财富

1

投资融资数据

上周,投资、上市和并购共211起事件,涉及总金额917.89亿元人民币。投资市场共发生105起投资事件,披露投资金额事件86起,共计378.84亿元人民币,涉及金额较大的投资事件是作业帮完成E+轮超16亿美元融资;并购市场共发生90起并购事件,披露的交易金额为433.15亿元人民币;上周共有16家企业上市,总融资金额105.90亿元人民币,上交所主板3家,上交所科创板4家、深交所中小板1家、深交所创业板2家、港交所主板6家。

上周IT、生物技术/医疗健康、机械制造的投资事件较多。

2

上市事件回顾

数据来源:Wind

1、上市企业

上周共有16家企业上市,总融资金额105.90亿元人民币,上交所主板3家,上交所科创板4家、深交所中小板1家、深交所创业板2家、港交所主板6家。

数据来源:wind

2、上市审核情况

上周,共有18家企业经发审会审核,15家通过审核,2家未通过,1家取消审核。

数据来源:wind

3、清科创业港交所上市

12月30日上午,清科创业正式登陆港交所上市,成为中国股权投资服务第一股,股票代码为01945.HK。此次发行价为11港元,开盘15.82港元,涨幅一度达43.82%,市值超47亿港元。

清科创业引入多位基石投资者,包括高瓴资本盈科资本、IDG资本、红杉中国公开市场基金等,合计认购金额约占总募资金额的45%。而公司现有股东不乏红杉资本海尔金控以及天使投资人龚虹嘉等众多知名投资方和企业家的身影。

2000年,美国互联网泡沫破灭,全球行业迎来前所未有的寒潮,刚刚创立的清科也未能幸免,很多人因看不到希望纷纷离开创投行业。2001年,公司人数从16人减少到3人,这一年,清科举办了首届中国创业投资论坛,国内几乎所有的风险投资人都来了。“当时整个VC圈在北京只够凑一桌,不到20个人。”当年的论坛总共只有150人参会,但正是在那最初的150人中,很多人成为了日后中国投资界的翘楚。

身处国内创投圈,许多人都接触过清科集团,但少有人能够说出它的全貌,整体而言,清科集团业务主要分为清科创业和清科投资两大主线。本次上市主体——清科创业主要提供全面的线上及线下股权投资服务组合,可分为数据服务、营销服务、咨询服务及培训服务。2007年,清科创业率先上线中国首个股权投资大数据平台「私募通」,随后陆续上线创业与投资领域资讯平台「投资界」、投融资信息对接服务平台「项目工场」、股权投资培训学习平台「沙丘大学」,渐渐筑起中国最大的股权投资综合服务平台。

3

投资融资事件

1、数坤科技宣布完成新一轮5.9亿元融资,红杉领投

12月28日消息,数坤科技宣布完成新一轮5.9亿元人民币融资。今年以来数坤科技累计融资金额达近10亿元。本轮融资由红杉资本中国基金领投,中再保险、中金浦成跟投,老股东华盖资本、五源资本、创世伙伴CCV、启明创投远毅资本继续跟投,华兴资本担任本次融资独家财务顾问。

【好买点评】:数坤科技是好买股权母基金被投企业。数坤科技成立于2017年,是医疗AI高科技公司,自主研发了全球最领先的医学AI神经网络,推出 “数字心”、“数字脑”、“数字胸”、“数字腹”等数字医生产品,为心脏病、脑卒中、癌症等人类首要危重疾病,提供智能诊疗方案。本轮融资将用于加大原研技术的研发投入,持续完善 “数字人体”核心技术产品线,进一步加快产品在各级医疗机构的落地部署,加速数字医疗生产力在全国医院智慧化建设进程中的全面覆盖。

数坤科技获得全球首张心脏AI医疗影像辅助诊断的三类证(冠脉CT造影图像血管狭窄辅助分诊软件),反映了AI对于国家医疗创新的重要性,数坤通过差异化的临床路径,在心脑影像领域实现了技术与商业模式的突破性创新,同时从多个垂直产品矩阵向更具有平台特征的AI智能诊断基础设施的进化。

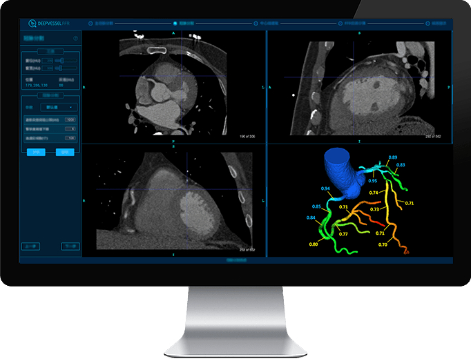
2、科亚医疗完成D轮3亿元融资

12月31日消息,近日,国内AI医疗器械头部企业北京科亚方舟医疗科技股份有限公司(简称“科亚医疗”)宣布获得超3亿元D轮融资,本轮融资由中金资本、上海人工智能产业基金、高足资产、约印医疗基金等新老股东联合投资。

