新浪财经

手机正在改变你的骨骼……

羊城晚报

关注

原标题:手机正在改变你的骨骼……

要时刻提醒自己用合理的姿势使用手机 (图片来源:《科学报告》)

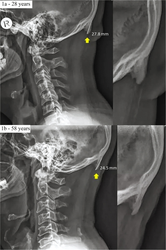
黄色箭头标出的正是后脑勺长出的“刺” (图片来源:《科学报告》)

无论是走路、吃饭,睡觉……现在大家几乎都在低头玩手机。你不知道的是,你使用手机的习惯正在改变着你的骨骼结构。

刊发在国际权威期刊《科学报告》上的一项研究称,澳大利亚学者对1200张成年人X光片进行分析后,已发现有41%的人后脑勺额外长出一根“刺”;还有一项研究整理了医科门诊200多例青少年颈椎X光片后发现,超半数孩子存在颈椎生理曲度不同程度变直甚至反弓现象。

低头玩手机,带来的伤害应该还远不止如此。

长期不良姿势会改变肌肉骨骼

澳大利亚学者的发现指出,由于经常低头看手机,有些人后脑勺的骨头改变了:一个叫枕外隆突的部位长出来一根“刺”,这些骨刺短的有10毫米,长的居然有30毫米。而其中18岁-30岁的人中,41%的人有这种“刺”。这其实是由于头部不断向前倾斜,重量从脊柱转移至后脑勺的肌肉,导致连接肌腱及韧带的骨骼生长成骨刺,在脖子上方形成一块钩子状或角状的突出骨头。虽然目前不知这种“刺”最终对人体会产生多大影响,不过研究者明确提示:这是长期不良姿势所带来的肌肉骨骼的改变。

据了解,人们平时抬头挺胸,脖颈只需要承受大约5公斤的重量;但看手机或其他电子设备时,人常常头部前倾低头60°,此时颈部承受25-30公斤的重量。换句话说,相当于你的脖子上一直骑着一个8岁的小孩。

除了头骨,随着玩手机在悄悄改变的还有小手指。长时间玩手机的结果,会让小手指的第一关节和第二关节中间部分凹下去了,出来一个“坑”,让小手指看上去变弯了。这种现象也不少见,日本媒体现在把这个现象称为“文本萨姆损伤”,它导致的结果是,有的人手指不能弯曲,有的人则手指异常疼痛,还有的人甚至会出现关节炎、腱鞘炎等多种疾病,并发头痛、恶心等多种症状。

颈椎病变可引发全身70种病症

手机还在改变着人们的颈椎。医学专家指出,颈椎病至少可引发全身70种病症。

几种常见的病症包括:

1.吞咽不畅:吞咽时有梗阻感、食管内有异物感,少数人有恶心、呕吐、声音嘶哑、干咳、胸闷等症状。这是由于颈椎前缘直接压迫食管后壁而引起食管狭窄,也可能是因骨刺形成过速。

2.视力障碍:视力下降、眼胀痛、怕光、流泪等,甚至还可能失明。这与颈椎病造成自主神经紊乱及椎基底动脉供血不足,引发大脑枕叶视觉中枢缺血性病损有关。

3.腹胀便秘:部分颈椎病患者因邻近的颈交感神经受到刺激和损伤,感受会传到大脑,有关的神经兴奋性增强,使受其支配的内脏器官胃肠道蠕动减慢,因而导致腹胀、便秘。

4.高血压:称为“颈性高血压”,由于颈椎病和高血压皆为老年人的常见病,故二者常常并存。

5.胸痛:单侧胸大肌和乳房疼痛,检查时有胸大肌压痛,这与颈六和颈七神经受颈椎骨刺压迫有关。

6.猝倒:站立或者走路时因突然扭头出现身体失去支持力而猝倒,倒地后能很快清醒。伴有头昏、恶心、呕吐、出汗等症状。这是由于颈椎增生性改变,压迫椎动脉引起基底动脉供血障碍,导致一时脑供血不足所致。

7.下肢瘫痪:早期表现为下肢麻木、疼痛、跛行,个别患者还有排便、排尿障碍,如尿频、尿急或大小便失禁等。这是因为椎体侧束受到颈骨刺的刺激或压迫,导致下肢运动和感觉障碍所致。

综合以上种种,专家建议,看手机时最好能采用平视姿势,减轻颈椎的负担。玩手机的时候一定要注意姿势,不宜时间过长,如果不得不长时间面对手机或电脑,需要隔一段时间休息一会,注意随时调整自己的坐姿和用手机时的姿势。一旦出现明显不适症状,应立刻去医院就诊。 (爱妍)

(《手机正在改变你的骨骼……》由金羊网为您提供,转载请注明来源,未经书面授权许可,不得转载或镜像。版权联系电话:020-87133589,87133588)

加载中...