【好买点评】:科亚医疗是好买股权母基金被投企业。科亚医疗是成立于2016年的一家AI+医疗云公司,致力于用AI赋能医学影像和医疗大数据,是中国目前最领先的医疗影像诊断公司。此轮融资将用于支持科亚医疗在AI医疗领域的一系列产品研发和业务扩张。至此,从B轮到D轮,科亚医疗今年共完成4轮大规模融资。

科亚医疗是中国目前首家获得NMPA(国家药监局)AI医疗产品三类证的公司(冠脉血流储备分数计算软件),也是唯一一家获得CE(欧盟)+FDA(美国)+NMPA(中国)三重认证的公司。其产品“深脉分数(DEEPVESSEL FFR)”是全球首款采用深度学习技术进行冠状动脉生理功能评估的产品。采用人工智能技术对冠状动脉CT造影图像(简称冠脉CTA)进行无创FFR分析,快速评估冠脉狭窄是否会导致心肌缺血。

3、岚煜生物科技完成D轮数亿元融资,华兴医疗产业基金领

12月31日消息,南京岚煜生物科技完成D轮数亿元人民币融资,本轮融资由华兴医疗产业基金领投,老股东经纬中国继续加码。

【好买点评】:岚煜生物是好买股权母基金被投企业。岚煜生物成立于2016年10月,是一家集体外诊断试剂及仪器研发、生产、营销与医疗服务为一体的生物公司。自成立以来,公司始终坚持主动式微流控技术与智慧仪器一体化诊断检测系统的创新,获批专利已达200余项,全面覆盖诊断仪器、试剂、微流控技术和软著等。

公司自成立起就一直在微流控技术领域深耕,率先提出了“主动式微流控”概念。岚煜生物研发的主动式微流控技术跨越了1.0时代的胶体金技术(只能定性)、2.0时代的免疫层析技术(简单定量),开创了即时即地检验技术的3.0时代,可以在10分钟内给出全血标本的高准确度和高精密度的检测结果,高水准的满足了临床的需求。

此外,在攻克主动式微流控技术壁垒的同时,公司还开发出快速免疫诊断平台、手持式电化学凝血平台、小型全自动发光平台、核酸全自动快速诊断一体化平台以及“一平方米”综合诊断平台等,即“医院给我一平米,我给医院一个诊断平台”。岚煜生物凭借其灵敏性、准确性、结果迅速等技术优势目前已经开始在国内销售,并获得国内外客户的青睐。

经纬中国董事总经理喻志云博士表示:“POCT检测场景经历了从无到有的1.0阶段,现在正在进入从有到全的2.0阶段。岚煜研发能力强,用齐全的方法学和产品线很好地承接了基层医院或科室的一站式采购需求。同时,团队行业经验丰富,在市场营销和销售上设计了深具行业洞察力的策略。我们看好公司的未来发展,希望公司早日成为POCT检测的主力军。”

4、擎朗智能宣布完成C轮融资,软银亚洲领投

12月30日消息,擎朗智能宣布完成C轮融资,由软银亚洲领投,这是该公司在2020年内完成的第二轮融资,总融资额达数亿元人民币。本轮融资主要用于进一步加深擎朗配送机器人在国内餐饮市场的渗透、海外市场拓展以及医疗等新事业部的横向发展,冲盈资本担任本轮独家财务顾问。

【好买点评】:擎朗智能是好买股权母基金被投企业。擎朗智能成立于2010年,是一家全球领先的以智能服务机器人为核心,面向餐饮、医疗、酒店、娱乐、零售、场馆、政务、商务办公、房地产、社区养老、银行、邮政、金融、保险、机场、车站等商用场景,提供全新智慧无人配送解决方案的人工智能企业及室内无人驾驶专家。

截至目前,擎朗已迭代发布十余款产品,并均实现线下商业场景落地,拓宽了无人配送机器人的服务领域与应用场景。目前拥有1000+人的团队,并在全国23个城市设立了分公司,同时承担获客和运维的工作。同期还建立了全球第一条移动服务机器人量产产线、通过安全的机器人架构和全方位服务体系,为全球客户提供适合自身环境的全新智慧解决方案与品质服务。

截至2020年10月,擎朗智能产品系列中的送餐机器人已在4.6万亿餐饮市场中占有率排名第一,全球市场份额高达80%以上,已与10000多家B端客户合作,服务8000万+人次,实现了大规模量产商业化落地。此外,擎朗智能已与65%的百强餐饮品牌达成了合作,为海底捞外婆家、广州酒店、丰茂烤串等知名餐饮企业,提供无人配送餐饮机器人解决方案。

5、工时管理云平台服务商“劳勤”完成新一轮融资

12月28日消息,亚太区劳动力工时管理云平台服务商劳勤正式宣布完成新一轮由涌铧投资领投,永石汇金、巨人集团跟投的5000万元人民币融资,势能资本担任独家财务顾问。

【好买点评】:劳勤是好买股权母基金被投企业。劳勤自成立以来一直专注于劳动力工时管理领域的研发和服务,曾先后获得由黑马基金、真顺基金、华创资本、真格基金、东方富海、肯耐珂萨等投资机构的多轮融资。劳勤深耕在工时管理领域,为企业的降本增效提供涵盖智慧考勤、工时采集、能效分析、智能排班、劳动力优化等整体解决方案,已经累计为10+行业,近1000家客户,500+中大型企业,1500+工厂,300+万劳动力提供了卓越劳动力工时管理产品和服务,在行业内积累了众多头部客户及优质的客户口碑。

相比传统系统,劳勤的解决方案通过生物识别数据结合物联网技术实时采集工时,杜绝虚假工时;结合异常信息主动提醒降低工时避免统计错误。同时,系统可以对案例信息做分析,给到运营者策略制定的支持;智能排班,加班原因分析,避免非必要加班,同时也避免了合规风险问题;给到员工自我管理空间,在不影响整体产能情况下自主申请加班或调班工作。

涌铧投资表示,随着传统企业自动化设备、物联终端和信息化软件的不断投入,劳动力管理的基础设施逐渐完善,人员工时的优化增效成为继生产设备升级之后另一项需要精细化管理的要素。工时管理这个领域属于一个需要时间积累的慢赛道,打磨迭代产品的周期较长。劳勤在这个领域有近十年的积累,既形成了标准化产品,又将不同行业的工时管理Know How融合到整体方案中,不仅为客户提供“让数据可留存、可查询、可追溯”的记录工具,更将工时数据作为生产资料辅助客户精益生产环节,提效降本。劳勤团队专注“工时管理”这一点,将产品打磨到极致,从而逐渐成为企业数字化转型中不可或缺的一环。

6、优艾智合YOUIBOT获得蓝驰创投独家领投

近日,优艾智合机器人再次宣布获得蓝驰创投独家领投的新一轮融资。

【好买点评】:优艾智合是好买股权母基金被投企业。2020年受疫情影响行业增速普遍放缓的情况下,优艾智合年内先后完成3轮累计超亿元人民币融资,持续获得蓝驰创投、SIG、真格、英诺、常见等一线基金的青睐。

优艾智合采用“1+N+M”的发展战略切入千亿级智能制造与智能巡检运维市场,在激光SLAM导航标准化移动机器人基础上,优艾智合打造了满足精密电子制造场内物流自动化及电力能源行业巡检应用等不同形态的复合型机器人,灵活适应不同场景的复杂需求。

移动机器人硬件产品矩阵只是优艾智合助力产业智能升级的第一步。针对精密制造领域,优艾智合提供工业物流的整体软硬件解决方案,实现从备料仓-产线-产线-成品仓备料仓-产线-产线-成品仓完整的物理流通,构建智能生产物质数据全周期产业闭环,帮助企业实现高效柔性生产;智能巡检领域,通过移动机器人及智慧方案,在降低危险环境人工作业事故率的基础上,实现即时的数据监测和交互共享,构建安全、高效的巡检场景。

目前,优艾智合已服务了中国商飞、中国航空、米其林、法士特、ASM、华为、中国华能等50余国内外知名企业,在20多个领域实现了智能升级解决方案落地闭环,并在电厂、电子半导体等行业细分领域保持市场第一的优势。此外,优艾智合将业务布局拓展至国际市场,先后与日本、韩国、新加坡、西班牙、德国、意大利等30多个国家建立了深厚的渠道销售网络。

*风险提示:投资有风险,决策需谨慎。文中观点不代表平台投资意见,内容仅供参考并不构成任何投资及应用建议。未经好买财富授权许可,任何机构和个人不得以任何形式复制、引用本文内容和观点,包括不得制作镜像及提供指向链接,好买财富就此保留一切法律权利。

本报告中的信息均来源于公开可获得资料,好买基金研究中心力求可靠,但对这些信息的准确性及完整性不做任何保证,获得报告的人士据此做出投资决策,应自行承担投资风险。本报告不对特定基金产品的价值和收益作出实质性判断和保证,亦不表明投资没有风险。

本报告不构成针对个人的投资建议,也没有考虑个别客户特殊的投资目标、财务状况或需要。客户应考虑本报告中的任何意见或建议是否符合其特定状况。本报告仅向特定客户及伙伴传送,任何引用、转载以及向第三方传播的行为请预先通知好买,并请在引用、转载以及向第三方传播中注明出处。

投资股权基金具有较高风险和较低的流动性,投资人取得的权益并无可公开交易的市场,投资人应为投资目的而认缴基金出资。本基金不对投资人的最低投资收益作任何承诺,亦不保证投资本金可被全部或部分收回。投资人应有充分的资金实力及意愿承担投资风险。在做出投资决定之前,投资人应仔细阅读产品的法律文件,全面了解产品风险收益特征,根据自身资产状况、风险承受能力审慎决策,独立承担投资风险。高端合格投资者要求: 符合中国证监会规定的私募证券投资基金的“合格投资者”条件。即:具备相应风险识别能力和风险承担能力,投资于单只私募基金的金额不低于100 万元。且个人金融资产不低于300万元或者最近三年个人年均收入不低于50万元。



加载中...